首页/牙体牙髓/案例分析:口腔全景片10大经典失误,值得学习!/
案例分析:口腔全景片10大经典失误,值得学习!
2022-12-27 15:41:521795浏览
口腔全景片是口腔科检查中十分重要的常规检查手段,主要用于检查、分析、判断病情,帮助医生及时正确的诊断,指导治疗工作。今天和大家分享牙科拍摄全景片的十大经典失误案例及原因分析和解决方法!

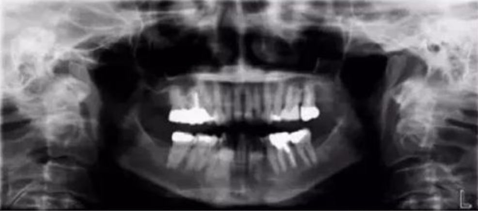
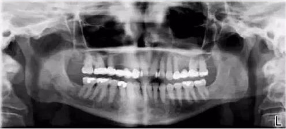
一、下颌前牙区域辐射穿透度不够

【失误原因】

射线被脊柱阻碍,未能完成穿透下颌骨组织。

【解决方法】

调整患者颈部定位,确保颈部直立居中,让患者稍靠前。

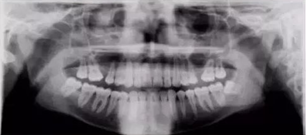
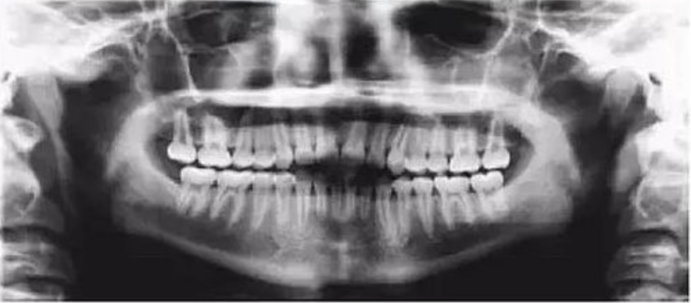
二、影像辐射穿透度不够,前牙显示较大

【失误原因】

定位聚焦激光束或自动对焦(Autofocus)激光束定位过靠前。

【解决方法】

将定位聚焦光束后移至侧切牙根尖位置。

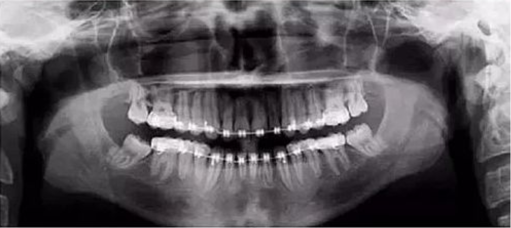
三、牙齿显示较小且双侧脊柱显影过多

【失误原因】

定位聚焦激光束或自动对焦(Autofocus)激光束定位过靠后。影像中牙齿显小且双侧脊柱显影过多。

【解决方法】

将定位聚焦光束前移至侧切牙根尖位置。

四、微笑线(牙齿排列解剖曲线)太大

【失误原因】

患者下巴过低。

【解决方法】

调高设备抬高患者下巴。

五、微笑线(牙齿排列解剖曲线)上凸

【失误原因】

患者下巴抬的过高。

【解决方法】

调低设备降低患者下巴。

六、微笑线(牙齿排列解剖曲线)过平

【失误原因】

患者下巴定位过高。

【解决方法】

调低设备降低患者下巴定位。

七、前牙下颌区辐射穿透度不够

【失误原因】

铅衣在患者背后位置过高。

【解决方法】

拉高患者胸前铅衣位置,拉低患者背后铅衣位置。

八、影像倾斜,一侧髁骨明显高于另一侧

【失误原因】

中矢激光束未对准,患者倾斜。

【解决方法】

将中矢激光束与鼻根中线进行对准。

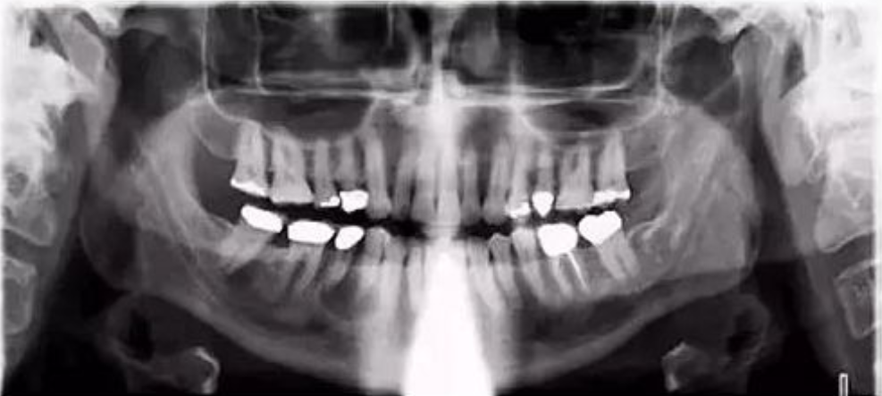
九、两侧下颌支与牙齿大小不同

【失误原因】

患者扭动。

【解决方法】

确保患者在全景成像时候处于直立稳定状态。

十、上颌区拱状阴影

【失误原因】

患者舌腭之间有空隙,在案例影像中可明显看到一个上颌拱形阴影。

【解决方法】

让患者闭口且保持舌头顶住上腭。

友情链接: