首页/骨科小技巧/下胫腓韧带复合体的MRI影像!/
下胫腓韧带复合体的MRI影像!
2022-12-01 20:22:351477浏览
下胫腓韧带复合体的MRI影像!

下胫腓韧带主要由下胫腓前韧带(anteroinferior tibiofibular ligament,AITFL下胫腓后韧带(posteroinferior tibiofibular ligament,PITFL)及下胫腓骨间韧带(interosseous tibiofibular ligament,IOL组成。三条韧带对踝关节提供不同程度的稳定性,其中AITFL占35%,IOL占22%,浅层PITFL占9%,深部 PITFL占33%。

下胫腓韧带 (DTFJ) 相关解剖结构。a图: (1) Chaput 结节,(2) AITFL,(3) Wagstaffe 结节和 (4) IOL 的前部图像。b图:(1) Chaput 结节,(2)AITFL,(3) Wagstaffe结节,(4) PITFL,(5) Volkmann 结节和(6) ITTFL。


下胫腓关节 (DTFJ) 的 MR 解剖,横断位。a图,Chaput 结节(前方箭头)、Volkmann 结节(后方箭头)和Wagstaffe-LeFort 结节(左上细长箭头);b图可见胫腓骨接触区。


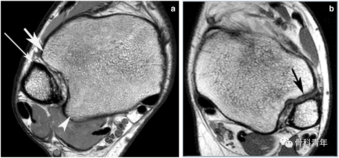
下胫腓关节 (DTFJ) 的 MR 解剖。a图冠状位抑脂相,b图横断位抑脂相。可见下胫腓联合皱襞(长箭头),b图短箭头提示脂肪滑膜皱襞。


下胫腓韧带解剖:下胫腓前韧带 (AITFL)。a图矢状面和 b图冠状面MR图像显示AITFL 的多个分束,由脂肪分隔(白色箭头)。c图横断面MR图像显示AITFL由于斜行而呈现为多点状(白色箭头)。


Bassett's韧带。a图可见Bassett's伴下胫腓前韧带走形,走形于其前下方,b图可见止于外踝前内侧。


下胫腓后韧带 (PITFL)解剖。a图和b图显示浅层PITFL,呈多束(箭头所示)。c图和d图显示深层的PITFL,也称为下胫腓横韧带(ITTFL)(箭头所示)。e图和f图显示骨间韧带(箭头所示)。


骨间韧带 (IOL)。a图(冠状位)、b图(横断位)、c图(抑脂相)显示斜行的多个分束韧带(箭头)。


斜冠状位,可见下胫腓前韧带的连续性存在。

友情链接: