首页/骨科小技巧/看到椎体真空裂隙征,应该想到Kummell病!/
看到椎体真空裂隙征,应该想到Kummell病!
2023-01-30 11:35:203565浏览
看到椎体真空裂隙征,应该想到Kummell病!

随着人口的老龄化,近几年Kummell 病的发病率不断升高,Kummell 病的危害在于它较高的致残率和死亡率。临床上,我们该如何诊断和治疗kummell病呢?在这里通过一个典型的病例来分析下。


脊柱与骨肿瘤二科病人,女,89岁,腰背疼,翻身时加重,邯郸市曲周县医院X光片显示,腰椎多发压缩性骨折;

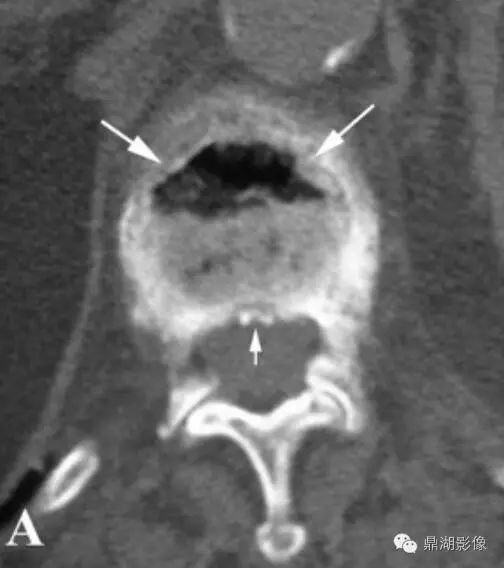
我院CT图像:

        腰椎多发压缩性骨折,骨质疏松,腰2椎体真空裂隙征;

腰椎MRI  T1图像:

T2WI:

T1WI增强扫描:

                             红箭显示环形肉芽组织强化,呈蛋壳样分布; 


Kummell病的定义(一种由创伤后迟发性无血管性坏死引发的椎体骨折伴骨不连)和来源(最早见于1895年由德国医生Kummell报道了6例由于微小损伤导致的椎体压缩性畸形,他归结为“椎体的营养受到破坏”)。


Kummell病的特点——与骨质疏松密切相关。有文献报道:椎体骨松性骨折(OVCFs)患者中骨不愈合率为13.5%,而这些骨折不愈合汇总椎体裂隙发生率为7-13%,并且随着年龄增长和骨质疏松的发生而逐渐增加。该疾病的病理生理过程还包括:椎体假关节形成、迟发性创伤后椎体骨坏死、椎体无血管坏死、椎体骨折不愈合、椎体裂隙以及缺血性椎体塌陷等。


Kummell病的危险因素——1)骨质疏松、中年男性、长期激素治疗、放疗和酗酒;2)伴有代谢性疾病;3)伴有动脉粥样硬化;4)骨髓小动脉脂肪聚集和栓塞;5)Schmorl结节形成;6)年轻人屈曲过度造成脊柱负荷量增加。


Kummell病的征象

CT:可以看到真空征,同时骨质表现出蛋壳样改变。
MRI:可以有效评估。根据研究发现,MRI 及病理可将 IVC 表现分四型:①液体型,T1WI 低信号、T2WI 散在高信号, 病理学上为广泛的椎体坏死及坏 死后骨吸收;②压缩型,椎体明显楔形变(前柱明显变扁而后 柱无明显变化),T1WI 低信号,T2WI 中等信号,病理上为椎体 坏死、骨髓纤维化、肉芽及反应性新生骨形成;③肉芽组织 型,T1WI 低信号、T2WI 中等信号, 信号分布较压缩型更广且 椎体后部受累及, 病理学为广泛肉芽组织形成;④混合型, MRI 及病理学为前述各型的混合表现。

Kummell病的诊断——1)目前还缺少诊断指南,通过排他诊断及影像学作出合理的判断;2)排除非创伤外造成椎体塌陷既坏死的原因(如肿瘤、感染、放疗、代谢异常及血管硬化等);3)影像学检查非常重要,“椎体裂隙”对于判断椎体压缩性骨折及骨坏死的敏感性高达85%,特异性99%,阳性预测率为91%。

真空裂隙征(IVC):是椎体缺血坏死的典型表现,前部较后部多见;IVC为渗液时,T1低信号,T2高信号,此征象称为液体征象,高度提示椎体缺血坏死,并可用于鉴别kummell与骨质疏松引起的压缩性骨折,IVC为气体时,MRI均为低信号。

1)Kummell病的发病机制和诊断标准尚存在争议,目前主要认为是椎体缺血性坏死造成,影像学检查中的特征性表现是诊断Kummell病的依据之一;

2)Kummell病疼痛症状反复发作,但保守治疗仍然是基础;

3)当伴有椎体压缩塌陷或脊柱后凸畸形时,需要通过手术治疗才能缓解疼痛,但是需要根据骨折的分型选择安全、有效的手术入路和方法。

扩展阅读:

Kümmell's disease(Kummell 病)病是指患者在经历无明显症状期的轻微外伤史后,数月至数年间出现症状复发、加重甚至脊柱后凸畸形的一种疾病。该病主要发生于骨质疏松的中老年患者,以男性稍多,青少年患者非常罕见。在该病的临床诊疗过程中,影像学检查十分重要,X线平片中的椎体内真空裂隙开口现象以及 MRI 检查中的双线征均可用来辅助诊断。

原来看见真空征似乎都报成了退变,以后需要各位注意注意啦。

女,76岁

Kümmell's病影像学多表现为迟发性的椎体塌陷和特征性的椎体内真空裂隙(intravertebral vacuum cleft,IVC)改变,由德国外科医生Herman Kummell于 1891 年首次报道。该病好发于骨质疏松的老年患者,影像学发现高达10%的骨质疏松性椎体骨折患者出现IVC改变。随着人口老龄化进展,此病发病率明显升高并显著降低了患者生活质量和预期寿命,引起学者的广泛重视以及深入的研究。

近年来有关Kümmell病的国内外研究报道不断增多,此病也被称为:创伤后迟发性椎体骨坏死 (delayed post-traumatic vertebral osteonecrosis)、椎体内假关节(intravertebral pseudarthrosis)、椎体内真空裂隙(intravertebral vacuum cleft)、迟发性椎体塌陷(delayed vertebral collapse)和椎体压缩性骨 折不愈合(nonunion of compression fracture)。


T2WI,双线征(线样高信号被低信号包绕)

Kummell 病是指患者曾有轻微脊柱外伤史,经历数月至数年无明显症状期后,再次因脊柱外伤或无明显外伤致症状复发,主要临床表 现为疼痛较前明显加重,以翻身起床、站立、行走 活动时为甚,并出现椎体塌陷及进行性的后凸畸形。Kümmelll病发病机制较复杂,众多学者提出不同的假说,目前比较认可的为椎体缺血性骨坏死假说和 椎体骨折后假关节形成假说,暂不十分明确,有待进一步研究。


治疗

对于无神经损伤症状的患者,可采用球囊扩张椎体后凸成形术;出现神经损伤症状和不稳定脊柱后凸畸形进行性加重的患者,应当选择前路或后路椎管减 压并应用器械和椎间融合器进行脊柱稳定性的重建。


目前关于 Kummell 病影像学表现尚存在争议,暂无统一的影像学诊断标准,IVC、开口现象、双线征为其重要的影像学表现,但均缺乏特异性。而放射性核素骨扫描、SPECT对病变性质不明确或考虑恶性情况时,具有较高的应用价值,在今后的研究中若能将放射性核素骨扫描、SPECT与常规影像学检查结合起来,或许对确立Kummell 病影像学诊断标准有很大的推动作用。

友情链接: