首页/骨科小技巧/「滋养孔」颈后路减压术的“地标”之一!/
「滋养孔」颈后路减压术的“地标”之一!
2022-12-05 16:03:431770浏览
「滋养孔」颈后路减压术的“地标”之一!

颈椎后路减压术是一种非常流行的手术方式,如颈椎后路“单开门”、“双开门”技术及椎板切除减压内固定术等,可用于解除脊髓及神经根压迫,尤其适用于多节段脊髓压迫、后纵韧带骨化症等情况。

颈椎后路单开门丝线悬吊术示意图

颈椎后路椎板切除减压侧块螺钉内固定术示意图

近年来脊柱内镜微创手术用于治疗神经根型颈椎病的“key-hole”技术也越来越广泛,手术入路同样采用颈椎后入路。

可开放亦可脊柱内镜下完成的颈椎后路钥匙孔"key-hole"技术示意图

但颈椎后方的椎板呈斜坡状,不存在适合颈椎后路椎板切除术、椎板成形术和椎弓根螺钉置入的明显解剖定位标志,即显著“地标(landmark)”。幸运的是颈椎椎板后外侧存在骨性滋养孔(nutrient foramen),以往研究认为其可能是节段动脉背侧支的入口点,也有人认为其连接的是硬膜外静脉窦和椎旁静脉系统,滋养孔的存在有可能为颈椎后路手术带来解剖定位参考。


近期有学者发表一项研究[1],探讨颈椎椎板后外侧滋养孔与椎管的关系,以及在脊柱手术中如何利用滋养孔安全有效的进行骨性减压。研究者通过连续观察266例接受颈椎手术治疗的患者,通过三维CT扫描确定了滋养孔与椎管的解剖位置关系。

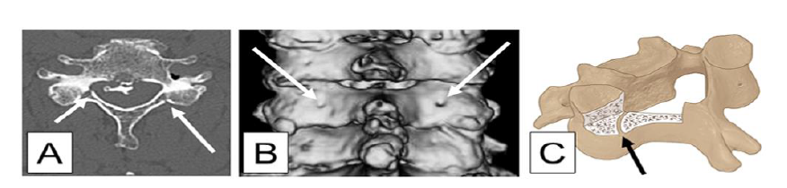
箭头所示为滋养孔的解剖位置

研究发现约1/3的患者存在颈椎滋养孔。C3-C6滋养孔多位于椎管外侧壁约3mm(平均3.06±1.74mm)的椎板后外侧,未发现位于椎管内侧的营养孔。颈椎节段位置越低,滋养孔离椎管越近。

颈椎“双开门”(A-C)和“单开门”(D-F)手术示意图,以滋养孔向内3mm定位进行骨性椎板开槽,可以刚好到达椎管边界

典型病例:脊髓型颈椎病、后纵韧带骨化症,选择颈椎后路双开门减压术。黑色箭头为滋养孔(被认为硬膜外静脉丛的通道,术中根据情况可能需要使用电凝或骨蜡止血),白色箭头是以滋养孔为地标导航,向内3mm制作的门轴处。


因此认为,可以把颈椎椎板后方的滋养孔作为颈椎椎板减压手术的解剖“地标”,在滋养孔内侧3mm处选择“开门”、制作门轴、椎板切除减压是安全可靠的。同时在颈后路脊柱内镜手术中,滋养孔的出现就像夜空中的北极星一样,也可辅助内镜下的辨识定位,避免镜下迷路。

友情链接: