首页/牙体牙髓/步骤+病例!牙冠延长术具体操作,看完这篇就学会!/
步骤+病例!牙冠延长术具体操作,看完这篇就学会!
2022-12-15 10:39:003842浏览
牙冠延长术是在坚持牙周生物学宽度的基本原则下,扩大健康牙体组织暴露范围,并采取手术方式对部分牙槽骨、牙龈进行去除,提高牙齿的暴露量,进而提高牙齿形态的美观度或对其进行修复。

01

做冠延长术需要考量哪些指标?

作者:张英医师

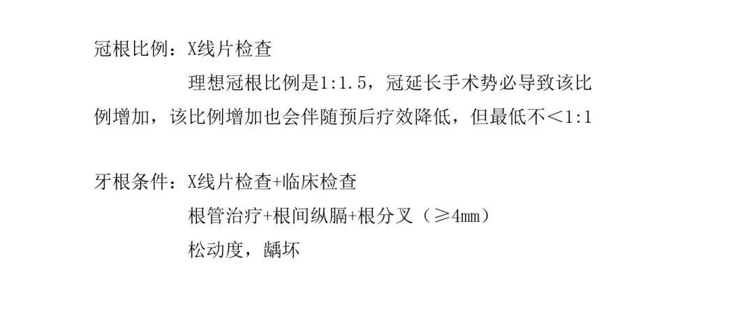
1、冠延长手术需要考量哪些指标?

2、能达到目的方法有哪些?优缺点?

02

冠延长术步骤

作者:Jennifer 阿JUAN 阿JUAN

1、切口

沟内切口,不伤牙龈,保留龈乳头,缝合前修剪内侧牙龈。

2、翻瓣

翻瓣至膜龈结合,根向复位(勿做垂直切口——骨吸收,龈退缩。腭侧可适当去除一点牙龈),保留角化龈。

3、用小/中球钻,后用刮治器去除近牙面的牙槽骨,形成一个缓坡。3.5-4mm。

4、刮治器修整后(去除牙周膜等),去除肉芽组织,复位牙龈,看牙龈有多,沿内侧修剪多余牙龈。(告知患者牙龈消肿后有间隙,需牙间刷清洁)

5、根向复位,间断缝合。牙周塞治剂(可用/可不用)

6、消炎药

图3、4:术中术区示意图

图5、6:术后术区示意图

注意:生理盐水保持骨面湿润状态。龈瓣不要用有齿的器械夹持,无齿的可以。凹凸不平的骨面,尽量修整成平缓的状态。牙近中的冠延长术,视野不好。可吸收线缝合,线头留长一点。

03

手术操作要点解析

图源:北大口腔牙周科释栋主任

1、主定点

也就是龈缘顶点,理想的牙龈曲线是上颌中切牙的牙龈顶点应与上颌尖牙的牙龈顶点大致在同一水平线上,而上侧切牙的牙龈缘顶点低于这条线大约 1mm 左右,形成了波浪形的曲线,或者是两侧尖牙到两侧中切牙的牙龈顶点位置逐渐降低的" V"字形。上中切牙和尖牙牙龈顶点的水平连线应平行于上前牙切缘连线和下唇曲线,中线两侧的上颌牙龈缘位置应该相互对称,尤其是中切牙,上颌前牙龈缘顶点的位置通常位于牙体长轴的远中,形成漂亮自然的扇贝形状。可以在预备牙颈部远中时略微加深预备深度,以形成适宜的龈缘顶点形态,但是要特别小心不要伤害结缔组织附着,并且修复体颈缘形态制作出适当的突度,对牙龈组织有足够的支持,塑形龈缘曲线,让龈缘顶点的特征更明显生动。

定点依据:牙冠长宽比;角化牙龈宽度;美学参考线;中切牙对称 ;顶点略偏远中1mm。

2、辅助定点

为使切除牙龈形态更加美观,可增加辅助定点,即龈乳头与顶点连线中部外侧定点,注意龈乳头的形态。

3、切口角度

垂直切口+沟内切口切口角度(一般用于牙龈明显增生)。

大部分以内斜切口2为主,辅以沟内切口1,对于牙薄龈型角化龈足够宽可选3垂直切口,避免手术后牙龈过度退缩。

4、切口范围

涵盖所有需要延长临床牙冠的牙位;两侧各延长一个邻牙;必要时可行纵切口。

5、翻瓣

翻瓣范围:

  • 近远中:主诉牙两侧至少各一颗牙。
  • 颊舌侧:未涉及邻面,可做单侧翻瓣;涉及邻面,颊舌侧同时翻瓣。
  • 冠根向:视野清晰+微创理念
  • 翻瓣后进行牙槽骨的修整:1.暴露修整的范围,2.剥离器械将龈瓣翻起,高速手机修整。
  • 翻瓣需要有足够位置修整,且不损伤手术器械。建议在距牙槽嵴顶5mm左右。

先翻龈乳头,再翻颊侧中央,范围尽量小,一般不超过膜龈联合。

翻瓣操作要点:

1. 选择正确的剥离器械

2. 建议从龈乳头开始,原因:龈乳头比较偏后,且不容易跟颊舌侧分裂。

3. 剥离器械的支点始终在骨面,而不是向根方运动,否则容易滑脱、穿透龈瓣。

翻瓣不顺利的原因:

1. 用力方式不当

2. 器械使用不当

3. 未切透骨膜

4. 肉芽组织粘连

6.去骨及骨成形去骨标准:暴露断缘或预备体边缘;暴露预设龈缘水平;对称原则。 

去骨参照:断缘4-4.5mm(预留1-1.5mm肩台);釉牙骨质界(2mm);临时冠切端(冠长+3mm);龈缘(3mm);同名牙对称。

7、骨成形要求

邻面与颊侧落差,邻面骨嵴顶比唇侧嵴顶偏向冠方2.5mm;

慎去邻面骨,邻面牙槽骨脊顶距邻牙接触点<5mm,一般不会形成黑三角;

根尖纵沟,前牙根间纵沟应尽可能地保证拥有符合要求的生理外形,使未来附着其上的牙龈表面与牙齿长轴成 45°角,利于菌斑的自我清洁;

去除台阶,形成弧形;

骨修整后形成三维波浪形。

8、缝合

常采用间断或褥式缝合;

悬吊缝合,多用于单侧翻瓣时使用。

对于美学区牙冠延长术,也可采用牙龈微创美容缝合,避免缝线暴露,达到美观、微创、加速愈合的效果。

04

冠延长手术病例

作者:徐安斌

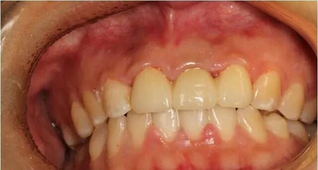
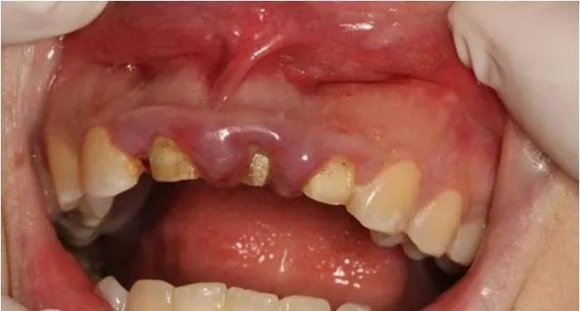
患者自述3年前上前牙因外伤折断在外院做烤瓷牙修复,现烤瓷修复体脱落。经过检查发现,患者外露牙体组织不够,无法直接进行烤瓷牙重置。建议通过冠延长手术的方法,来使患牙的暴露量增加,然后再通过烤瓷牙进行牙齿的修复及改善牙龈形态的美观。与患者商议,表示接受该修复方案。


术前口内像


局麻下翻瓣


术中


翻瓣后清除炎性组织

颈缘骨修整

术中

软组织修复整

间断缝合

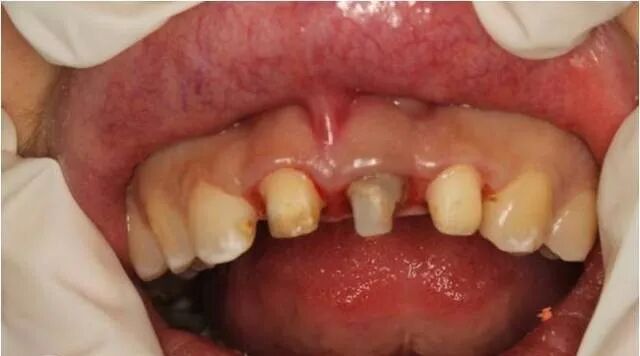
基牙备置

临时冠修复

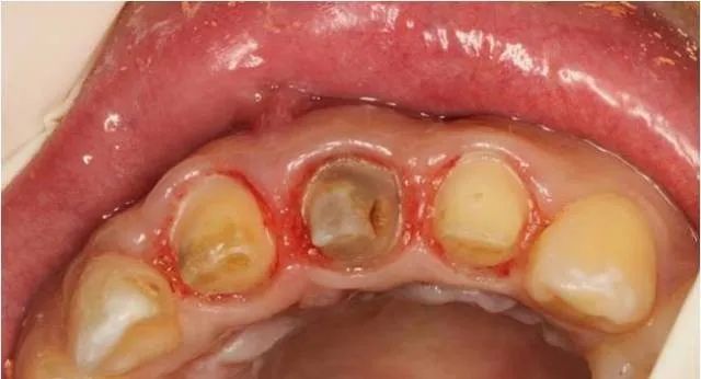
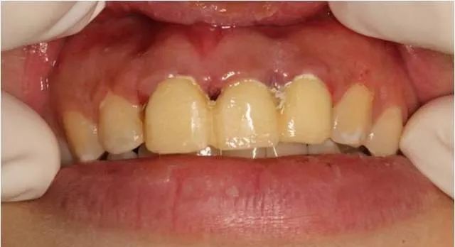
术后两周拆线后口内情况



三个月后修复牙体制备后


固定修复后口内像

修复前后对比图

友情链接: