首页/骨科小技巧/“八字征”与积液和骨折!/
“八字征”与积液和骨折!
2023-01-10 19:38:411441浏览
“八字征”与积液和骨折!

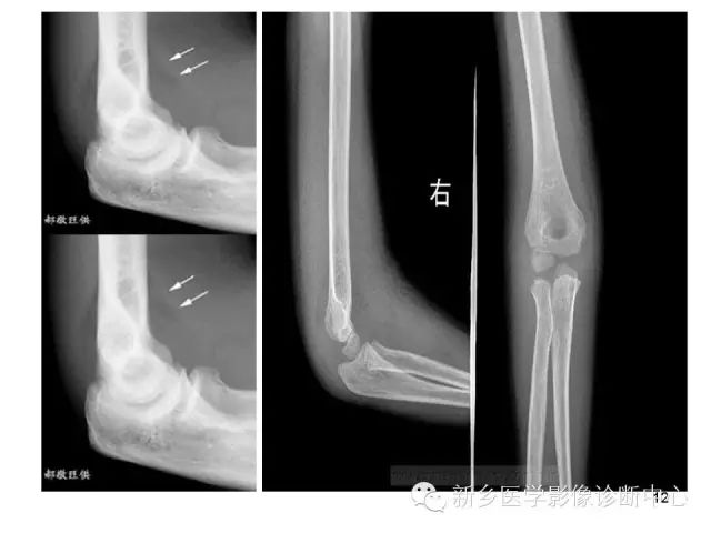
1.在标准的肘关节侧位片上,肱骨前缘可见一条形透亮影,这是正常附着在关节囊的脂肪组织。


2.而肱骨后缘的脂肪组织由于附着在髁间窝内而不可见。



肘关节外脂肪正常解剖:


正常肘部侧位片,肘关节囊前后都有脂肪组织,充填于鹰嘴窝、喙突窝和桡骨头窝内,侧位X线片掌侧见长条状低密度脂肪影,覆于骨皮质,下端至喙突窝的下缘,背侧脂肪影不能显示。


肘部骨折后,肘关节外脂肪影的改变,肘关节X线侧位片显示为:掌侧脂肪影改变有三种:


脂肪影变短、变宽呈三角形,下缘在喙突窝的上部;


脂肪影呈弧形条状,下缘离开喙突窝;


脂肪层模糊或消失。


背侧脂肪影正常不显示,如在X线片看到即属异常,也分为三种:


脂肪层细而薄,覆于肱骨远端背侧髁部皮质的外缘;


脂肪呈弧形,下缘离开骨皮质;


脂肪层呈块状或弧形条状,向后移位与背侧骨皮质完全分离。


肘关节外脂肪影改变机理:


正常鹰嘴窝脂肪在肘关节X线侧位片上不显影,当肘关节内有积液达5-10ml以上,可将脂肪组织推移并显影,称“鹰嘴窝脂肪垫显影移位征”。肘关节造影证实,关节囊内积液可使肘关节外脂肪推移,推移程度与积液量密切相关。关节囊内大量积液时,关节囊膨胀呈球状,屈肘90°摄侧位片,掌背侧脂肪影均离开骨皮质而呈“八字胡”样改变。伸肘时脂肪影与皮质靠近,说明肘关节处脂肪影改变完全受关节内液体移动所影响。

八字征(脂肪垫征):

骨折损伤周围组织,引起关节腔的积血。正常的脂肪组织向关节囊的外侧及上方移位,在平片上形成了八字征。



1.八字征在肘关节骨折的诊断中具有决定性的作用

2.通常八字征阴性而又存在骨折的情况是不存在的。

3.如果八字征阳性,却没能够发现骨折,考虑是否存在隐匿性骨折,同样需要按未移位骨折来固定处理。

4.肘关节X光片无骨折线,不能说“肘关节骨关节无异常”,脂肪垫征对小孩的损伤检查有帮助。


脂肪垫征见于髁上和侧髁骨折。

友情链接: