首页/脊柱/单侧双通道脊柱内镜技术(UBE)治疗退行性腰椎管狭窄!/
单侧双通道脊柱内镜技术(UBE)治疗退行性腰椎管狭窄!
2023-01-09 11:47:455951浏览
单侧双通道脊柱内镜技术(unilateral biportal endoscopic, UBE)下减压是治疗退行性腰椎管狭窄(degenerative lumbar canal stenosis, DLCS)的微创(minimally invasive, MI)手术方法。通过适当控制生理盐水的流入和流出,UBE可以在清晰、放大的手术区域内进行减压。

单侧双通道脊柱内镜技术(unilateral biportal endoscopic, UBE)下减压是治疗退行性腰椎管狭窄(degenerative lumbar canal stenosis, DLCS)的微创(minimally invasive, MI)手术方法。通过适当控制生理盐水的流入和流出,UBE可以在清晰、放大的手术区域内进行减压。

图1 UBE手术示意图

台北远东纪念医院骨科同仁[1]回顾了2018年7月至2019年2月使用UBE技术治疗的81例DLCS患者的临床和影像学数据,对于伴有较严重下肢神经症状的腰椎管狭窄患者,采用UBE进行双侧椎管减压取得了满意的临床疗效。

2、手术方法

2.1 患者的选择从2018年7月至2019年2月,本研究回顾了连续81例接受UBE减压技术治疗的DLCS患者。手术的适应症:持续性下肢放射痛,下肢神经功能损害,MRI显示中度至重度椎管狭窄伴神经源性间歇性跛行至少6个月。排除标准:(Ⅰ)Cobb角大于20度的退行性脊柱侧弯,或大于I度的退行性脊柱滑脱;(Ⅱ)节段性不稳定性,定义为直立侧位片上屈伸间的平移超过4毫米或10度角移动,或直立前后位片上的侧弯;(Ⅲ)既往腰椎手术史。

本研究纳入的81位患者中,男38例,女43例,平均年龄为70.2±10.8岁(39-92岁)。69例单纯腰椎管狭窄,有12例患者伴有轻度腰椎滑脱。总共进行了105个节段的减压,58例患者进行1个节段减压,22例患者进行2个节段减压,1例患者进行3个节段减压。1例患者在T11–T12减压,1例患者在L1-L2减压,4例患者在L2-L3减压,28例患者在L3-L4减压,67例患者在L4-L5减压,4例患者在L5-S1节段减压。

2.2 手术技巧全身麻醉诱导后,将患者俯卧于透视床,皮肤和手术区域按常规方式准备。UBE手术需在连续生理盐水冲洗下进行,注意最上层铺单的防水与排水处理。如果没有这些预防措施,患者可能会被冷的生理盐水浸泡并伴有体温过低。

为了获得真实的正位X线影像,应平行于椎间盘透视,透视后标记皮肤。UBE减压需要在深筋膜上做两个小切口:一个较小的切口约5–6 mm,用于插入观察内镜和连续的生理盐水冲洗;用于器械操作和生理盐水流出的内镜切口较大约8–10 mm(图2)。具有0度或30度范围的内镜系统是必不可少的。

图2(A)圆圈表示最初的目标区域,即棘突-椎板交界处。观察通道和操作通道的皮肤切口沿椎弓根内侧线分布,相距2-3 cm;(B)示意了观察通道和操作通道的角度、生理盐水进出情况。

减压的最初目标区域是在棘突-椎板交界处(棘突与椎板下缘的交界处)。两个通道皮肤切口通常沿着椎弓根内侧线放置,相隔2–3cm(图2)。使用长10毫米的软组织扩张器分离椎旁肌,随着生理盐水的流入会产生一个很小的空间并可供使用。进行细致的止血可以使整个手术过程可以在清晰放大的手术视野中进行(图3)。对于小的硬膜外静脉出血和骨面渗出,可以通过调节生理盐水流入流出的静水压来实现止血,软组织内和硬膜外较大的静脉出血可以用等离子刀头止血,松质骨引起的明显出血可以用骨蜡进行止血。

图3 本例采用0度内镜左侧入路进行UBE减压。(A)棘突-椎板交界区作为减压起点; (B)使用高速金刚石磨钻分离出黄韧带的起点(*)和棘突基部; (C)对侧侧隐窝减压;(D)对侧椎间盘和神经根;(E)同侧椎间盘和神经根;(F)椎管减压的最终结果,硬膜外脂肪予以保留。

手术始终使用直径3mm或4mm的电动高速金刚石磨钻从棘突-椎板交界处开始减压,减压过程根据以下步骤进行(图3):

UBE手术关键步骤

1、开始磨除同侧椎板下缘骨质,直到露出黄韧带起点和硬膜外脂肪(图3A);2、用钝神经剥离器将黄韧带与对侧椎板下表面分离;3、潜行进入对侧椎板下表面,几乎到达侧隐窝为止;注意,起初黄韧带必须作为潜在的神经保护组织被保留下来;在严重狭窄的情况下,棘突和小关节通常肥大和变形;从棘突基部切除更多的骨质将扩大减压窗口,更容易进入对侧侧隐窝(图3B);4、将对侧黄韧带与其在椎板上的附着分离,并使用小而弯曲的Kerrison磨头减压对侧侧隐窝和椎间孔;5、去除同侧黄韧带的浅层,并保留深层作为保护神经的组织;6、磨除下位椎体的上椎板边缘;7、切除对侧黄韧带,减压对侧小关节的下表面,以松解对侧行走神经根(图3C、D);8、通过磨除同侧椎板和小关节的内侧缘进行同侧减压。小关节磨除过程应非常保守,以尽可能保留小关节;9、切除同侧黄韧带深层,游离同侧行走神经根,检查残存狭窄(图3E);10、止血后伤口内置入细引流管进行伤口引流。

图4 对于严重椎管狭窄的患者,通过单侧入路(虚线)进行双侧减压可能会导致同侧小关节的过度破坏(A);从棘突根部去除更多的骨头(*)使对侧切开部分窗口(双箭头)从而尽可能的保留同侧小关节(B)。

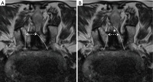
2.3 成果评估术前和最终的X射线检查,包括静态和动态影像进行了评估,以评估节段性不稳定。术前和术后3个月进行了腰椎的MRI检查,测量了最狭窄的轴向硬脊膜横截面积(CSDA),以评估减压效果,每次测量重复3次以获得平均值。MRI轴位进行小关节保留情况的评估(图5)。

图5 术前(A)和最终随访(B)MRI上小关节关节保存的测量。虚线突出了减压术的范围。小关节保留的百分比= Y / X×100%。

使用视觉模拟量表(VAS)评估腰腿痛症状,日本骨科协会JOA得分评估功能恢复,Oswestry残疾指数(ODI)评估残疾程度以及改良的MacNab评估临床总体治疗效果。

3、结 果平均随访时间为8.6个月(6-12个月)。每个减压节段的手术时间为89±56.9分钟(50-190分钟)。术中失血很少。平均住院时间为3.6±2.4天(3-6天)。大多数患者于术后2天开始下床活动。

手术后症状明显改善(表1)。根据修改后的MacNab标准,最终47例患者优(58.0%),29例患者良好(35.8%),5例患者中等(6.2%),0例患者差,即93.8%的优良率。

表1 临床和影像学结果

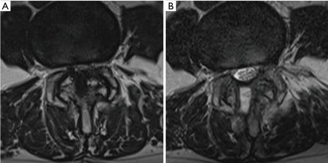
UBE减压后,狭窄的椎管明显扩大,在MRI上最狭窄的轴向图像上测得的硬脊膜横截面积CSDA从71.4±36.5 显着增加到177.3±59.2 平方mm(P <0.005,配对t检验)。CSDA平均增加105.9±39.5平方mm,比术前增加201.9%±188.0%。切口侧小关节保存的百分比为84.2%±9.3%,对侧为92.9%±6.2%(P = 0.024,配对t检验)(图6)。

没有患者出现减压后节段性不稳或既往存在脊柱滑脱的进展。在3例患者中发现了小关节积液(表1)。4例患者有小的硬膜撕裂,1例在内窥镜下直接修复成功,其余3例保守治愈。4例硬脑膜撕裂均发生在前30例UBE手术。其他并发症包括:一过性运动无力1例,硬膜外血肿1例,减压不充分1例,无感染或伤口相关并发症。

图6 UBE减压后末次随访MRI(B)和术前MRI(A)的比较显示,对于严重腰椎管狭窄的患者,UBE对椎管减压充分,硬膜截面积得到改善,双侧小关节获得保留。

4、讨论与结论

对于退行性腰椎管狭窄(DLCS)的手术治疗,充分减压是最关键的决定因素。为了避免破坏脊柱稳定结构,通过单侧手术入路进行双侧减压是最常用的减压方法,这种减压方法被生物力学证明可以保持完整脊柱80%以上的强度,并且比其他减压方法可以更好地保护小关节。为了提高手术后恢复效果,各种微创方法(小切口开放,显微镜,扩张通道,椎间盘镜,内窥镜辅助或全脊柱内镜)已经提出要进一步减少手术伤口和损伤椎旁肌。然而,必须要权衡最小侵入性的优点和有限的视野、有限的工作空间、陡峭的学习曲线、放射线暴露、成本、降低的手术效果、微创并发症等一系列缺点。

作为治疗腰椎间盘突出症和椎管狭窄的微创手术技术,自2003年以来就提出了UBE减压技术的概念。然而,由于缺乏诸如止血用的等离子刀、射频电极和有效去除增生骨质的电动磨钻、超声骨刀之类的便利工具,因此UBE技术缺乏推广。随着内镜技术和手术器械近年来的进步,UBE技术已成功应用于颈椎、胸椎、腰椎疾病。通过细致的止血和适当控制生理盐水的静水压力,手术区域几乎是无血的。内窥镜的直径仅为4mm,这使我们能够使其与病理学非常接近,以实现更精确的减压和对神经组织的精细操作。

UBE减压技术可以实现足够的减压。本研究中,平均硬脊膜横截面积CSDA从71.4增加到177.3平方mm,增加201.9%。手术后临床数据也显示出很大的改善,腿部疼痛VAS评分从7.3降低到仅0.9。患者的神经系统症状和残疾状况也有明显改善,这反映在JOA评分和ODI的改善上,使用改良的MacNab标准评估优良率超过90%。

在脊柱的后柱稳定结构中,小关节复合体是最重要的。生物力学测试表明,超过50%的小关节破坏会导致脊柱节段不稳定,所有的微创手术方法旨在获得充分椎管减压的同时尽量保留小关节复杂的完整性。UBE通过内窥镜检查方法,可以将外科医生的视点推进到椎板内部或对侧侧隐窝,因此可以最大程度保留小关节。如果使用30度内窥镜,视野将更广泛。本研究中发现,UBE椎管减压足够充分的同时,小关节也得到了很好的保留,切口入路侧小关节保留率为84.2%,对侧为92.9%。

UBE用于DLCS的椎管减压是一种安全、有效的微创手术技术。同时,UBE对软组织和小关节破坏可以实现最小化,因此有可能避免脊柱融合以及保持腰椎节段的活动性和稳定性。此外,UBE手术过程更贴近脊柱外科医生的开放手术经验和习惯,从本研究的并发症情况来看,UBE的学习曲线不如其他微创减压技术陡峭,相对容易学习和掌握。

友情链接: