2021-06-30 11:06:15726浏览
骨科医生看了无数的平片,可是这些平片竟然不是骨折?可不要因为这些“误会”而误诊啦,今天我们就来学习一下!

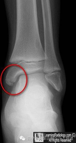
1、胫骨内踝骨骺:胫骨内踝的骨骺有多个骨化中心并非少见,特点是边缘光整,骨皮质连续,不确定时可做双侧对比。

不确定时可做双侧对比


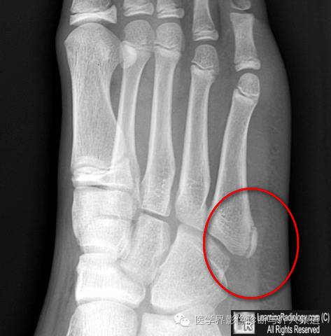
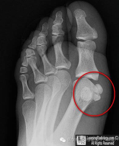
2、第5跖骨基底部骨骺:透亮线为纵行,与跖骨长轴平行。

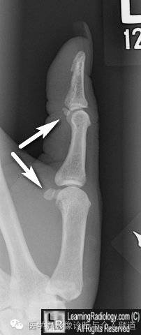
3、肱骨正常骺板:勿误认为骨折线。

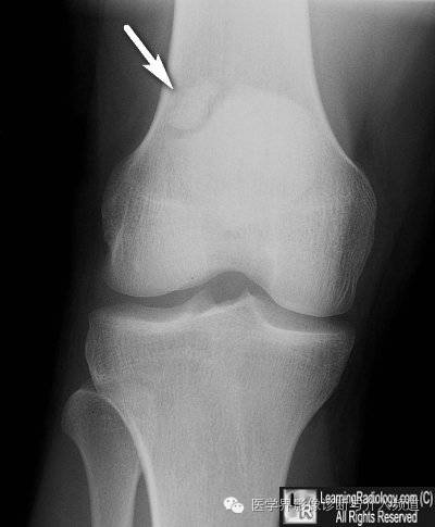
4、二分髌骨:较小的骨块通常位于外上部,通常双侧对称。

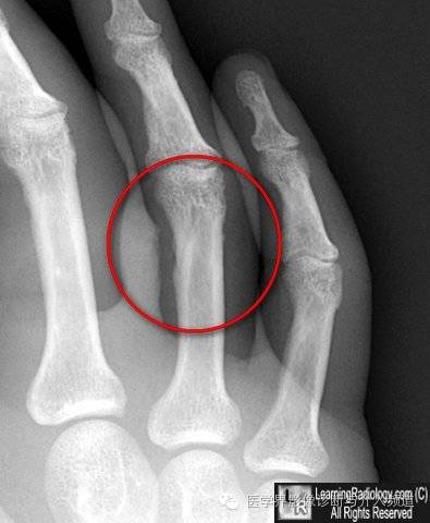
5、指骨血管沟:血管沟通常只见于骨皮质侧,呈对角线样走行。

6、桡骨远端骨赘:桡骨外侧缘小骨赘形成,属于正常变异的一种。

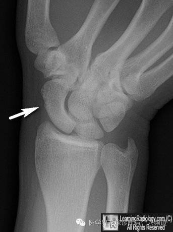
7、舟骨骨赘:舟骨外侧缘细小的骨赘,容易被误诊为骨折。

8、胫骨结节骨骺:常见于14-18岁青少年。

9、椎缘骨: 椎缘骨常见于椎体前上缘,表现为椎体前上角大小不一的三角形骨块,与椎体缺损区相对应,周边硬化。

10、籽骨:籽骨为受压较大的肌腱内生成的中小骨块,具有辅助活动的功能,常见于手、足部。


11、皮肤裂伤:皮肤裂口内空气的投影形似骨折,容易误诊。

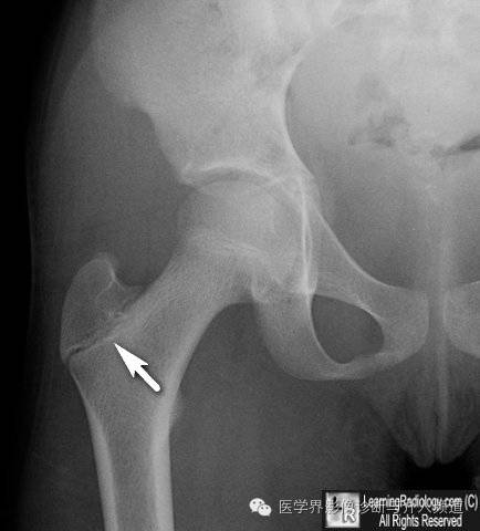
12、股骨大粗隆:股骨大小粗隆骨骺一般在15-20岁愈合。

13、舌骨骨块未融合:舌骨一般需要40岁之后才会融合成一块,图为未融合的舌骨。

14、Mach线:Mach线是伪影的一种,表现为一黑线,常见于齿突基底部。

15、骨盆的软骨连接:骨盆由髂骨、坐骨和耻骨构成,未形成骨性连接之前表现为透亮线。

16、椎肋关节:勿把正常的椎肋关节误认为骨折线。

17、 髋臼上缘的副骨:少见。

18、跟骨骨骺:为跟骨后缘骨化中心,可为多发的骨化中心。

19、三角骨副骨:位于距骨后方,发生率约5%-15%。

