首页/脊柱/腰椎MRI阅片细节,临床必备!/
腰椎MRI阅片细节,临床必备!
2022-12-13 17:34:089322浏览
腰椎片细微之处,往往是疾病关键之处,学会仔细读片,对把握疾病本质尤为关键!

1. 腰椎MRI矢状面

腰椎MRI正中矢状面(mid-Sagittal Region)。可见两种主要的骨结构:方形椎体(黄色轮廓)和后弓的棘突(蓝色轮廓和S)。棘突与椎板的连接构成后弓的前边界,后弓也形成中央椎管的后部。这被黄韧带覆盖(绿色L)。椎体和后弓之间的极度高信号空间(几乎纯白色)是硬膜囊(红色T),充满着脑脊液。黑线为椎体后部(PB)、椎弓根和椎板之间的距离,为椎管的直径。在正中矢状面中,马尾神经根通常不太明显(淡蓝色箭头),除非它们靠近神经孔(未显示)。位于5个腰椎椎体之间的是5个腰椎间盘(红色轮廓和D),它们承载身体80%的轴向载荷。

腰椎MRI旁矢状位(Para-Sagittal Region),在硬膜囊内可见走行根(红色箭头),但L5除外,它已从硬膜囊出芽(第3个红箭头)

腰椎MRI旁矢状面(侧隐窝)可见L4-5椎间盘突出(红色箭头),接触到一个走行根,甚至将其推得有点偏离轨道(绿色箭头)

腰椎椎间孔矢状位(Foraminal-Sagittal Region)是一个位于旁矢状位外侧的区域,可很好的显示椎间孔的边界(粉红色圆圈):顶部和底部分别由上下椎弓根(P)组成。后边界由下位脊椎的上关节突组成,前边界由椎间盘和椎体(VB)组成。注意,椎间孔因高脂肪含量而呈高信号,而出口神经根(红色箭头)呈低信号。

2. 腰椎MRI横断面

椎间盘水平T2加权像的横断面MRI片(Disc-Level T2-Weighted Axial MRI Image)。白色轮廓为椎间盘,绿色轮廓为硬膜囊和黄色轮廓为后弓。涂红的区域为椎间神经孔。

L4/5椎间盘的典型腰椎T2加权轴向图

腰椎MRI的L4/5椎间盘水平

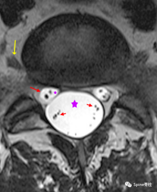
腰椎MRI的L5-S1椎间盘横断面。黄色箭头为L5神经根。可见巨大圆形的硬膜囊,充满脑脊液(大紫星和极亮的白色)。在2点和10点,可见S1走行根(左侧大红色箭头),其中也充满脑脊液(小紫星),也可看到S1走行根的感觉神经根和运动神经根。这三个圆形结构(硬膜囊和两个走行根)共同构成了“米老鼠”外观,典型通常仅在L5-S1水平,有时在L4-5水平也可见。

与上图为同一图,并做了进一步的标记

腰椎MRI的S1椎体水平。粉色箭头为骶髂关节,红箭头为S1走行根

MRI从S1椎体层面向上连续扫描,至4up的L5/S1椎间盘水平。在2up处可以看到右侧关节突(白色箭头),3up中S1走行根刚开始从硬膜囊中发芽形成独立囊鞘。4up可明确看到L5/S1椎间盘。其实,从2up开始就看到部分L5/S1椎间盘。

从L5/S1椎间盘层面继续向上,并连续扫描至L4/5椎间盘,此患者L4/5椎间盘呈黑椎间盘。注意标注的各出口根和走行根

友情链接: