首页/口腔种植/种植二期的时机如何选择?看看你做的对吗!/
种植二期的时机如何选择?看看你做的对吗!
2023-02-09 16:23:151507浏览
种植二期的时机如何选择?看看你做的对吗!

在种植体骨结合完成后,最终修复前,对于潜入式愈合或半潜入式愈合方式的种植体,需首先进行二期手术,进行软组织成形,使种植体周围形成稳定健康的袖口,为下一步取模修复奠定良好的软组织基础。那么如何进行二期手术的术前评估?判定是否达到了进行二期的基础呢?

足够的骨结合时间

常规种植体植入术后推荐骨结合的时间为3个月,种植体植入同期骨增量手术,推荐骨结合的时间至少为4~6个月,才能进行二期修复。

影像学评估

那么是不是所有的病例达到推荐的骨结合时间,都可以进行常规的二期修复呢?首先让我们看一个病例。

患者的15缺失,在一期种植手术时,对其进行了常规上颌窦提升,并同期植入了种植体。

术后4个月余,患者复查CBCT,医生在冠状面上观察到种植体周围骨维持良好,无炎症后,进行了二期手术和取模,结果在最终冠修复加紧扭力时,种植体出现了松动,那么是什么原因造成的呢?

该医生重新对其CBCT进行了分析,看到冠状面上种植体并无异常,但从矢状面及根尖片进行观察时,大家觉得有什么问题呢?从矢状面上看,发现种植体颈部周围骨质有明显的吸收。

该医生在二期前并未注意到这一现象,而是盲目地进行了二期并取模,最终加力时造成了种植体的松动。随后,医生将松动种植体取出,并在去除种植窝内肉芽组织后,重新备洞,植入了直径更大的种植体,以获得良好的初期稳定性。

通过上面的病例,我们可以得到这样的教训,种植体骨结合是否完成,除了足够的等待时间外,影像学表现也是其中一个很重要的评价指标。那么,遇到类似情况,我们应该怎么处理呢?让我们再看一个病例。

患者的36、46种植术后5个月复查,医生对其进行了CBCT检查,结果显示36和46种植体颊舌向周围骨质良好。

但其近远中向周围骨质都有较多吸收。面临这样的情况,如果盲目进行常规二期取模,不处理种植体周围骨吸收,则可能出现如第一个病例中所发生的种植体松动,进而造成种植修复失败。

所以,当影像学检查显示种植体周围存在骨吸收,BOP(+)时,应在完善了牙周基础治疗后,对其进行再生性手术治疗,即对术区进行翻瓣,激光彻底去除种植体周软组织,填入骨粉,恢复种植体周围骨量。

那么再生性手术治疗后效果如何呢?通过比较再生性手术治疗后即刻CBCT与术后6个月CBCT,可以发现36和46种植体周围暗影消失。

再生性手术术后7个月完成最终修复,再生性手术术后18个月,种植体周围软硬组织稳定。

由此可见,二期前对种植术区进行影像学检查,评估种植体周硬组织状态不可或缺。那么,二期手术前影像学评估的方式有哪些呢?众所周知,目前种植常用的影像学评估主要有根尖片、全口牙位曲面体层片、CBCT(锥形束CT)三种方式,但什么情况下该使用哪种方式,有没有一个客观的标准呢?

1.术后及二期术前我们采用根尖片复查

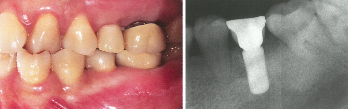
适用情况:我们来看一个病例,患者36缺失,术前分析术区骨宽度及管峭距足够,术中常规植入种植体,植入位点理想,对于这种已经明确了患者植体的三维位置信息,且种植体周围骨量充足,无骨增量的情况。术前CBCT显示36骨宽度及管距足够约12mm,术中常规植入种植体,三维位置良好缝合。

术后即刻,种植体位置良好,术后3个月,种植体周围无明显骨质吸收,戴牙后,种植体周围骨量维持良好。

2.术后及二期术前采用曲面断层片复查

患者重度牙周炎,口内多颗牙缺失,余留牙有不同程度松动且无法保留。术中拔除口内松动余留牙,上下颌各植入6颗种植体后即刻负重。这种口内多颗种植体植入,且术中无特殊骨增量的情况,我们在术后及二期前采用全口牙位曲面断层片复查,可整体观察种植体的分布及位置关系。

3.术后及二期术前采用CBCT复查

患者双侧上颌后牙游离缺失,窦峭距最低处不足2mm,术中上颌窦提升,同时植入种植体,这种上颌窦内或种植体周围进行大量骨增量的情况,术后及二期术前复查,我们采用CBCT复查,可三维分析种植体位置及种植体周围骨的情况。

友情链接: