首页/骨科小技巧/1分钟读懂,腕关节外伤阅片技巧!/
1分钟读懂,腕关节外伤阅片技巧!
2023-01-09 11:44:561552浏览
1分钟读懂,腕关节外伤阅片技巧!

在各种运动中,腕关节都很容易受到损伤。作为关节外科医生,临床上也很容易碰上腕关节不适的病人。这时,拿到患者的影像片,你该如何判断呢?


看是否有骨折:主要以舟骨、月骨常见,其他腕骨骨折一般较少,侧位注意不要漏诊三角骨即可;看桡骨远端不要漏诊关节面和纵行小梁的骨折。

两条弧线 如果不连通 多半有脱位


我们把月骨看做是香蕉,把头状骨看做是苹果。香蕉下面的桡骨关节面是盘子,盘子上面有香蕉,香蕉上放个苹果,苹果被咬了一口,在前面是三角骨骨折。香蕉歪了是月骨脱位,苹果向后是月骨周围脱位。


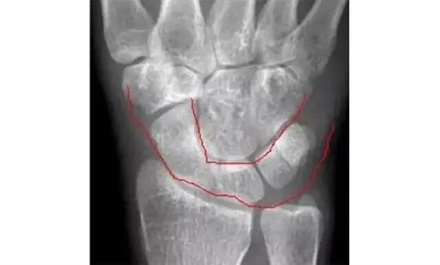
若显示腕骨弧线不连续或各弧线不平行,或腕掌线M形结构消失,应高度怀疑腕关节不稳或脱位。


Analyze-腕骨弧线正位弧线不连续,侧位明显脱位。


月骨脱位月骨周围脱位,苹果歪了,香蕉还在。

Case 分析1
1.月骨-三角骨间隙不平行,存在重叠。

2.钩状骨和月骨也存在重叠。

3.桡骨、月骨、舟骨近极和头状骨近极平行关系存在。

4.三角骨、钩骨、头状骨远极、大多角骨和舟骨远极平行关系也存在。

5.头状骨和舟骨骨折。

诊断:经舟骨、经头状骨月骨周围骨折-脱位。

Case 分析2

舟骨-大多角骨-小多角骨关节(STT关节)、第1腕掌关节(CMC1关节)严重骨关节病伴半脱位,掌骨弧线正常、平行关系存在。舟骨变长提示其向背侧倾斜。

侧位片示月骨也向背侧倾斜,近排腕骨作为一个整体移动,所以不存在脱位。

最后诊断:无脱位DISI(背屈不稳)伴STT关节骨关节病及半脱位。

 侧位显示月骨向掌侧倾斜

Case 分析3
1.月骨-三角骨间隙平行关系缺失致掌骨弧线I and II中断。

2.月骨和舟骨平行,而与其他腕骨不平行。

3.舟骨缩短提示向掌侧倾斜。

4.月骨平行于舟骨,其三角形状提示为掌侧倾斜所致。

5.近排腕骨不是一个整体,因为弧线I中断。

诊断:掌屈不稳伴月骨-三角骨关节脱位

总结

1)月骨脱位:正位片示月骨由四边形便成三角形或橘瓣状,并向尺侧移位。侧位月骨前移、旋转,窝状关节前空虚。

2)经舟骨月骨脱位:除月骨脱位外,同时伴有周骨骨折,且骨折近段随月骨一起向前脱位,骨折远端仍处于原位置。

3)月骨周围脱位:表现为腕关节缩短,头骨与桡骨距离变近,头骨、钩骨与月骨部分重叠,月骨形态及位置基本正常。

4)经舟骨月骨周围脱位:表现为月骨周围脱位拌周骨骨折,且骨折远端随头骨向后脱位,而骨折近段与桡骨、月骨关系保持正常。

5)混合型脱位:月骨周围脱位,月骨也有半脱位。甚至有腕骨骨折、尺桡骨骨折、尺桡下关节脱位等。

6)腕骨解剖特点:

  • 正位片上,前后排腕骨后缘形成光滑的弧线:前后排腕骨不重叠:头、钩、月三角骨间形成十字间隙。
  • 月骨于正位片上为楔形、侧位片上为月牙形,窝状关节面朝前、且与头状骨紧贴。
  • 侧位片上,桡骨纵轴通过月骨和头骨;前排腕骨自下而上分别为大、小、头、钩骨,后排自下而上为舟、月(豆)、三角骨。
友情链接: