首页/骨科小技巧/有趣的“椎体扇贝征”!/
有趣的“椎体扇贝征”!
2023-02-12 16:34:252010浏览
有趣的“椎体扇贝征”!

椎体后缘扇贝压迹征为脊柱侧位X线中,一个或多个椎体后缘呈扇贝样凹陷改变;椎体后缘生理情况下可见轻度凹陷改变,但单发或多发的扇贝样压迹主要见于椎管内病变向前压迫累及或椎体本身骨质异常。

典型图

脊柱MRI提示椎管内占位及相应水平椎体后缘扇贝样压迹(白箭)


影像学表现

椎体后缘扇贝压迹征为脊柱侧位X线中,一个或多个椎体后缘呈扇贝样凹陷改变。


临床意义

椎体后缘生理情况下可见轻度凹陷改变,但单发或多发的扇贝样压迹主要见于椎管内病变向前压迫累及或椎体本身骨质异常。


单发的扇贝样压迹最常见的原因为椎管内肿瘤引起椎管内压力增高,局部 向前压迫椎体后缘所致,如室管膜瘤、神经鞘瘤。


多发扇贝样压迹的原因包括椎管内多发占位(神经纤维瘤病)、交通性脑积水引起的椎管内压力增高、脊膜膨出以及软骨发育不全。


神经纤维瘤病所致的压迹常累及数个椎体,程度不一。交通性脑积水和脊膜膨出引起的压迹为多椎体累及,以腰椎多见。


举例:


NF1患者脊柱在形态学上的异常主要包括椎体楔形变、椎体扇贝样改变(图6)、椎弓根狭窄(图7)、椎弓根间距增宽、横突纺锤形改变以及椎管扩大等。以上征象很少单独出现,往往合并存在。

图. 男性,14岁,X线下典型的椎体扇贝样改变

图. 男性,7岁,NF1伴脊柱侧凸;X线示腰椎侧凸畸形(a), CT示椎体及椎板椎弓根破坏,椎管扩大(b、c);MRI示椎管扩张,椎旁肿瘤(c、d);CT横断面示椎弓根发育不良,椎体边缘破坏(e)


软骨发育不全患者可见典型的椎小关节狭窄、椎弓根短小和骨性椎管狭窄,其椎体后缘压迹为继发于椎管狭窄的代偿性改变。

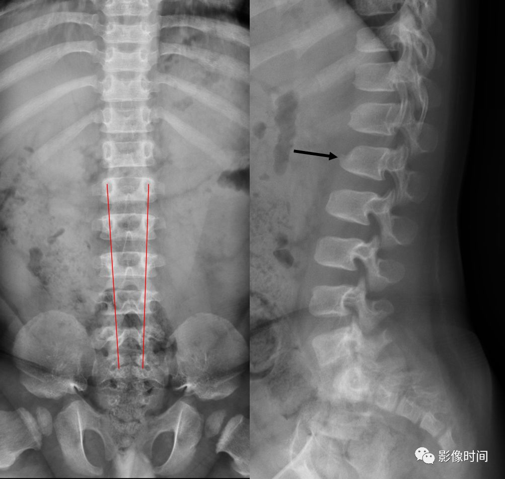
典型病例

病例 1,5 月男孩,软骨发育不全。脊柱侧位片课件胸腰段后凸,部分椎体呈子弹形(黑箭)。


病例 2,2 岁男孩,软骨发育不全。腰椎侧位片可见椎体呈子弹形(黑箭),另外还可以见到椎体后缘扇贝样凹陷,正位片课件典型的腰椎弓根间距逐渐缩小(红线)。

扩展阅读:

【概述】

脊柱裂为骨性椎工的先天性缺陷,如不连或缺如;

多发生于腰骶部,偶见于颈胸段。

分为隐性脊柱裂(任何年龄,女性多见)、脊膜和/或脊髓膨出(婴儿多见);预后良好。

【病因】

遗传因素

环境因素:孕妇接触放射学、激素、缺氧;孕妇缺乏维生素、叶酸

【病理】

胚胎期神经管闭合时中胚叶发育障碍至椎管闭合不全,可伴有与神经管同期发育的神经系统、胃肠道、泌尿生殖系统发育异常。

分型:

(1)隐性脊柱裂:神经管几周围组织已闭合,椎弓存在裂隙,由纤维组织、软骨组织连接,无脊膜或神经组织膨出。

(2)脊膜膨出:神经管闭合,脊髓正常,周围组织闭合不全,脊膜从不连接处膨出,形成囊肿样改变,其内包含脑脊液。   

(3)脊髓脊膜膨出:神经管闭合,椎弓存在裂隙,脊膜、脊髓/神经根膨出,囊内除脑脊液外还含有脊髓/神经根。

【临床表现】

 (1)隐性脊柱裂:多数无症状;可伴腰骶部皮肤色素沉着、皮肤局部凹陷、局部毛发生长或合并脂肪瘤;可有腰痛、轻度小便失禁和遗尿。

 (2)脊膜膨出/脊髓脊膜膨出:背部正中囊性肿物,有压痛,透光试验阳性,挤压肿物前囟有冲击感;可合并脂肪瘤血管瘤,皮毛窦;常合并神经功能障碍或横断性截瘫;常有下垂内翻足及高弓足等畸形

【影像表现】 

X线:棘突、椎板缺损


  CT:棘突、椎板缺损;脊膜膨出:缺损处见囊性肿块;脊髓脊膜膨出:囊性肿块内含脊髓;可并发脂肪瘤

 

  MR:脊膜膨出:囊性肿块,与鞘膜囊想通;


脊髓脊膜膨出:囊性肿块内见脊髓或神经;

合并脊髓空洞,椎管脂肪瘤,脊髓低位,脊髓栓系,终丝粘连


【鉴别诊断】
(1)骶尾部畸胎瘤:肿物内常有实质性组织,为分化或未分化的实质性组织。如骨骼、牙齿软骨等。肿物界限清楚囊性畸胎瘤透光试验阳性因与椎管不相通所以压迫肿物时囟门无冲击感。直肠指诊时可触到骶前肿物。B超检查肿物为囊实性,X线摄片显示无腰骶椎骨质缺损。

(2)脂肪瘤:脂肪瘤柔软表面皮肤虽高起,但正常界限清楚,常呈分叶状,透光试验阴,与椎管不相通穿刺抽不出脑脊液但脊柱裂常合并该部位的皮下脂肪瘤更应注意的是与脂肪脊髓脊膜膨出型的鉴别。

(3)皮样囊肿 囊肿由结缔组织构成,内含皮脂腺汗腺毛发等。囊肿较小与皮肤紧密相连可以移动为实质感。透光试验阴性。与椎管不相通压迫时囟门没有冲动感。

友情链接: