首页/创伤/3分钟Get:肱骨干骨折的手术技巧,全面掌握!/
3分钟Get:肱骨干骨折的手术技巧,全面掌握!
2022-10-19 10:55:053304浏览
肱骨干骨折常见,约占全身骨折的3%,常由直接暴力所致,大多数肱骨干骨折可以采用非手术治疗,但要取得良好的疗效还是要根据骨折类型和患者需要来选择。

肱骨骨折占四肢骨折的5-8%,其中,肱骨干骨折占四肢长骨骨折的3%,患病率约13/10万。

肱骨干骨折往往可通过夹板或支具等非手术治疗成功解决。

尽管髓内固定、外固定在某些病例可能很有效,但是切开复位、钢板螺钉内固定仍然是首选的手术方案。在所有的ORIF中,微创入路钢板螺钉内固定效果最好。

肱骨干骨折有较高的不愈合率,尤其近段斜形骨折。

桡神经损伤并不少见,既有初次损伤,也有医源性损伤。

影像学所见与临床功能往往无明确相关性。

解剖

AO分型

OTA/AO 分型

A型:简单骨折,包括横形、斜形、螺旋形骨折。B型:有楔形骨块的骨折。C型:复杂骨折,包括粉碎及多段骨折。

各型又进一步分为三个亚型(如下图)。

肱骨干骨折的特殊类型—Holstein-Lewis骨折

Holstein-Lewis骨折是肱骨远端移位的螺旋形骨折,骨折远端常常向近端及桡侧移位,极易损伤穿过外侧肌间膜的桡神经。这一特殊类似骨折是1963年由Holstein及Lewis等人首先报道(如下图)。

Stockholm等(2008)综述文献报道了361例肱骨干骨折的病例,其中Holstein-Lewis骨折占7.5%,桡神经损伤率达22%,而非Holstein-Lewis的肱骨干骨折桡神经麻痹近占8%。

由于Holstein-Lewis骨折常合并较高的桡神经损伤率,因此建议一期手术治疗。Holstein等(1963)甚至曾经认为该型骨折是手法复位、外固定的禁忌症。

假体周围骨折分型(及处理)

Wright-Cofield分型:A型:始于假体柄尖部向近端延伸的肱骨干骨折。B型:始于假体柄尖部向远端延伸的肱骨干骨折。C型:假体柄尖部以远的肱骨干骨折。

保存治疗

Klenerman等(1966)指出,肱骨干骨折向前成角<20°、内/外翻<30°、旋转<15°、短缩<3cm,虽然有明显畸形,但不会影响功能。此后大家一直沿用这些参数作为判断肱骨干骨折机型的指标。由于上肢骨折的复位要求较下肢低,因此,大多数医生认为肱骨干骨折是可以保守治疗的。

过去,人们常用肩“人”字石膏、悬臂石膏、夹板、弹力绷带等对肱骨干骨折的进行制动,虽然这些措施对骨折愈合前力线的维持较有效,但往往造成上下关节僵硬,最终影响整个上肢的功能。

1977年,Sarmiento首先使用功能支具(functional brace),该支具对肩、肘关节的功能影响较小,肱骨干骨折平均佩戴10-12周至骨折愈合(如下图)。

Sarmiento(2000)报道了620例大样本使用功能支具的肱骨干骨折病例,结果显示,不愈合率在闭合骨折者为2%,开放骨折者为6%;其中87%的患者骨折愈合后内翻畸形小于16°,仅2%的患者内翻大于25°。Papasoulis 等(2010)综述报道,使用功能支具的肱骨干骨折愈合率高达94.5%。

在功能方面,Shields (2015)与Koch(2002)等的研究结果显示,肱骨干骨折手术、非手术治疗的功能方面无显著差异。在另一项大样本研究中,Denard等(2010)对150例手术治疗患者和63例非手术治疗患者进行了对比研究,结果发现,非手术组不愈合率为20.6%,畸形愈合率12.7%,而手术组愈合率8.7%,畸形愈合率1.3%;桡神经麻痹在非手术组9.5%,手术组2.7%。但二者在骨折愈合时间及最后的关节活动范围(ROM)方面无显著差异。 

         

手术适应症

手术适应症(据文献报道):

手术治疗

外固定架

肱骨干骨折在某些情况可以考虑使用外架:如多发骨折、双侧肱骨骨折、严重粉碎骨折及严重软组织损伤的病例。

肱骨干骨折使用外固定架要注意避免桡神经损伤。可闭合打钉,也可显露桡神经后开放打。

外架固定有较高的骨折愈合率,Scaglione等(2015)报道了85例肱骨干骨折外架固定后骨折愈合率达97.6%。

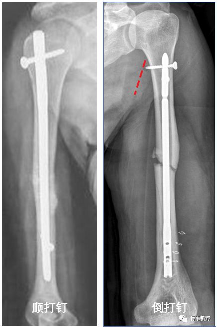
交锁髓内钉

肱骨干骨折闭合复位、交锁髓内钉固定具有软组织损伤小的优点;但由于顺打钉常常因肩袖损伤而并发严重的肩部疼痛,倒打钉又常常并发肘关节功能障碍。美国骨科学会委员会(American Board of Orthopaedic Surgery)数据库显示2004-2013年间,肱骨干骨折使用髓内钉病例呈明显下降趋势[Gottschalk 2016]。因此,肱骨干骨折内固定目前仍以钢板螺钉的ORIF为主[Updegrove 2017]。

ORIF切开复位钢板螺钉内固定

手术入路

前外侧入路前外侧入路是肱骨干骨折的经典入路,其实是胸大肌-三角肌切口向远端的延长,沿肱二头肌外侧缘进入后向内侧翻开肱二头肌,在深部肱肌的中、外1/3肌腹处分离进入达肱骨下段,该入路必须注意保护桡神经(在肱二头肌、肱桡肌之间)和前臂外侧皮神经(肌皮神经的延续,在肱肌、肱二头肌之间)。此入路对肱骨近、中段显露比较充分。

后侧劈肱三头肌入路此入路沿上臂后正中切口,于肱三头肌长头和外侧头之间劈开,深入显露肱三头肌内侧头和肱骨。向近、中段延伸,可直接显露桡神经和桡神经沟,在桡神经直视保护下可于桡神经下安放钢板。此入路比较适合肱骨下段骨折的ORIF。文献报道此入路可显露76%的肱骨[Gerwin 1996]。

后侧肱三头肌旁入路此入路皮肤切口同三头肌劈开入路,但可避免三头肌肌腹的切开,于三头肌内、外侧窗达肱骨,也不移动桡神经。此入路对肱骨远段骨折的显露比较充分,是肱骨下段干骺端ORIF的首选入路。文献报道该入路可显露55%的肱骨[Gerwin 1996]。

后侧肱三头肌翻转入路(Bryan-Morrey入路)此入路是三头肌向内侧翻转显露肱骨,但翻转之前需要解剖出位于桡神经沟内的桡神经,并牵开保护。文献报道该入路可显露94%的肱骨[Gerwin 1996]。

前侧MIPPO入路2007年由上海六院骨科安智全教授首先报道(如下图)。

此入路由2-3个小切口组成,近侧切口在三角肌与肱二头肌近端之间,远侧切口在肘横纹近侧约1cm、肱二头肌外侧缘,经肱二头肌外侧1/4劈开进入达肱骨前方冠状窝上方(有时会碰到肌皮神经,注意保护)。由上方切口经肱骨前方贴骨隧道插入4.5mm系统DCP(成人可允许10-12孔长,钢板下端不应低于冠突窝上缘),对中、下段肱骨骨折予以闭合复位、桥接固定。

也可根据需要,在上、下两个小切口之间的骨折区再切口进行骨折端切开复位、固定。

此入路是目前肱骨干骨折最佳的ORIF入路,可明显保护软组织、减少手术创伤,利于功能恢复。

肱骨干骨折ORIF的AO基本原则

简单骨折(A、B型)可考虑直接复位、绝对稳定;而粉碎骨折(C型)尽量间接复位、弹性固定。

简单骨折可直接通过加压钢板(LCP或DCP)实现骨折端加压,或通过拉力螺钉实现骨折端加压后再使用中和钢板(保护钢板)进行坚强固定。而粉碎骨折尽量间接复位后桥接固定。 

小骨块也应复位、固定(螺钉或微型钢板固定)。

如果骨折严重粉碎骨折有死骨块或骨缺损,则可考虑短缩固定。尽管肱骨短缩可能会造成上臂肌力减弱,但不同于下肢,上肢骨短缩是可以接受的。

生物力学实验证明,锁定螺钉对肱骨干骨折固定的稳定性并不像关节周围骨折那样明显;即使是骨质疏松者,锁定螺钉并不能提供比普通螺钉更大的稳定性[O'Toole 2008,Hak 2010]。

在几种内固定方式中,微创入路钢板螺钉内固定的总体临床效果最好。

肱骨干骨折的双钢板固定

肱骨干骨折多选用一块4.5mm系统的钢板固定,但由于固定失效的报道较多,近年来,肱骨干骨折通过2枚3.5mm系统的小钢板固定正在成为一种新的探索,已有不少生物力学实验方面的文献报道,其稳定性要优于一块4.5mm系统的宽厚钢板[Karakasli 2016,Kosmopoulos 2015,2013]。2枚小钢板还有便于复位和临时固定等优点,但目前尚缺乏大样本的RCT和系统评价报道。

骨折鱼和的影响因素

近段骨折

肱骨干近段1/3骨折比中、远端骨折较难愈合。推测可能与胸大肌、三角肌的牵拉和骨折端之间软组织嵌入有关[Rutgers 2006]。

Ali等(2015)报道了138例肱骨干骨折支具治疗的总体愈合率83%,其中近、中、远1/3骨折的愈合率分别为76%、88%和85%;Rutgers等(2006)报道的近1/3段骨折不愈合率29%,而中、远段骨折不愈合率分别为4%和0;Toivanen等(2005)甚至报道近端不愈合率达54%。

中段骨折

较近段容易愈合。Neuhaus等(2014)研究发现中段A2\A3型骨折的愈合率为80%。

远段骨折

肱骨干远1/3骨折较近段容易愈合。Sarmiento(1990)报道保守治疗的愈合率达96%。远1/3肱骨干骨折保守治疗很容易发生内翻畸形及肘关节僵硬,而手术治疗又容易形成医源性神经损伤。

骨折愈合

骨折平均愈合时间(支具治疗): 横形骨折(A3)为12周, 斜形骨折(A2)10 ,粉碎骨折 (C1\C3)11周 ,多段骨折(C2)为12周[Sarmiento 2000]。

骨不连

Ekholm等(2006)研究发现,骨不连发生率在A型骨折为18%,B型为4%,C型为0。

A型在不同部位的不愈合率:Ekholm等(2006)研究发现近段20% 中段19% ,远段13% 。

横形骨折(A3)由于皮质接触少,比斜形/螺旋形(A1/A2)更不易形成骨不连;而斜形/螺旋形较横形骨折易于骨折间嵌入软组织而形成骨不连。

综合骨折部位及类型,近1/3的斜形骨折最易形成骨不连。

其它因素

骨不连在功能支具固定的6周左右存在骨折端微动者容易发生。

吸烟者发生骨不连的概率是不吸烟者的6倍。

女性患者发生骨不连的概率是男性的5倍。

友情链接: