首页/骨科小技巧/外伤病人看到“泪滴征”一定要想到骨折!/
外伤病人看到“泪滴征”一定要想到骨折!
2023-02-09 16:07:321009浏览
外伤病人看到“泪滴征”一定要想到骨折!


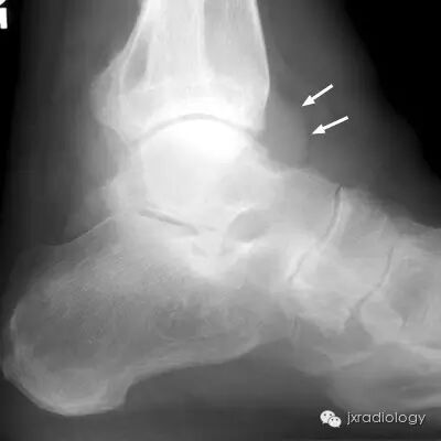
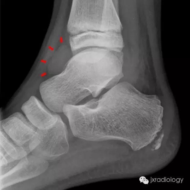
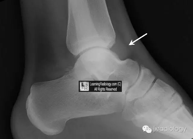
踝关节泪滴征(Teardrop Sign):踝关节积在侧位平片上的x线征象,正常踝关节关节囊前壁和后壁表现出脂肪样密度,当踝关节积液时,关节囊肿胀,并表现出液体样密度,呈泪滴样改变。

Causes
  • trauma             外伤
  • gout               痛风
  • rheumatoid arthritis    类风湿关节炎
  • synovitis           滑膜炎
  • infectious arthritis    感染性关节炎


Carke等报道:外伤病人踝关节肿胀>=13mm(d1+d2)预示骨折的阳性率为82%;进行进一步影像学检查的合理阈值。

Carke et al (2) reported that "An ankle effusion of 13 mm (d1 + d2) or greater in total capsular distension has a positive predictive value of 82% for occult fracture and is a reasonable threshold to prompt additional imaging."

友情链接: