首页/关节/全髋关节置换之联合前倾角,这样做手术更完美!/
全髋关节置换之联合前倾角,这样做手术更完美!
2022-12-26 16:46:006184浏览
全髋关节置换术中假体的安装角度是影响其术后效果的关键因素之一,合适的假体角度能够使髋关节有良好的活动度,满足术后日常活动的需要

全髋关节置换术中假体的安装角度是影响其术后效果的关键因素之一,合适的假体角度能够使髋关节有良好的活动度,满足术后日常活动的需要,假体角度不良往往与术后脱位、活动受限有关。髋臼前倾角和股骨颈前倾角之和的概念最初由McKibbin在1970年提出,被称为“不稳定指数”。

股骨前倾角

1868年,Wolf等发现正常股骨颈并不在股骨干的冠状面上,而将股骨颈的长轴与股骨干冠状面所形成的角度称为股骨前倾角。股骨前倾角在髋关节的稳定性和正常步态方面起着重要作用。常用的两种测前倾角的方法为Murphy法和Hernandez法 。Hernandez法使用单层CT断面确定股骨颈轴线,以股骨头中心和股骨颈最狭窄部中心确定股骨颈轴。Hernandez 法为二维平面测量,不能代表真实股骨颈轴线,测量的结果只是股骨前倾角的近似值,且所测前倾角误差较大,可重复性较低。

Murphy法选择股骨头中点与股骨颈基底部中点的连线作为头颈轴,它与股骨内外髁最后缘切线间的夹角被视作前倾角。这更符合Biling提出的股骨前倾角定义,以及股骨前倾角的真实性。

在李峰的文章中,取股骨标本29个,分别采用Mupphy法与Hemandez法测量股骨颈前倾角的值;同解剖法测量前倾角的值比较。解剖法测量结果:12.206士4.872°;Murphy法测量结果 12.482士4.461°,与解剖法比较 P>0.05:Hernandez法测量结果:9.482士4.453°,与解剖法比较P<0.01;Murphy法与 Hemandez法测量结果比较,P<0.01。

在Aidin Eslam Pour等人有关联合前倾角度的文章中,骨盆前平面(APP)被定义为连接髂前上棘和耻骨联合的平面。

解剖股骨前倾角在股骨后髁平面上测量(A)。功能股骨前倾角测量相对于站立状态下的垂直平面(B)。

坐位时相对于水平面测量股骨功能性前倾角。

髋臼杯前倾角

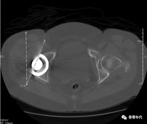
为降低THA术后的脱位率,Lewinnek提出臼杯安全区的概念:影像学前倾角 (15±10°),外展角(40±10°),在安全区内的率为1.5%,在安全区外的脱位率为6.1%,虽有争议但得到大多数学者认可。髋臼前倾角是髋臼开口面与矢状面形成的夹角,臼杯前倾角,即通过在髋关节CT横断面上测量髋臼杯前后壁连线与骨盆矢状轴的夹角。

在之前的文章中提到X线测量髋臼前倾角,x线平片的成本低、放射水平低、随访和髋臼假体位置评估方便等优点,可以考虑用Widmer的方法是评估x线平片前倾。但X片测量髋臼假体的前倾没有CT来的准确,存在着一定的误差。

联合前倾角

在全髋关节置换术(THA)中,髋关节联合前倾是指髋臼和股骨前倾的总和。McKibbin在一项对婴儿身体的研究中首次引入了这一术语,并定义了30°-40°联合前倾是正常的,有15°的股骨前倾。男性的联合前倾角比女性低。在一项对200具成年身体的研究中,男性的联合前倾角平均为29.6°,女性33.5°,股骨前倾角平均11.6°。(男性为11.1°,而女性12.2°)。

一项全髋关节有限元研究探讨了联合前倾角以避免撞击的最佳组合,得出结论为37.3°。数学模型也证实了联合前倾是避免撞击必须考虑的测量方法。但不同的研究者提出联合前倾角的数值不同 。Dorr的联合前倾角的安全区标准被临床医师广泛接受:25°~50°,女性略大,男性略小。

在Dorr的文章,纳入了47例髋关节置换病人,术后CT扫描联合前倾角为37.6±7°。(范围,19°-50°)。前倾角与计算机导航相结合的安全区为25°-50°。联合前倾角过大时,伸髋、外旋时股骨假体颈部与髋臼杯后部发生撞击,容易发生前脱位。联合前倾角过小时,屈髋、内收、内旋时股骨假体颈部与髋臼杯前部发生撞击,容易发生后脱位

总结

成功的全髋关节置换术依赖于股骨和髋臼假体的准确放置。髋臼假体位置的准确评估对预测全髋关节置换术后脱位、活动受限、衬垫磨损、撞击等不良事件的发生具有重要意义。联合前倾角在预防全髋关节置换术脱位中的重要性已得到证实。被临床医师广泛接受的联合前倾角的安全范围为25°-50°。

友情链接: