首页/口腔小技巧/下颌牙槽骨的解剖特点!/
下颌牙槽骨的解剖特点!
2023-01-28 17:09:012457浏览
下颌牙槽骨的解剖特点!

(一)下颌骨的组成

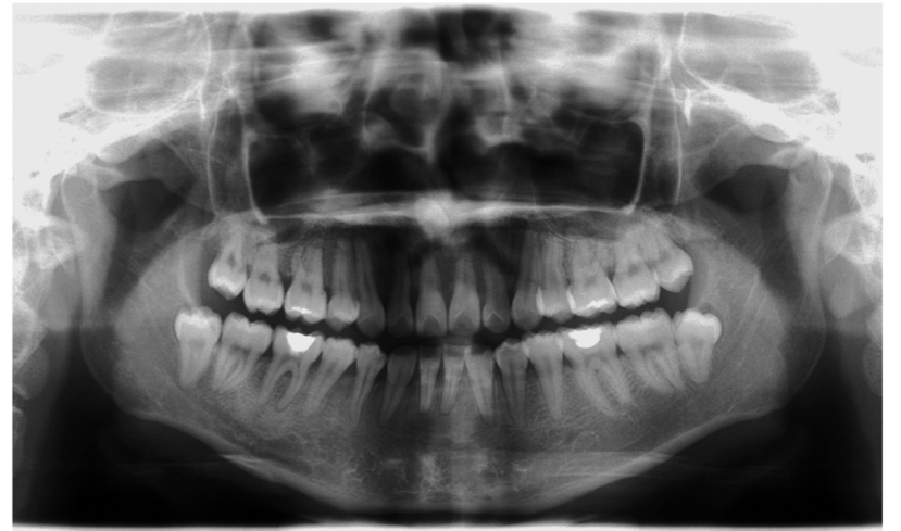
下颌骨由下颌体和下颌支两部分组成,呈马蹄形。下颌体分为内面、外面、牙槽突和下颌体下缘。

下颌支由喙突、髁突、内、外面四部分组成。下颌骨牙槽突的内侧骨板和外侧骨板都由骨密质构成,骨松质被内外侧骨板包绕其中(图1~3)。

图1 全景片全景片显示下颌骨的组成

图2 CBCT三维重建图示下颌骨呈蹄铁形,由下颌体和下颌支组成A.侧位图像;B.正位图像

图3正常下颌骨CBCT平扫图像(经前牙区)CBCT三轴联动图像,显示x、y、z三个方向图像在不同层面的变化。

可以任意移动不同颜色的线,从而引起相应轴面图像的变化

(二)下颌神经管的解剖特点

下颌管上端开口于下颌升支内面、下颌小舌处,在下颌支内斜向前行,在下颌体内几乎呈水平状向前走行,在第一、第二前磨牙或者第二前磨牙下方分为切牙神经管和颏管,然后经颏管开口于颏孔(图4)。

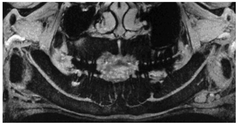
图4 MRI重建全景图像

显示的下牙槽神经管内神经走行分布,下牙槽神经行至回袢区分出细小分支继续前行,进入下颌切牙区

在全景片上可以见到神经管在第一、第二前磨牙之间向后上形成一个回袢样结构,开口于颏孔(图5)。

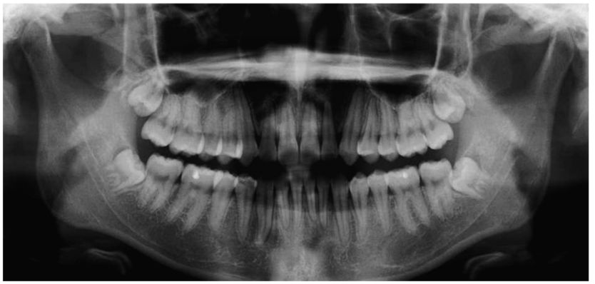
图5 全景片

全景片显示双侧下颌神经管走行到前磨牙下方之后向后上形成回袢

CBCT图像显示神经管在下颌体内经磨牙区和前磨牙区下方开口于颏孔。此段神经管内壁靠近下颌骨内侧硬骨板,其余三个方向都靠近骨松质,往前行,神经管向颊侧走行,开口于颏孔(图6、图7)。

图6 CBCT冠状位

CBCT冠状位图像(A~D)显示下牙槽神经管从下颌体从后向前走行,在后段靠近舌侧骨皮质,往前行时逐渐靠近颊侧,最后开口于颏孔

图7 CBCT下颌骨三维重建

下颌骨CBCT三维重建及神经管染色示下颌神经管从下颌升支进入后斜向下走行开口于颏孔

在行下颌种植手术时应特别注意下颌管的解剖位置,如果损伤下牙槽神经可以造成麻木;如果损伤血管则可能造成出血甚至引起口底血肿威胁生命安全。

友情链接: