首页/足踝/“脚趾头” 坏死:Freiberg病的诊断治疗!/
“脚趾头” 坏死:Freiberg病的诊断治疗!
2022-11-15 10:37:434701浏览
关于Freiberg病的国内报道较少,所以许多骨科医师对此病的认识不够深入进而引起误诊、漏诊!

Freiberg病,又称跖骨头无菌性坏死或跖骨头骨软骨病,由Freiberg于1914年首次报道;关于Freiberg病的国内报道较少,与许多骨科医师对此病的认识不够深入进而引起误诊、漏诊有关。共同的病理变化包括跖骨头扁平、塌陷,继而发生跖趾关节的退行性变,并最终演变为跖趾关节骨关节病。

疾病成因-血供

  • 血管、血液疾病
  • 解剖异常
  • 血管受压

病因-其他

  • 外伤(背侧间隔压力损伤),激素
  • 畸形:拇外翻、锤状趾、第一跖骨较短、内收或第一序列松弛  
  • 穿鞋(高跟鞋)-跖趾关节背侧压力增高

Smillie分期共有5期:

  • Ⅰ期:干骺端的血供已遭破坏,出现裂缝骨折,周围松质骨开始硬化,但没有明显的外在表现;
  • Ⅱ期:跖骨头中心硬化的松质骨被吸收,背侧软骨开始向跖侧塌陷,跖趾关节面的轮廓发生改变;
  • Ⅲ期:随着骨质被进一步吸收,软骨继续向跖侧塌陷,但跖侧的软骨仍相对完整;
  • Ⅳ期:整个跖骨头塌陷,部分关节软骨开始脱落,关节面的解剖结构已无法重建;
  • Ⅴ期:跖趾关节炎明显,跖骨头已变扁平,仅跖侧的关节软骨可能仍部分保留原始的外形轮廓

病理分期与X线分期相对应

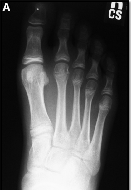
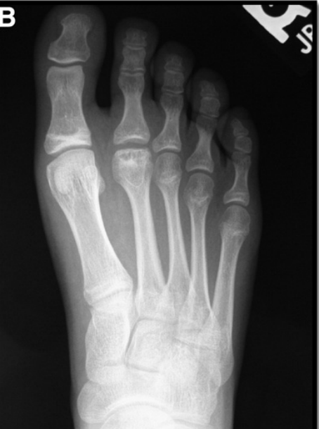
影像学表现

早期

晚期

临床表现

1、跖骨头区域疼痛,行走后加重2、跖骨头区域直至整个趾头肿胀3、趾头可能会翘起,甚至畸形4、跖趾关节活动度差5、跖骨头下胼胝体形成6、早期,跖骨头或跖趾关节处压痛可能是唯一症状

诊断方法:病史+X线片检查结果,是否需要进一步做CT或MRI检查以进一步明确病变程度,从而决定手术方式

治疗方案

一般认为该病早期可以进行保守治疗,对于病变较轻的患者,可先尝试应用保守治疗。减少限制活动量、足垫或行走支具减轻跖骨头应力、非甾体类抗炎药物,保守治疗的目标不仅在于缓解症状,更重要的是逆转骨骺微结构的损伤。一项长期随访的研究表明,对大多数SmillieⅠ~Ⅲ期的患者,如果保守治疗得当,患者可以长期没有症状。

保守治疗有多种方法,常见的有口服消炎止痛药、患肢制动、穿戴能使跖骨头减压的矫形支具或硬底鞋等。

手术治疗

  • 保留关节
  • 不保留关节

保留关节

  • 钻孔减压手术
  • 截骨手术(1、背侧楔形截骨术  2、改良weil截骨术 )

对于中晚期患者大部分学者主张早期手术干预,手术方法主要有第二跖骨背侧楔形截骨术、关节滑膜清理术、关节成形术、关节置换术等。

手术治疗的目的在于尽量重建关节,以消除疼痛、改善关节活动度,现有手术方式,关节清理术、关节成形术、跖骨背侧楔形截骨术、硅胶人工关节置换术。

采用哪种手术方式?

虽然文献报道各种手术方式都有一定较为理想的疗效,但是结合发病机制及病理改变分析上述手术方式,可以看到,一些手术可缓解症状,或减轻应力、延缓病程,但跖骨头病变依然存在,仍有进一步塌陷可能;关节清理,关节外跖骨颈楔形截骨,一些手术在去除病变部位同时,也牺牲了关节及一部分功能;人工关节置换(硅胶假体只起到支撑作用,术后关节活动度并不十分理想),切除跖骨头行关节成形(术后效果比较理想,但导致跖骨短缩,有发生转移性跖痛的可能),有的手术创伤相对较大,愈合时间长,几乎完全没有必要:骨软骨移植(理论上讲,骨软骨移植是最直接的修复替代方法,但是膝关节关节软骨厚度3.5mm,而跖骨头软骨厚度不到1mm,软骨厚度不匹配,且膝关节骨软骨,移植的骨软骨1年才完全达到影像学愈合,而且即便在非负重区,对膝关节也是一个创伤)。

理想的手术方式:重建关节面、尽量保留跖骨长度。

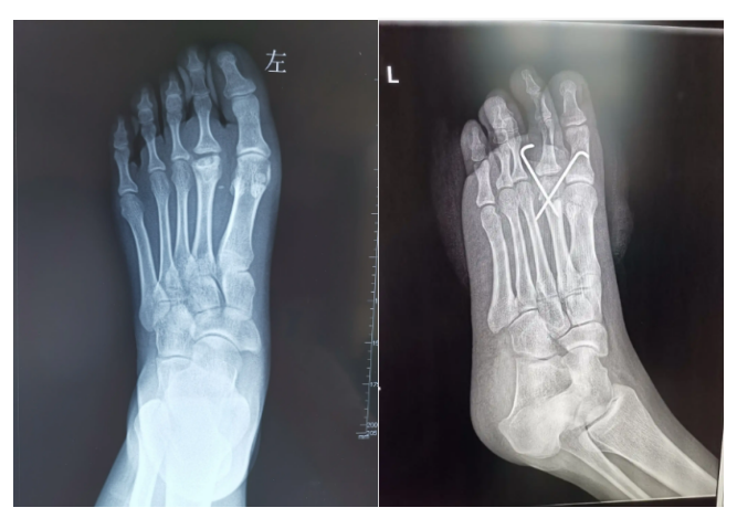
跖骨头背侧闭合楔形截骨术:由于近节趾骨的碰撞导致跖骨头背侧及上方的软骨面受累,跖侧关节面完好者。背侧作3-5cm的纵行切口,暴露跖骨头跖骨颈,关节内清创(避免过度清创,影响跖骨头血运),在背侧用摆锯于跖骨颈水平楔形截骨,跖骨头向近侧和背侧旋转,角度以将跖骨头正常跖侧部分带向背侧为度,尽量维持跖骨长度。交叉克氏针固定6周。并发症:转移性跖痛症;合并骨性关节炎的病例也取得良好疗效。在远端正常跖骨背侧行闭合楔形截骨,将跖骨头正常的跖侧部分翻向背侧,与趾骨关节面相对应。楔形截骨角度尽量维持跖骨长度,除了旋转外不要去除病变。,如果,跖骨头关节面彻底破坏,跖侧无足够的可用来重建关节面的软骨,已经形成终末期关节炎的患者,关节成形术或关节置换术,也是比较好的选择。多中心研究证明,即便4期的病变,术中探及背侧广泛关节面塌陷,但探查发现跖侧仍有足够关节软骨可供翻转上来重建关节面

关节镜下关节清理手术

保留关节(其他)自体骨软骨移植术

不保留关节

关节成形术关节置换术

我们的病例跖骨头背侧闭合楔形截骨术

关节成形术

小结1、Freiberg病是一种临床上相对少见的疾病,会严重影响患者的生活质量和正常活动。

2、Freiberg病的病理变化包括跖骨头扁平、塌陷,继而发生跖趾关节的退行性变,并最终演变为跖趾关节骨关节病。

3、Freiberg病的有多种方法,常见的有口服消炎止痛药、患肢制动、穿戴能使跖骨头减压的矫形支具或硬底鞋等。

4、Freiberg病的手术治疗方法可分保留关节和不保留关节的手术,保留关节的手术:如关节清理术、钻孔减压术、截骨术等;不保留关节的手术:关节成形术、关节置换术、骨软骨移植术等。如何选择合理手术方式治疗Freiberg病目前仍存在争议,但无论选择哪一种手术方式必须考虑到患者的年龄、症状、畸形、病理阶段和整体足部力学等多重因素,并根据患者的需求制定个性化手术方案。

友情链接: