首页/脊柱/表现为马尾综合征的急性梨状肌综合征!/
表现为马尾综合征的急性梨状肌综合征!
2022-10-10 16:53:311268浏览
表现为马尾综合征的急性梨状肌综合征!

近日有学者[1]报告介绍了一个特殊病例,一名患者出现急性尿潴留以及下肢和生殖器的感觉和运动障碍,这是由于梨状肌内的肌内血肿压迫梨状下孔和梨状上孔内的神经而引起的。排除马尾神经综合征后,通过经臀入路急性清除血肿,从而改善患者的神经功能。

此报道的主要目的是让临床医生了解急性梨状肌综合征 (piriformis syndrome, PS) 和马尾综合征(cauda equina syndrome, CES)之间的相似性,并能区分这两种症状类似 疾病,避免临床误诊误治。

病 例| 

患者是一名55岁男性,有腰痛和下肢缺血病史,因左侧臀部和腹股沟痛的症状被全科医生收治。患者长期服用华法林,因为他在 2 年前接受了股腘动脉搭桥术。他有血尿,INR=8.0,因此前一天停止了华法林治疗。尽管如此,全科医生还是通过肌肉注射给患者的左侧臀区注射镇痛剂。


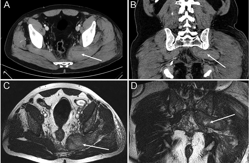
当天晚些时候,由于左侧 S1 神经根疼痛的进展,患者被送进了他所在的地区医院。他接受了第二次臀内镇痛剂注射,并被转移到当地医院的内科接受进一步治疗。第二天(住院第 2 天),患者出现左下肢肢端无力和排尿困难。住院第 3 天,患者出现尿潴留、勃起功能障碍、鞍区感觉迟钝、L5 和 S1 感觉迟钝,以及膝关节远端运动障碍。他被转回地区医院以排除 CES。住院第 4 天进行磁共振成像 (MRI),但未显示椎管内的神经受压。电生理检查显示骨盆区域有坐骨神经神经病变的迹象,随后进行了骨盆CT扫描显示梨状肌增大(图 1A 和 B )。

图1 A:轴向术前CT显示梨状肌内血肿(白色箭头)。B:冠状术前CT显示梨状肌内血肿(白色箭头)。C:轴向术前 MRI T2 序列显示梨状肌内的血肿(白色箭头)。D:冠状术前 MRI显示梨状肌内的血肿(白色箭头

在住院的第 5 天在神经外科就诊,然而由于神经外科没有关于之前臀肌注射过的止痛剂的信息,进行了盆腔区域的MRI扫描以排除肿瘤性病变。MRI 结果表明梨状肌内有血肿(图 1C 和 D)。患者凝血功能障碍得到纠正,住院第6天立即进行血肿清除术。

通过经臀入路进行手术,术中在梨状孔内发现了坐骨神经、臀下神经和股骨后皮神经以及梨状肌内的大血肿。切开梨状肌清除血肿,并进行骶丛神经的探查。进行了骨盆区域的术后 MRI 并显示没有并发症或残留血肿。

图2A:应用解剖标志(GT = 大转子;SIP = 髂后上棘;TI = 坐骨结节)规划经臀入路以识别梨状肌和坐骨神经(黑色箭头)。B:梨状肌内的深色血肿(白星)。C:通过切开梨状肌(白星)清除血肿,从而减压坐骨神经(黑星)。D:梨状肌(白星)的活动和梨状孔内结构的识别:坐骨神经(黑星)、臀下神经(白色箭头)、股后皮神经(黑色箭头)和臀下血管(白色虚线箭头

术后早期,患者排尿功能有所改善;然而,左下肢的虚弱和感觉迟钝仍然存在。他被转移到当地的康复部门接受强化康复,包括电刺激。两个月后,患者在门诊复查时他的泌尿和性功能障碍已经完全解决,他的鞍区感觉正在改善;然而,左侧L5和S1的神经麻痹仍然存在。他的左侧臀肌松弛,没有任何可触及的收缩,左腿有弥漫性无力(髋关节屈曲 4/5,膝关节伸展 4/5,髋关节伸展 0/5,膝关节屈曲 2/5,踝关节跖和背屈 0/5,踝关节外翻和内翻 0 /5)。在功能上,他能够在两根拐杖的帮助下行走。

图3 A:在3个月的随访中,左侧臀肌没有收缩运动。B: 6个月随访时左侧臀肌主动收缩。C: 26个月随访时的最大跖屈。D: 26 个月随访时的最大背伸。

然后定期对患者进行总共26个月的随访,在此期间他定期参加物理治疗和电刺激。他的神经功能缺损继续改善;末次随访时他能够独立行走,并且仅使用一根拐杖即可完成更长的距离。他没有泌尿或性功能障碍,他的感觉障碍已经完全解决。臀肌神经再生成功,手术后6个月内恢复主动收缩。他的左腿无力逐渐改善(髋屈膝伸 5/5,髋伸膝屈 4+/5,踝足跖屈和背屈 4/5,踝外翻和内翻 4/5,脚趾屈伸 3/ 5)。患者完全可以走动并且能够进行日常活动而没有重大限制。

小 结

总之,尽管CES是与神经根性疼痛以及运动和感觉神经病变相关的泌尿功能障碍的最常见原因,但急性PS可能会出现类似的症状。因此,详细的了解患者病史以确定可能导致PS的风险因素至关重要。

此外,如果患者腰椎MRI检查结果为阴性,应及时进行盆腔MRI检查以排除腰骶丛病变。神经电生理检查可以作为一种辅助诊断工具。在对腰骶丛进行及时的手术减压的情况下,术后预计要经过很长的神经恢复时间。在术后康复期,物理治疗如电刺激是对神经恢复有帮助的。

友情链接: