首页/行业解读/骨科医生看急诊的故事:有人几十万几百万不当回事,有人流落街头……/
骨科医生看急诊的故事:有人几十万几百万不当回事,有人流落街头……
2022-12-12 10:54:55956浏览
骨科医生看急诊的故事:有人几十万几百万不当回事,有人流落街头……

不讲废话,直接开火🔥,按时间顺序

首先入选的是8:49就诊的患者,半个小时前在家里突然头晕摔倒,导致有头部疼痛出血,意识不清大概两分钟。体格检查发现右侧面部有长约6cm,弧形裂口渗血,四肢肌力正常。既往有反复的突发晕厥10多年,但是他从来没有去看过。我问他,“你为什么不去看呢?”他说“因为醒来就不记得是怎么晕倒的,不知道怎么跟医生描述,所以就一直没有去看。”做了头部CT,没有发现明显的异常,缝合完伤口之后,建议他到神经内科就诊,进一步明确晕厥的问题,我觉得有点像癫痫发作。

第2位是早上10:18的患者,芳龄31,有痛风,肾结石,血尿酸最高700,短暂服用过一盒非布司他。突发左膝肿痛,活动受限一天就诊。体格检查发现左膝局部肿胀明显,压痛,皮温高,浮髌试验阳性。膝关节超声检查提示股骨软骨表面见双轨征,膝关节积液,考虑通风性关节炎。像这种情况我建议他抗炎止痛治疗,同时可以降尿酸治疗。降尿酸治疗的话首选别嘌醇,但是因为之前没有吃过别嘌醇,所以需要先做一个HLA -B*5801基因检测,患者即刻拒绝,要求服用消炎镇痛药,表示自己再去买非布司他吃。在 2020 年 ACR 的痛风治疗指南中,别嘌醇被作为一线降尿酸药物推荐,但由于在黄种人中,别嘌醇因可引发致死性超敏反应,令不少医生对这一药物望而却步,甚至有医生表示:「不作第一个处方别嘌醇的医生」但是,包括今年新发布的《痛风基层合理用药指南》在内的多个国内指南也推荐别嘌醇为一线降尿酸药物。

第3位出场的患者11:19来的,120送进来的。同事说吊绳子的时候摔下来,我当时有点惊讶,吊绳子是什么操作?然后通过问诊才知道他就是用个绳子把自己吊在空中,然后在做倒立动作的时候,不知道是手上力量不足还是因为饿了,然后就掉下来,头部落地,导致头晕、颈部疼痛。还好做了检查,没有发现明显的问题。在此急诊外科医生呼吁喜欢吊绳子的女性朋友们,注意先吃饱饭或者先锻炼好手部肌肉力量,防止受伤。其实我在想,如果身边配备一个壮汉,当他掉下来的时候抱住他,这样子是否会比较安全?对了,这个不叫吊绳子,好像叫空中瑜伽。

第4位出场的患者12:44来的,是通过抖音过来找我的患者朋友,一位年轻女性,她说四个月之前用力跺脚开声控灯之后出现的膝关节疼痛,后来自己慢慢就好了。正所谓好了伤疤忘了痛,两个月前她又用脚去踹门,然后膝盖就又出现了疼痛,在外院做了磁共振检查,提示半月板囊肿。那边医生建议她说可以做做针灸治疗。体格检查发现膝关节前外侧间隙有轻微的压痛,膝关节活动良好。磁共振上也可以看到外侧半月板前角是有一个囊肿的。我给他的建议是半月板囊肿这种如果有不舒服的话,做个膝关节镜手术,处理掉就可以了。如果没有不舒服,那么观察就可以。其他方法没有必要也没有效果,别浪费钱了。

第5位患者是12:59就诊的,他是一位腰痛患者。既往就有过腰痛伴有右侧臀部麻木,一天前弯腰拉重物之后症状加重,活动受限。我随口问了一句,拉了什么东西?他指了指站在诊室门口他的太太,“那,就是她!”说完我俩都笑了,他的老婆也笑了。原来因为他的太太腰痛,躺在床上起不来,他就想去把他老婆拉起来,然后弯腰拉的过程中就出现了腰部的疼痛活动受限。然后我就又八卦了一下,“那你老婆为啥会腰痛呢?”  “因为之前我腰痛,在家休息,她老是弯腰照顾我,结果就出现了腰痛!”恩爱两公婆,一起来就诊。比翼双飞齐头进,互相照料齐腰痛。嗯,好诗!

第6位患者是18:12来的,是一位九岁的小朋友。一个小时前被同学用网球砸伤颈部导致头晕,没有昏迷,没有恶心呕吐。体格检查:枕部有轻微压痛,双侧瞳孔等原等大对光反射灵敏,四肢感觉肌力无异常。像这样的情况我会像患儿家长明确告知检查利弊:如果不做CT检查,需要观察72小时,72小时以后没有问题,绝大部分没有问题;家长问了我一个问题,医生你觉得需要怎么做呢?如果做CT检查,首先当然有辐射的风险存在,假如做出来有损伤出血需要即刻住院观察治疗,如果没有的话就需要按照上面的时间去观察。在目前的医疗环境中,医生可以做的是提供治疗方案并告知利弊,医生不能够直接为患者作出决定。最终家长表示先开单,他们再自己考虑一下。

第7位医生是18:23来的,突发左侧腰腹部疼痛一天,疼痛在改变体位的时候明显加重,没有胸闷心悸等不适。体格检查左侧肌内部压痛,叩击痛阳性,带状向腹部放射,转身时疼痛明显。做了一个CT检查,没有看到主动脉夹层,没有气胸等危及生命的问题,都是看到了胆结石以及胆管结石,诊断考虑是肋软骨炎或者是肋间神经痛。我很惊讶于他描述的专业性,原来是浙大一附院的医生,高级职称。回珠海探亲,因为疫情无法返回。因为是同行,吐槽了一下,广州放开我们这边出诊反倒加码,要加上隔离衣以及防护面屏,实在闷得厉害,也问了一下浙江那边的情况。这位前辈说得好,“有人觉得是放开,有人觉得是放毒!他们那边出诊更加离谱,要求穿大白隔离衣出诊”他说等疫情好一些,回去之后就去把胆囊手术给做了。他也表示药物就不需要了,他家里有各种各样的药物。真是佩服人家,比我大不了几岁已经要弄正高了。

第8位患者是18:30就诊的,六岁儿童既往体健,按时按计划接种疫苗。半小时前不小心摔伤,导致头部疼痛出血。体格检查,左侧顶部有2cm的裂口,渗血。缝完针以后家长要求注射破伤风抗毒素(TAT),说弟弟上次缝针也打了,安全第一。我告知像这种情况是不需要打TAT的。因为小朋友既往有注射百白破疫苗,现在仍然处于有效保护期内,所以是不需要的。我也告知他,如果出现头晕头痛,恶心呕吐甚至昏迷的情况,需要即刻检查头部CT。这里涉及到一个问题,患者要求打TAT的情况下,是否能给他打?其实这个是违反医疗原则的,没有必要打的情况下给他打了,很大概率是没有问题的。但是万一出现严重的过敏性休克等问题,就叫做违反医疗原则,官司怎么打都是输的。不能因为患儿家长要求,你就给他打针,他又不懂。

第9位患者是19:08来的,正所谓君子动口不动手,好男不与女斗,不过他给我的感觉就不是好男人。

他的脾气比较大,来了之后。不想排队,直接就冲进来说要求做一个手指的CT检查。我不同意,排在他前面的患者也不同意。我看着他骂骂咧咧的往门口走了,以为他直接就走了。谁知道过了一会,他还是按规矩的排队等候的。原来两个小时前跟他老婆吵架,老婆要走,他就去拉扯他老婆,然后手指就痛的很厉害。体格检查发现右环指远节肿胀,远节过度背伸,屈曲受限,指骨基底部压痛。我刚开始以为是屈指伸肌腱断裂,谁知道X光检查出来却是指骨远节骨折,成角畸形明显给他拉了一次之后有所改善,而是他不同意让我再拉第2次,然后直接离开。

第10位患者是19:54就诊的,半个小时前工作的时候不小心扭伤右足导致疼痛,活动受限,轮椅推送就诊。体格检查:右足肿胀,踝关节无压痛,右足压痛,第5跖骨基底部压痛明显。我跟他说,这个八成是第5跖骨基底部骨折。他说不会吧,扭一下就骨折了。拍了个X光片回来,果然骨折了。“唉,居然被我说骨折了,不过还好没有移位,固定一下就可以了。”他说他受伤了那就辞职回家准备过年吧。我告诉他这种情况可以申请工伤的。但是他似乎没有那个意思。打了个石膏,拿了点药就回去了。

第11位患者是20:25就诊的,突发阵发性左侧腰腹部疼痛4小时,呕吐一次,尿不出。体格检查腹部平软无压痛,左侧肾区叩击痛阳性。CT检查提示左侧输尿管远端膀胱入口处结石,4mm大。患者拿着检查结果进来找我看的时候直接问我“医生,这个结石在这里做手术,外地医保能报销吗?”  “输尿管结石手术肯定是可以报销的呀,不过你这种情况不需要手术啊,他已经快掉进膀胱了,给你点药吃,多喝水,蹦蹦跳跳可能就掉出来了,如果缓解不了的话,就去泌尿外科门诊复诊。”任何手术都是有它的适应症以及指征的,没有达到手术指征就不应该做手术,这个应该是最基本的原则。

第12位患者是22:44就诊的,12岁男孩三天前开始出现阴囊肿胀疼痛,逐步加重。体格检查发现阴囊肿胀触痛,托举阴囊疼痛可以缓解,双侧提睾反射存在。当时我的第一印象应该是一个睾丸附睾炎,给他开了一个急诊彩超,过了一会超声科医生给我打电话说考虑睾丸扭转。即刻放下手头的工作。告诉护士抽血化验,并通知泌尿外科准备收病人,不到30分钟就把患者送上去住院,希望患儿能有个良好的结局。

第13位患者是22:49就诊的,是一位头部外伤患者。她进来就感觉她的精神状态很不稳定,她前面说了大概有5分钟左右,一直在诉说她庭婚姻生活的不幸福,我看到这种状态又不敢打断她。她说她丈夫出轨,抛下她以及两个年幼的孩子。一年多没有回来看过她们,现在还回来要把她们赶出家门。当初甜蜜的说,让她在家安心做家庭主妇,照顾家庭;现在却想把她扫地出门,觉得万般的痛苦无奈,很想一死了之。无奈之下用头不断撞击铁栏杆,导致出血,伤口不大,已经止血。她在诉说病史的时候她的大女儿跑进来抱了她一下,看了她一眼,又出去陪她的弟弟。需要去做一个头部CT检查,在他去做检查的时候,我首先让护士帮忙照看他的两个孩子,然后打电话给行政总值班商量着报警为她们提供帮助。后面因为其他病人很多,不知道到后续会是怎样,祝她好运。

第14位患者是紧接着进来的,22:58 ,120送入,14岁孩子,左肩部割裂伤,自己走进诊室。我问他,“你的父母呢?” “他们都没有来,他们都不管我。”  因为孩子未成年,需要他的监护人在场,我给行政总值打电话。结果还没说完,他的母亲站在门口呆呆的看着他。见到家长来了,我让小孩进清创室里面,打开敷料查看伤口,我注意到她手腕上带着长长的护腕,原来这是上次割腕的伤口,还没有拆线。我告诉他肩膀的伤口需要缝合,由他母亲在旁边陪伴他。他呵斥他母亲出去,他不想看到她。安抚他母亲,坐在旁边的床看着,我准备给他缝合。在给他做局部麻醉的前一刻,他呼唤他的母亲过来陪着他。她站在他的右侧,他把脸转过去,埋在他母亲怀里。打完麻醉清创完准备缝合,可能是因为不痛了,他转过头来看到他母亲在掉眼泪,问“我都没哭,你哭什么”  ,他母亲没有开口说话,只是默默落泪。我说 ,你妈妈心疼你啊。“她才不会心疼我”,“不会心疼你就不会追着120跑过来照顾你,就不会被你这样呵斥都没有说你,不会你一呼唤她马上就过来陪着你,等你有一天明白了你母亲为什么哭,你就不会这样问了。无论什么时候,父母永远是我们最可靠的守护者”。孩子说他爸爸打他,我告诉他,我小时候也被我爸打,用绳子捆在柱子上打,当然这样子的教育方式是不对的。但是父母的文化知识有限,他们不懂那么多,我们能做的是学好,以后避免同样的事情发生在我们的下一代身上。心情不好有很多方式可以发泄,但是千万不要伤害自己的身体,这样子真的很傻。哎……

第15位患者是01:11就诊的,四岁小女孩,小女孩咳嗽,12点多睡觉的时候她外婆拉她手腕起来喝药,出现了左肘疼痛活动受限。我外婆考虑是脱臼了,在家里自己拉扯揉捏好不了,爸爸妈妈带着过来医院就诊。不到一分钟时间,20块钱,搞定回家。睡梦中的小女孩哭的有点厉害……不过复完位之后,他的手又活动自如了……

他爸爸说他感觉到了咔嚓一生,我很惊讶他居然听到了,原来是他的手抱在小女孩的上臂,感觉到了弹响。听着他两公婆在那里探讨复位的技巧,要怎么揉捏拉扯,我问他是否要教他复位手法,他笑了笑说算了……[憨笑]话说我以前还真的教过我的同学,远程给他儿子复位[憨笑]

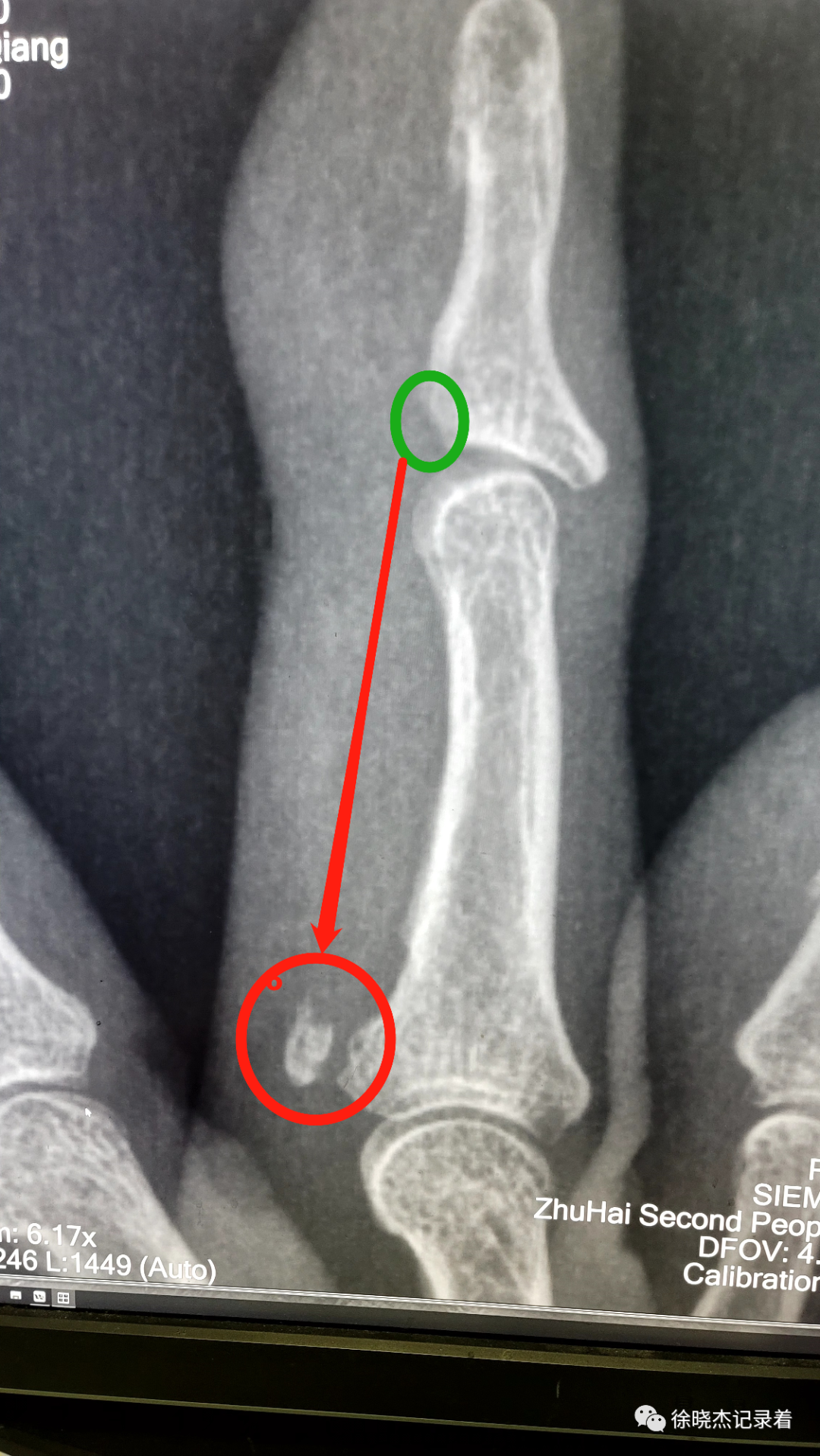
第16位患者是02:04过来就诊的,据他说那个人骗了他家人好几百万,欠了10年,中间失联了四五年,后面又找到了。他拿着欠条从北方跑到珠海过来要钱催债。结果反倒被对方打伤了。体格检查发现右环指肿胀,近指间关节以远压痛,远指间关节为甚,远指间关节屈曲不能。

这种情况为他进行了手指正侧位X光片检查,结果发现一个小骨块,应该是从远节指骨基底部被撕裂下来,被屈指深肌腱带到了近指间关节的位置,这样就可以完美的解释他的症状。这种情况肯定是需要手术治疗的,但是他似乎决定要优先处理他的收债问题。

我当时先问他是否欠了几十万,他居然说要是几十万就算了。是好几百万,算了,不收了,现在让他进去坐牢吧。

第17位患者是半夜来的,因为被他女朋友打过来就诊。他说他前两天就已经被他女朋友打过一次,左手左腿都是淤青。他说他是男的不能打女人,但是他也明确的告知他的女朋友,如果再打他的话,他肯定要分手的。结果今天又打他了,踹了他右边大腿内侧一脚。他说如果往中间一点,下半身的幸福估计就毁了,他已经报警,他的女友现在派出所了。我想安慰他:你好歹还有个女朋友,很多人连女朋友都没有呢。想想这样似乎又不太好,还是算了……写了个病历给他,找警察去了……

(下班回家路上……)

友情链接: