首页/口腔小技巧/前牙区牙槽骨形态分类!/
前牙区牙槽骨形态分类!
2022-12-26 11:05:232112浏览
从CBCT的横断面可以看出,下颌牙槽骨的内外侧骨板为骨密度较高的密质骨。从矢状面看,下颌前牙区舌侧骨板比唇侧骨板厚。

前牙区牙槽骨形态比较复杂,可以分为下列几种:

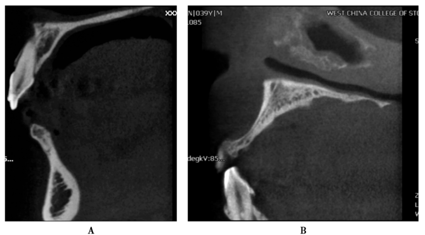
1.短粗型

下颌前牙区牙槽突比较低,矢状位显示牙槽突上部分比较粗短。

图1 短粗型此型牙槽骨位置较低,但唇(颊)舌向骨量较多

2.细小型

矢状位显示牙槽突较薄,形成上部较小、下部较大的细颈烧瓶样。

图2 细小型CBCT矢状位显示牙槽骨骨质较薄,唇(颊)舌向骨量较多

3.弯曲型

CBCT矢状位显示颏结节上方稍内陷呈弓形。

图3 弯曲型CBCT矢状位可见牙槽骨中份弯曲,呈弓形

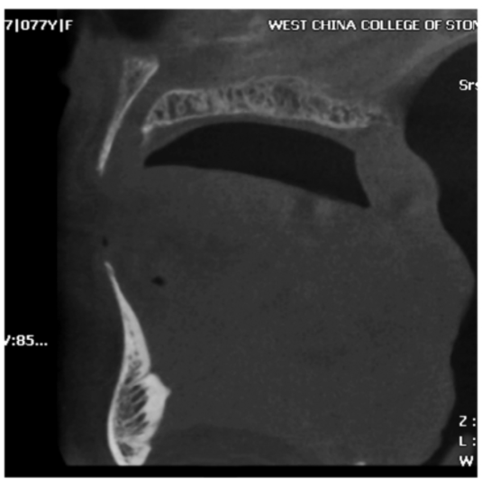
4.薄片型

CBCT矢状位显示牙槽骨呈片状,非常细薄。

图4 薄片型CBCT矢状位示上下颌牙槽骨吸收明显呈片状,非常细薄

友情链接: