首页/牙体牙髓/年轻恒牙外伤怎么处理?根尖诱导成形术了解一下!/
年轻恒牙外伤怎么处理?根尖诱导成形术了解一下!
2022-10-28 10:37:222140浏览
当年轻恒牙发生牙髓严重病变或根尖周感染时,会影响牙根的继续发育,造成牙根薄弱易折裂、牙根短小、冠根比例不协调等问题,大大降低患牙在口腔中的留存时间。 根尖诱导成形术是治疗年轻恒牙牙髓感染常用方法,在控制感染基础上用药物及手术方法保存根尖部的牙髓或使根尖周沉积硬组织,使牙根继续发育和根尖形成。

1根尖诱导成形术

适应症

1、牙髓炎波及根髓的年轻恒牙

2、牙髓全部坏死的年轻恒牙

3、根尖周炎的年轻恒牙

诱导根尖形成的机理正常情况

1、在牙胚发育过程中,牙根开始形成时造釉器的内釉上皮和外釉上皮增生,形成上皮根鞘。牙胚冠向生长,上皮根鞘诱导其内侧的牙乳头细胞分化成牙本质细胞,进而形成根部牙本质,使牙根发育。

2、牙齿萌出后,牙根继续发育是以来根管中的生活牙髓、根尖部的牙乳头和尖周组织中的上皮根鞘。

2治疗常用药物

(一)氢氧化钙

既能控制根管内感染又能诱导牙根继续发育。根尖诱导的首选药物,成功率74%—96%。

优点:

1、具有强碱性,pH9~12

能中和炎症区的酸性产物,使细菌在这种高pH环境中失去活力,并促进碱性磷酸酶的活性,从而促进根尖硬组织屏障的形成。

2、钙离子对细胞的分裂有诱发作用

若根端的管腔内残留牙髓,CH可诱导牙髓组织产生骨样牙本质和管样牙本质沉积。对于无髓牙,它能促进根尖周结缔组织细胞的分化,使根管侧壁沉积类牙骨质和类骨质,延长牙根,封闭根尖孔。3、CH能抑制破骨细胞的活性,阻止内吸收和外吸收的发展,诱导牙周组织内的间叶组织形成钙化物,促进骨质修复。

缺点:

1、难以充填至根尖或难以充填密合

2、容易吸收,若尖周炎症未能控制,吸收后炎症结缔组织进入根管,反而影响正常的根尖修复。

注意事项:

1、CH只有与残髓或结缔组织密切接触,才有理想的牙骨质沉积封闭根尖,否则所形成的屏障不完全或很不规则。

2、当炎症控制后,CH才可诱导根尖形成。

(二)Vitapex

1、含有氢氧化钙的碘仿,糊剂型有利于操作;

2、X线阻射性;

3、碘仿遇到组织液、脂肪及细菌产物时,可缓慢分解产生游离碘,氧化细菌原浆蛋白的活性基因,与蛋白质氨基酸结合使其变性,具有良好的杀菌、防腐和消毒作用;

4、氢氧化钙和碘仿合用促进根尖病灶的吸收,促使牙根尖的形成或封闭。

(三)MTA

1、由细腻的亲水颗粒组成,主要成分包括硅酸三钙、铝酸三钙、氧化三钙及氧化硅等。

2、亲水性好,只需与无菌水按比例调拌,使用方便;

3、可在潮湿环境下进一步硬固,在受到血污染的情况下MTA的微渗漏小于氢氧化钙。

4、MTA具有良好的生物相容性,诱导根尖硬组织形成的能力强于强氧化钙,且封闭性能良好。

5、X线阻射性高,容易通过X线片判断充填质量。

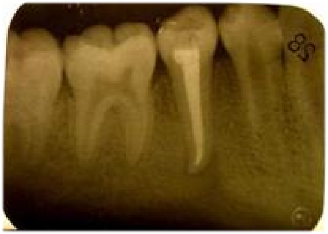
3操作步骤

根尖诱导成形术遵循根管治疗术的基本原则,在根管预备、根管消毒和根管充填的步骤中加强了根管消毒,并且增加了药物诱导环节。治疗全过程分为两个阶段,第一阶段消除感染和根尖周病变,诱导牙根继续发育;第二阶段进行根管永久充填,使根尖孔封闭。两个阶段之间的间隔时间为6个月至2年左右,其时间的长短与牙根原来的长度、根尖孔形态、根尖周炎症的程度以及患者的机体状况等有关。

具体步骤如下:

第一阶段:消除感染和根尖周病变,诱导牙根继续发育

1、术前X线片

了解根尖周病变和牙根发育情况

2、常规备洞开髓

建立直线通路,开髓的位置和大小应使根管器械循直线方向进入根管,确定根管长度。用3%过氧化氢溶液与生理盐水反复交替冲洗,彻底去除根管内的感染组织。

3、根管预备

以X线片根尖末端上方2mm处作为止点确定年轻恒牙WL。

4、根管消毒

吸干根管,封氢氧化钙于根管内,氧化锌丁香油粘固剂暂封,每周更换1次,直至无渗出或无症状。

5、药物诱导

根管内充填可诱导根尖形成的药物,如氢氧化钙制剂Vitapex。充填完成后拍X线片确定充填效果。

6、定期检查

每3-6个月复查一次,常规检查+X线片

第二阶段:根管永久充填,使根尖孔封闭

1、当X线片显示根尖形成或有钙化组织沉淀,而且根管内探查根尖钙化屏障形成完全。

2、永久性根管充填,修复患牙

牙根继续发育的类型A型:牙根继续发育,管腔变小,根尖封闭

B型:管腔无变化,根尖封闭

C型:未见牙根继续发育,根尖处有薄的钙化屏障

D型:根尖1/3处形成钙化屏障

4疗效评价依据和标准

(一)评价的依据

1、根尖周炎症和病变愈合情况

2、牙根继续发育状况

(二)评价的标准

1、成功:根尖周病变消失,牙根延长,管腔缩小,根尖形成或根端闭合

2、进步:根尖周病变消失,牙根延长,根尖未完全形成或形成不规则

3、失败:牙根未能延长,或根尖周病变未见缩小或消失

5病例分析

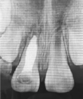
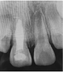
患儿男,8岁,上颌前牙不适,自诉两个月前有上颌前牙外伤史。

检查:11未见明显冠折,牙冠无明显颜色改变,探(+),叩(+),松动I°,唇侧牙龈红肿,波动感(-),触(+),21未见明显冠折及检查异常。

X线片示:11根管短小且粗大,根尖孔未闭合,管壁呈平行状,根中1/3见内吸收,牙根发育7期,根部未见根折线,根尖周有稀疏区;21根部发育程度与11相同,根部未见根折线及内外吸收,根尖周未见明显稀疏区。

诊断:1、11慢性根尖周炎伴牙根发育不全;2、11牙根内吸收。

治疗计划:11行根尖诱导成形术,待牙根发育完成、根尖孔闭合后,再完成永久性根管治疗。

治疗:11开髓,牙髓坏死,去髓。因根尖孔较大,根管长度测量不稳定,去净根管壁感染牙本质,生理盐水反复冲洗并吸干,封氢氧化钙糊剂。

1周复诊,检查:11探(-),叩(-),牙龈红肿明显消褪;去除原充物,由于牙根未发育完全,拟行根尖诱导成形术。用Vitapex糊剂充填根管,水门汀垫底,3M树脂充填。

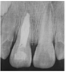
1个半月后复诊,X线片示:11、21根尖孔未闭合,11根尖部Vitapex糊剂部分吸收,根中1/3内吸收暂停,根尖周稀疏区消失,但根尖孔无闭合倾向,牙根长度无明显变化,且略短于21的牙根长度。更换11根管内Vitapex糊剂。

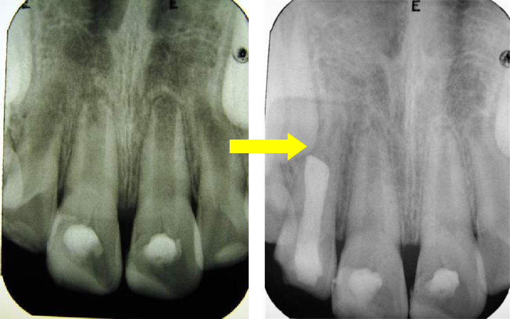
3个月后复诊,X线片示:11、21根尖孔未闭合,11根尖部糊剂无明显吸收,虽根中1/3内吸收未见明显改善,但根尖孔有闭合倾向,牙根长度开始增加,牙根发育接近8期,同时发现11根尖闭合程度略高于21,两者的牙根长度相近。

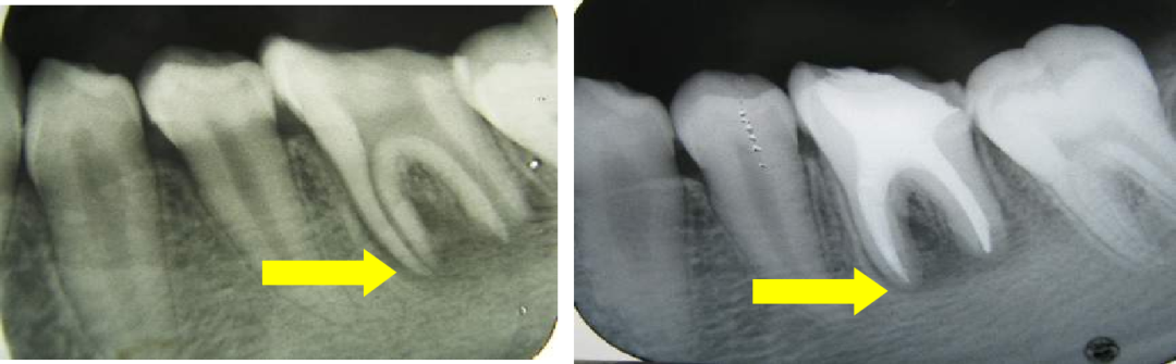
8个月后复诊,X线片示:11、21根尖孔未闭合,11根尖部糊剂无明显吸收,根中1/3内吸收未见明显变化。经根尖诱导治疗后,11根尖孔闭合程度明显高于21牙根的自然发育程度,11发育接近9期,21发育8期,两者牙根长度接近。建议6个月后再复诊,待牙根发育完成、根尖孔闭合后,再完成永久性根管治疗。

病例报告来源:栾晓玲, 徐文娣, 滕琦. 年轻恒牙伴牙根内吸收根尖诱导成形术1例[J]. 牙体牙髓牙周病学杂志, 2017, 27(8):491-492.

友情链接: