首页/骨科小技巧/椎体“硬币征”不只是嗜酸性肉芽肿!/
椎体“硬币征”不只是嗜酸性肉芽肿!
2022-12-26 16:54:101024浏览
椎体“硬币征”不只是嗜酸性肉芽肿!

硬币征,又称银币征(silver dollar sign)、扁平椎(Vertebra Plana)、薄饼椎(Wafer-Thin Vertebra)或煎饼椎(pancake vertebra)

本征象为 X 线平片或 CT 重建像上,椎体压缩变扁呈硬币状,其横径和矢状径均超出正常椎体,相邻椎间隙大多正常。

本征象对于儿童青少年,常提示骨嗜酸性肉芽肿。但也可以见于其他疾病,比如创伤、骨质疏松症、成骨不全导致的压缩骨折或者转移瘤、骨髓瘤、白血病和淋巴瘤导致的病理性骨折。

典型病例

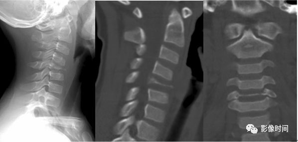
病例 1,18 岁男性,嗜酸性肉芽肿(朗格汉斯细胞组织细胞增生症 LCH)。X 线片示颈 6 椎体变扁,呈现硬币征,其横径及前后径均增大,椎间隙相对增宽。

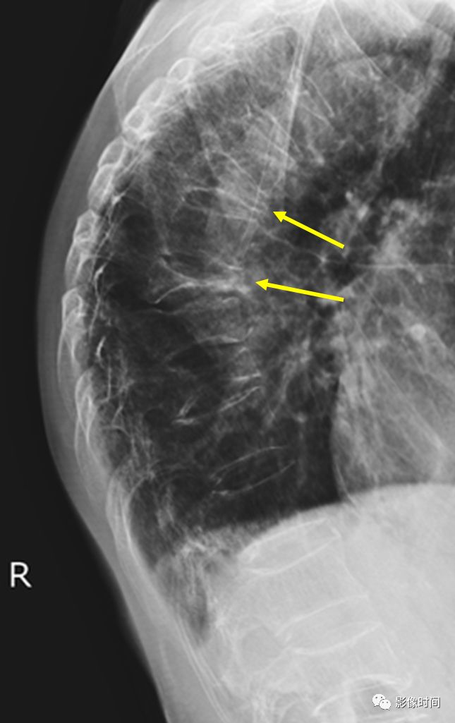
病例 2,老年性骨质疏松,多发压缩性骨折。胸椎侧位 X 线片示例多发椎体楔形变扁,两个椎体呈扁平椎/硬币征改变(黄箭)。

友情链接: