首页/创伤/新月征:股骨头坏死塌陷的开始!/
新月征:股骨头坏死塌陷的开始!
2022-10-09 17:47:013537浏览
股骨头坏死发展过程中,X线片上出现“新月”征时,意味着股骨头已经开始塌陷。

股骨头坏死发展过程中,X线片上出现“新月”征时,意味着股骨头已经开始塌陷。

农历的月初,月球逐渐远离太阳,月亮仅露出一弯月牙,并且朝右弯曲。随着月球运动,月牙越来越大。从农历月初到初六左右,这段时间的月相都叫新月。

所谓股骨头新月征,是指股骨头(前外侧多见)软骨下骨板的下方出现空腔,X线片上(通常为蛙位X线片)表现为2~4mm宽的新月形透明带,类似一轮新月,故名"新月征(crescent sign)"。

双侧新月征(点击放大)

其实质为局部骨质坏死吸收、压缩,通常伴随着股骨头关节表面塌陷,最终导致软骨破坏和进行性髋关节炎。

股骨头软骨下骨是穹窿状的皮质骨,可以理解为四肢长管状骨之皮质骨延续到股骨头的一种特殊形式,其下方为松质骨,当坏死区骨吸收、或因力学原因造成进行性微骨折/关节面塌陷时形成此征,骨折可能穿过软骨下骨板并延伸至关节面,形成不稳定的骨软骨瓣。除股骨头外,亦可见于肱骨头。

股骨皮质骨延续到股骨头称为软骨下骨?这样便于理解股骨头的微观结构特点,当然,生命的美妙与复杂不是臆想,欢迎商榷。

正常股骨头的软骨和软骨下骨结合致密,软骨下骨和其下的骨小梁自然延续,无明显界限:

股骨颈骨折的股骨头还有:

尚未形成新月征的股骨头坏死


已经形成新月征的股骨头则是这样:

图a. 右股骨头蛙位X线片:股骨头前外侧软骨下高透明区(箭头)。图b. 股骨头冠状切面X线照片显示软骨下骨折(箭头所示),表现为新月征。注意:软骨下松质骨小梁的碎裂和压实,削弱了关节表面。肱骨头坏死的新月征:

一名接受大剂量皮质激素治疗的患者,左肱骨头正位X线片显示多个软骨下透明区(箭头),表明为III期AVN。再比如:

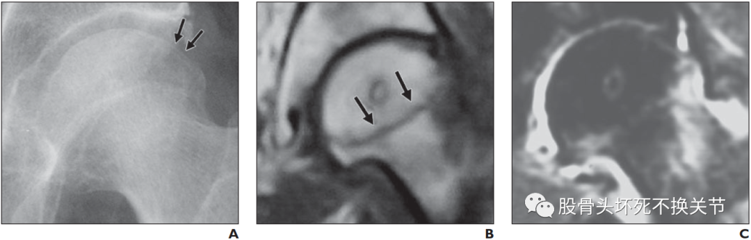
64岁男性,有酗酒和骨坏死史:

A. 左髋关节前后位X线照片(Singh骨质疏松严重程度指数,V级),疼痛开始时显示新月征和股骨头上外侧塌陷(箭头所示)。

B. 冠状T1加权像显示股骨颈外侧部和转子间区弥漫性低信号强度。T1加权图像上的低强度带向关节面凹陷(箭头所示)。

C. 脂肪饱和质子密度像显示相应的高信号。

D. T1加权像轴向片显示,低强度条带包围了所有坏死节段(箭头)。

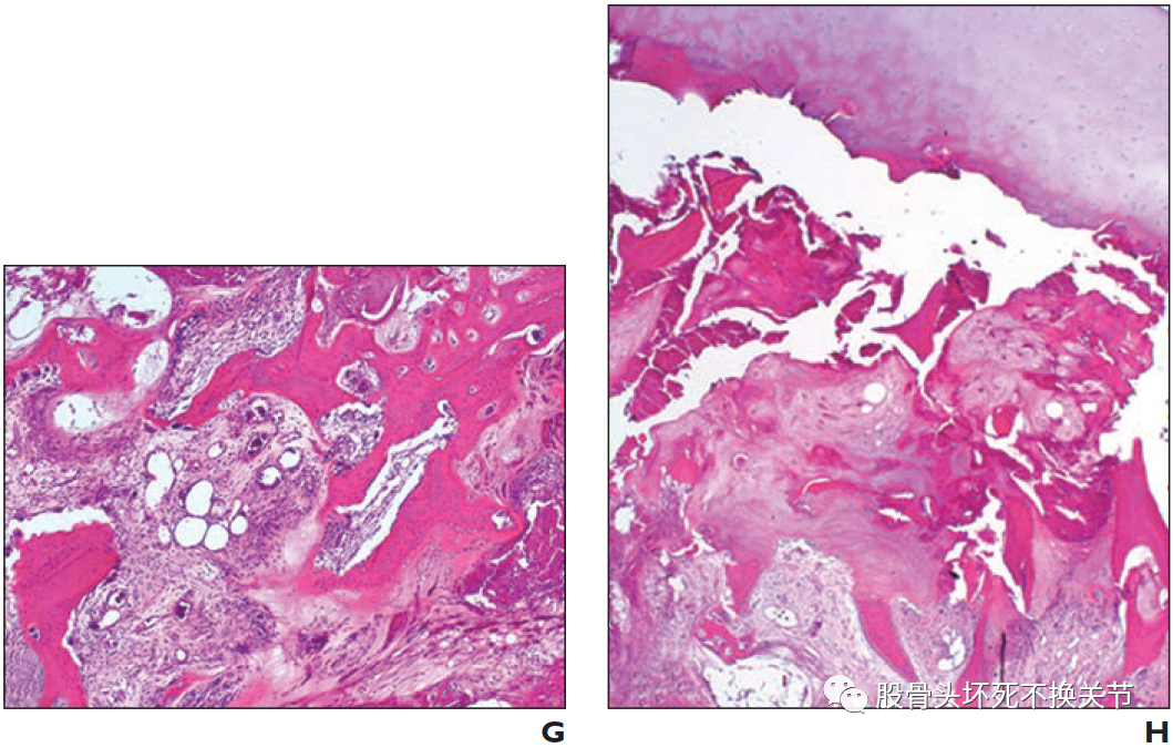
E. 切除的股骨头切面显示带状模式(坏死区、修复区和存活区)。可见软骨下骨折线(箭头),对应于X线照片上的新月征(A)。

F. 坏死区的组织病理学表现为骨髓细胞碎片堆积,骨折线下方可见带空洞的骨小梁。(HE,×40)

G. 修复区有修复组织,包括血管肉芽组织、纤维组织和编织骨。(HE,×20)

需要说明的是,新月征需要与软骨下不全骨折相鉴别。

根据T1加权MRI(冠状面)上条状低信号带的形状,区分骨坏死和软骨下不全骨折的标准图。

A. 在骨坏死中,低信号带是光滑的,向关节面凹陷

B. 软骨下不全骨折,低信号带不规则,凸向关节面

如:

75岁女性,无皮质类固醇摄入或酒精滥用史,软骨下不全骨折。

A. 疼痛开始时的左髋前后位X线片(骨质疏松严重程度Singh指数II级)显示既有新月征,也有顶部的股骨头塌陷(箭头)。

B. 冠状位T1加权像显示股骨头颈部弥漫性低信号强度,低强度带平行于软骨下骨终板(箭头所示)。

C. 脂肪饱和质子密度像显示高信号强度。

D. T1加权像轴位片显示低强度条带,主要位于前部,中间中断(箭头)。

E. 脂肪饱和对比增强MRI,低强度带以外的近端部分对比增强(箭头)。

F. 切除的股骨头,显示软骨下骨折线(黑色箭头)和硬化带区域(白色箭头)。

G. 硬化带区域的组织病理学切片,与骨折骨痂、反应性软骨和肉芽组织相对应。(HE,×40)

H. 硬化带与软骨分离。(HE,×20)

友情链接: