首页/牙体牙髓/牙根吸收的常见诱因及处理方法,建议收藏!/
牙根吸收的常见诱因及处理方法,建议收藏!
2022-10-20 10:14:543345浏览
牙根吸收就是指埋于牙槽骨里的部分,由于各种原因,被破牙骨质细胞渐渐破坏、吸收。其造成牙冠根比减小、稳定性降低,严重了是可以引起牙齿松动甚至脱落。

一、牙根吸收生物学原因

1、牙根靠近牙龈中1/3的牙骨质硬度高于根尖区的牙骨质硬度,因此大多数的根吸收常发生于根尖区。

此外,牙骨质硬度还和牙齿受外力有关。分别对牙齿施加轻力和重力结果表明,施加轻力组的牙骨质比重力组的牙骨质更硬一些。

牙骨质硬度和牙骨质表面的矿物质沉积有关(钙、磷酸盐和氟),牙骨质表面矿物质沉积是动态的过程,施加轻力时有助于牙骨质表面矿物质沉积钙化,但是重力时,矿物质沉积钙化过程受阻,从而牙根表面硬度降低。

2、牙周膜纤维的排列方向,使得根尖区牙周膜存储应力最大,在应力作用下牙周膜内破骨细胞激活,使牙根吸收加重。

3、根尖区表面覆盖的牙骨质相对于其他牙根位置的细胞成分少,不容易自我修复。

二、牙根吸收机械力原因

1、力量的大小

轻力不会出现牙根吸收,25~100gf。

重力容易出现牙根吸收,300~500gf。

牙根吸收

2、治疗时间

治疗时间越长,根吸收发生几率越大,根吸收越严重。

3、牙齿移动的范围

牙齿移动的范围越大,尤其牙根在骨内移动幅度越大越容易出现根吸收。总之控根移动要比控制性倾斜移动更容易引发牙根吸收。

临床提示:

有牙根吸收的患者,尽量不拔牙,矫治的目标应该局限于排齐,不要做过多的前牙转矩控制。上颌切牙往往是全牙列中移动范围最大的,所以牙根吸收常见于上颌切牙。

控根移动

4、矫治器的种类

大量的临床研究表明,矫治器的种类和牙根吸收没有相关性。和矫治技术同样无关。牙周膜损伤在0.5mm范围之内,5周内牙周膜可以自行愈合,牙根自行完成修复。

图3 不同矫治器对牙根的影响示意图

5、间歇性加力和持续性加力

研究表明,牙齿开始受力的第一周就出现牙根吸收,牙根表面重新钙化沉积修复的过程通常在力量停止之后。

最理想的间歇加力方式是每天只加力8h。但间歇性加力会延长矫治时间,矫治时间越长根吸收越严重。

因此,临床上,间歇性加力并不比持续性加力好。从牙齿移动效率来看,还是持续性加力最好。

使用活动矫治器,间歇式施加矫治力

使用固定矫治器排齐,持续性施加矫治力

6、牙齿移动的方式

从牙根吸收的范围和严重程度来评价:

牙齿压入最容易产生牙根吸收,其次是控根移动,然后是15°以上的牙齿倾斜移动,最后是施加225gf以上力量的牙齿扭转。牙齿伸长也会引发根吸收,但是其严重程度仅有压入的1/4。

总之牙根在骨内移动的距离越大,越容易引发牙根吸收。我们在诊断和制订矫治计划的时候,这是重要的考虑因素。拔牙病例使上前牙移动范围增大,因此要比不拔牙病例更容易引发根吸收。

图6 牙齿的整体移动和倾斜移动

7、根吸收的自我修复

牙齿受力停止的时候,牙根吸收随即停止,牙根自我修复过程随后启动。

有研究发现,进入保持阶段第一周即可发现牙根吸收自我修复的现象,第四周时牙根吸收自我修复进度明显增快,到了第八周自我修复达到一个平台期,并继续延续。

这也是绝大多数正畸病例,尽管有牙根吸收,但还不足以伤害牙根健康的原因。

8、牙根吸收的临床影响

牙根吸收使牙根变短,会影响牙齿稳定程度。这是很自然的想法,事实是,只有牙根长度小于9mm,牙齿在10年后才会出现松动,如果牙根长度大于10mm,牙齿稳定度不会有任何问题。

相比牙根吸收,牙槽骨的降低对牙齿稳定度影响更大。1mm的牙槽骨降低相当于3mm的牙根吸收,而且研究发现,牙周有问题的患者很容易出现牙根吸收。因此我们做牙周病正畸时要提防牙根吸收。

三、如何规避牙根吸收风险

1、仔细询问根吸收家族史。

2、控制不良习惯。

3、替牙期,前牙牙根未完全闭合之前如果过早地施加矫治力,容易出现牙根吸收。

4、对于有牙根吸收的病例,在制订矫治计划时,要选择矫治时间短的方案。

5、尽量使用轻力。

6、如果出现牙根吸收,必要时可以暂停矫治力,间歇性加力。

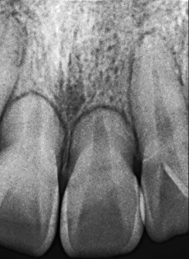
7、矫治中每6个月要拍根尖片,随时监测检查根吸收是否加重。

8、如果根吸收严重,需要间隔3个月拍根尖片。如果发现根吸收加重,必要时停止加力。并且对根吸收的牙齿进行根管治疗。

9、对于有根吸收的牙齿,尽量不要大范围移动牙根,通常选择不拔牙方案。

10、有根吸收的牙齿,在保持阶段,需要调𬌗,去除不必要的咬𬌗创伤。

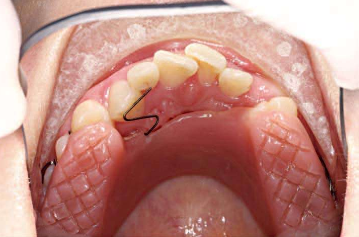
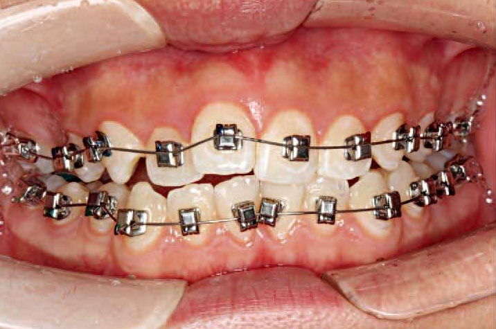
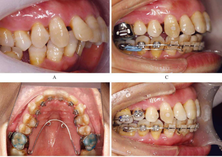
如下图患者前牙深覆盖,由于上前牙根吸收严重,将拔牙方案修改为上颌扩弓引导下颌向前,恢复正常前牙覆盖。

口内像

A.矫治前;B.矫治中;C.矫治末

内容来源:《现代口腔正畸技术与临床思维》!

友情链接: