首页/骨科小技巧/这些都是骨骺裂,不是骨折!/
这些都是骨骺裂,不是骨折!
2023-01-30 12:13:291255浏览
这些都是骨骺裂,不是骨折!

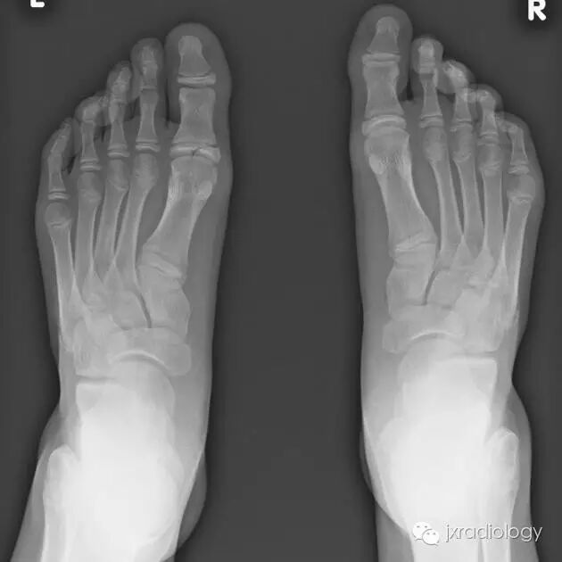
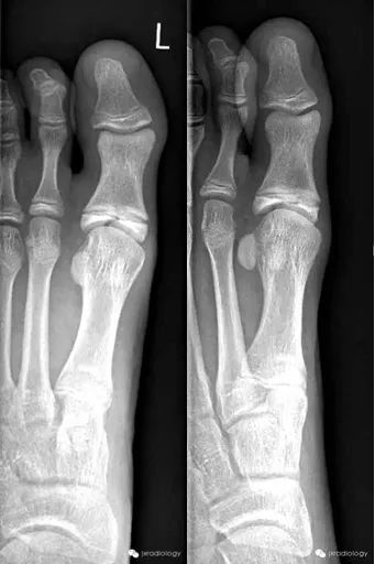
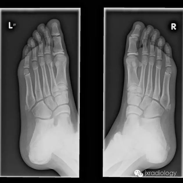
骨骺裂是一种正常变异。它可以是单侧或双侧,最常见的部位是足的第1趾近节趾骨的骨骺。

骨骺裂是骨骺的正常变体。它可以是单侧或双侧最常见的部位是足部第一近端指骨的骺前。

X线平片显示骨骺见透亮状裂隙影;透亮影的边缘是可变的,可能是锐利的或不规则的。骨骺裂可保留至生长板的融合。

射线照相特征

X线平片

X线平片将显示骨骺有透明缺损。透明度的边界是可变的,可能是尖锐的或不规则的。裂缝一直保持到生长板融合。

鉴别诊断:

骨骺裂必须和骨折鉴别。一般骨折损伤2-3周后复查平片可见愈合的迹象。识别这个现象是重要的,以避免过度治疗和不必要的手术干预。

鉴别诊断

骨骺裂必须与骨折相鉴别。通常,如果在受伤后 2-3 周重复 X 线检查,骨折就会显示出愈合迹象。识别该实体对于避免过度治疗和不必要的手术干预非常重要。骨骺裂意译为骨骺裂,结合临床病史及复查才能和骨折区分。

病例图片

骨骺裂

黄箭骨折;蓝箭是骨骺裂。留下轻微的外侧髁骨折。位移小于 2 毫米,可能很稳定。对一个不同的案例。倾斜的视图给人留下了断裂的良好印象。蓝色箭头表示桡骨骺裂(正常变异型)

友情链接: