首页/骨科小技巧/“食蚁兽鼻征”,这个征象提示啥?/
“食蚁兽鼻征”,这个征象提示啥?
2022-11-26 17:17:441258浏览
“食蚁兽鼻征”,这个征象提示啥?

先看一个病例:患者,男性,16岁,足部疼痛。

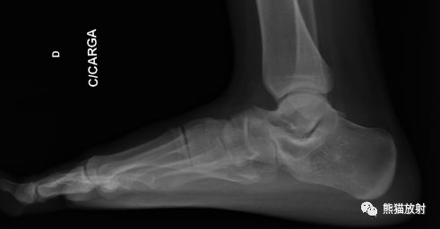
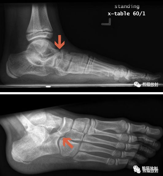
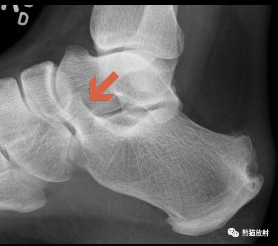
足正侧位平片

MR矢状PD压脂、矢状T1WI;主要表现:跟骨和舟骨之间可见骨性联合,MR上相应区域无水肿

食蚁兽鼻征

1、足侧位X线片上。

2、食蚁兽的鼻子:跟骨的前上部管状伸长,接近舟骨或与其重叠。

3、提示跟舟联合

跗骨联合

又称跗骨骨桥,是指发生于中后足的2个或2个以上跗骨间的骨性、软骨性或纤维性连接。

1、病因

分为先天性与获得性。

先天性跗骨联合是由胎儿间叶细胞分化障碍或断裂失败,常染色体遗传,基因非特异性表达等引起,患者可能没有明显家族史,另外,也可由一些先天性疾病引起。

获得性跗骨联合可以继发于足部创伤,感染,中足部骨性关节炎及肿瘤等。

2、分类

按联合发生的部位可以分为跟距联合、跟舟联合、距舟联合、跟骰联合。跟距联合的发生率约为48.1%,距舟联合的发生率约为43.6%,两者占跗骨联合的90%以上。

按联合的性质可以分为骨性联合,软骨性联合,纤维性联合。

按联合的程度:完全性联合,部分性联合。

3、流行病学

调查显示跗骨联合的发生率约为1-2%,随着CT、MRI等影像学检查技术的进步,文献报告的跗骨联合的发生率有所增高,约为8%左右。50-60%的跗骨联合都是双侧发病,无明显性别差异

4、临床特征

儿童或青少年跟舟联合的患者可能在:8-12岁,跟距联合的患者可能在12-16岁出现症状。

症状出现的原因可能因为随着年龄增长,骨化程度的程度增加,距下关节僵硬加重,后足灵活性减低,运动时容易扭伤后足,导致疼痛。

成年人跗骨联合患者,往往无任何症状,一般是在外伤后或因足踝部其它疾病进行检查时才被发现。

跗骨联合的患者往往自述足踝部反复扭伤。跟舟联合的患者疼痛位于跗骨窦,呈弥漫性。跟距联合的患者疼痛位于距下关节,内踝下方。通常在不平路面行走困难,足部灵活性差。

5、放射学检查

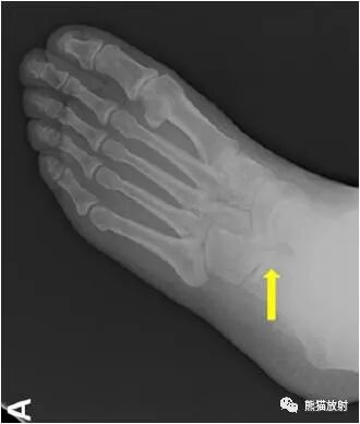
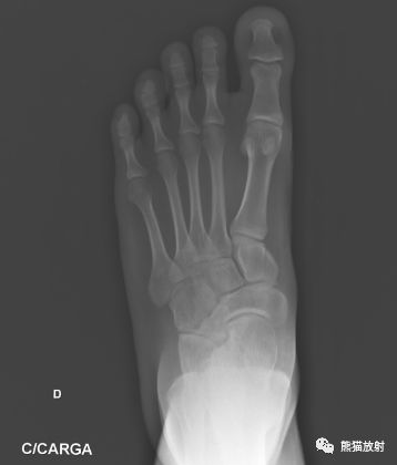
拍摄足负重正侧位,45°内斜位,跟骨轴位X线片。

8岁以前联合尚未骨化,软骨性或纤维性联合需通过其它特征诊断。

6、放射学特征

跟舟联合在侧位X线片上呈现食蚁兽鼻征,拍摄45°内斜位X片观察跟舟联合

跟距联合在侧位X线片上呈现C征,跟骨轴位观察跟距联合。

另外,对软骨性或纤维性联合需借助CT或MRI检查进行判断

7、跗骨联合与平足

一些学者认为跗骨联合与平足的发生关系密切,但跗骨联合患者中平足的发生率并不明确。

有学者认为跗骨联合常常伴有腓骨肌痉挛,并由此导致跟骨外翻,出现僵硬性平足。但另有学者认为腓骨肌痉挛并不存在,是由于跟骨长期外翻才导致腓骨肌挛缩,并非痉挛。

友情链接: