首页/口腔种植/图文结合:口腔种植常见并发症的影像学要点!/
图文结合:口腔种植常见并发症的影像学要点!
2023-01-03 11:13:462257浏览
在牙种植手术过程中,由于对于影像的理解程度较低,对于种植术中的风险评估不足,或者是因为经验,可能发生一些相应的并发症,本文介绍与影像相关的七种并发症。

如种植体进入上颌窦或者上颌鼻腭管,在下颌骨种植体植入过深而伤及下牙槽神经管,或者种植体的偏斜、种植体折断,有的甚至伤及口底,造成口底血肿导致严重的后果。

1 种植体进入上颌窦

种植体进入上颌窦(图1)并不是很常见的现象,往往是由于术者对于解剖结构的理解不深或者经验不足而发生。

图1 CBCT显示种植体位于上颌窦内A.矢状位;B.水平位

种植体进入上颌窦以后,其位置和方向可以完全不一样,三维重建图像可清楚显示种植体的形状与邻近结构的相关关系(图2、图3)。

图2 CBCT三维重建图显示种植体位于上颌窦内,移位的种植体呈内外向位于另外一个种植体的上方

图3 全景片显示种植体位于左侧上颌窦内B56根尖上方

术前拍摄CBCT了解上颌骨骨质的密度是非常重要的,因为上颌骨的骨质密度一般情况下较下颌骨疏松;另外CBCT还可以了解骨质的高度与宽度、上颌窦内的状况及邻近牙齿等的相关信息,避免发生此类意外。

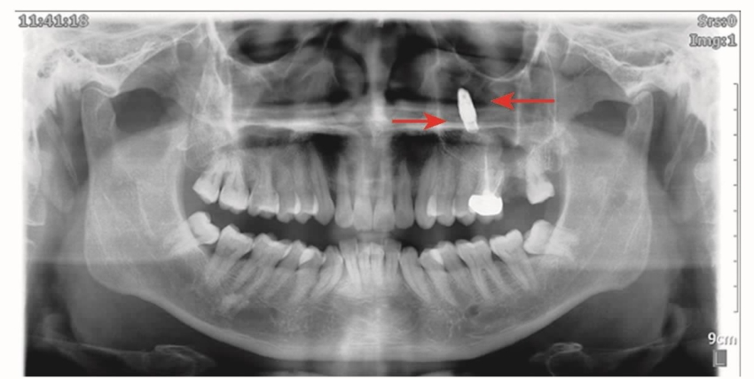
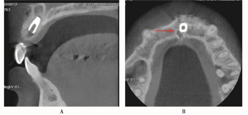
2 种植体进入鼻腭管

在上颌前牙区最重要的一个结构就是鼻腭管,是鼻腭神经和血管通过的地方,全景片和牙片又不能很好地显示该结构。鼻腭管的大小是不一致的,有的可以很粗大而且不规则。在临床有时候可以看见种植体进入鼻腭管的现象,有的轻度压迫鼻腭管(图4),有的部分或者大部分进入鼻腭管(图5、图6)。尽管种植体进入鼻腭管不会像损伤下牙槽神经管出现非常明显的症状,但在临床工作中还是要尽量避免损伤鼻腭管。术前CBCT的检查及判断就显得十分重要。

图4 种植体部分进入鼻腭管,压迫鼻腭管A.矢状位显示种植体部分进入鼻腭管;B.水平位显示种植体近中压迫鼻腭管

图5 种植体进入鼻腭管,压迫鼻腭管A.矢状位;B.水平位

图6 矢状位显示种植体进入鼻腭管,种植体大部分完全位于鼻腭管内

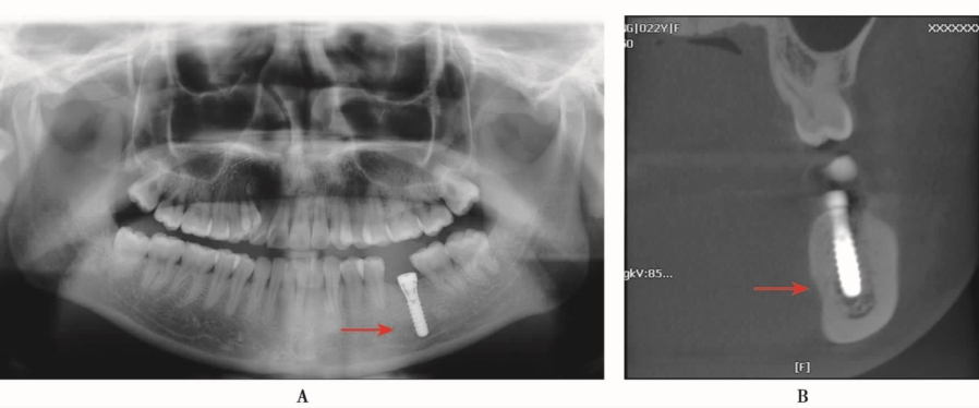
3 下牙槽神经管损伤

下牙槽神经管是下颌骨非常重要的结构,当下牙槽神经管损伤后会出现麻木或者其他的症状。误读全景片或者不了解全景片的失真率往往是造成手术意外的原因(图7)。

图7 全景片及CBCT冠状位A.全景片显示种植体压迫下牙槽神经管上壁;B.CBCT冠状位显示种植体进入下牙槽神经管内

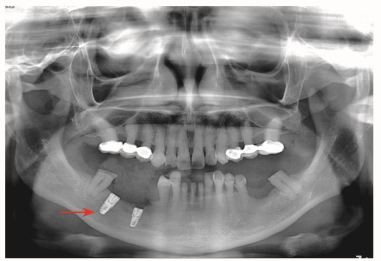
对于全景片上神经管影像不清晰或者不能确定时,最好用CBCT检查,以确定神经管的位置,有没有其他分支,距离牙槽嵴的高度,颊舌侧的宽度以及有无颏孔舌侧开口等。在下颌骨骨量不足的情况下,种植手术时要高度警惕,尽量避免种植体进入下牙槽神经管(图8)。

图8 全景片显示C5、C6种植体进入下牙槽神经管

另外,过度追求种植体的长度也许是不科学和不明智的选择,损伤下牙槽神经管的风险是非常大的(图9)。

图9 全景片显示左侧D6种植体完全超过下牙槽神经管,D7种植体进入下牙槽神经管

4 种植体位置不正

手术前对于植入区域的评价存在问题,也许是手术过程中操作的失误或者其他原因,才会导致种植体植入后位置偏离了牙槽骨的方向,但在术后的全景片检查中往往不能正确判断(图10A),只有通过CBCT检查才能正确发现种植体的方向(图10B)。

图10 种植体位置不正A.全景片显示A区种植体位置良好;B.冠状位显示种植体位置明显偏颊侧

5 种植术后上颌窦积液

上颌窦积液分为两种,一种是原来就存在的陈旧性积液,往往是脓液,而且特别黏稠;一种是继发性积液,即种植术后才发生的积液(图11),往往是出血造成的。

图11 上颌窦提升术后积液及吸收A.上颌窦明显积液;B.6个月后上颌窦积液消失

单纯从影像上来讲两者有很多的相似性,要结合临床病史来判断。上颌窦内陈旧性积液是否适合做种植手术还值得探讨,在没有CBCT之前全景片不能显示上颌窦的情况,仅仅只能看见上颌窦底。在做上颌窦提升术时尽可能保证上颌窦黏膜的完整性。

6 种植体折断

种植体的发展历程也是循序渐进的,20世纪90年代可以看见一段式的叶状或者细长的螺钉状种植体,现在已经淘汰。那类种植体可以看见有折断的发生,而现在的种植体一般不容易发生折断。种植体过细或者应力过大都可能造成种植体折断(图12)。

图12 全景片局部A.种植体折断(箭头);B.第二次重新植入直径较粗的种植体

7 其他改变

如图13所示,种植体下方有明显的规则低密度影,多系钻孔过深,有可能是碰到血管破裂出血,而植入种植体。可能的原因是术前对于影像的评估不足,没有发现或者考虑到颏部实际上存在丰富的血管网,值得临床医师引起注意。也可能是种植体不能顺利地就位。尤其是舌侧有类似颏孔的下颌骨骨管的存在时,以免造成口底出血血肿,甚至危及生命。

图13 钻孔过深显示种植体下方空虚

内容来源:《口腔种植影像学》!

友情链接: