首页/牙体牙髓/根管填充你真的做对了吗?看看这篇文章!/
根管填充你真的做对了吗?看看这篇文章!
2023-02-12 16:38:252264浏览
根管填充你真的做对了吗?看看这篇文章!

1根管充填的步骤

1. 主牙胶尖的确认由于器械磨损或生产误差影响,主牙胶尖与实际型号可能存在一定偏差,需要进行测量确认。 

( 1 )通过带有孔径的量尺选择主牙胶尖。

①器械的选择:选择器械作为中锉,插入量尺孔中。器械正好插入小孔,下面刚刚能够触到,该小孔为器械合适直径的小孔。

②牙胶尖的选择:选用稍微细点的牙胶尖插入,孔背面切平,获得的牙胶尖端直径和中锉直径一致。

( 2 )牙胶直径合适后确认长度,获得主牙胶,然后选择主牙胶尖。

主牙胶尖插不进去表明主牙胶尖有些粗;插到外面去表明主牙胶尖有些细。通过反复筛选,选择刚好可以卡在里面的牙胶尖,完成主牙胶尖的确认。

ISO 标准 20 号牙胶尖,黄颜色。图中从左向右依次为 02 、 04 、 06 锥度。

ISO 标准 25 号牙胶尖,红颜色,尖端直径为 0.25mm 。图中从左向右依次为 02 、 04 、 06 锥度。

ISO 标准 30号牙胶尖,蓝颜色。图中从左向右依次为 02 、04 、06 锥度。

2. 糊剂的导入

选好牙胶尖后开始根管充填,侧方加压术中可使用螺旋充填器导入糊剂。不要把螺旋充填器一直放在根尖狭窄部位置,避免糊剂超填,造成治疗失败。

螺旋充填器正确的使用步骤:螺旋充填器固定在距根尖孔 4-5mm 位置,进行旋转输送。然后用牙胶尖或光环 C 针做全长轻轻提拉,再使用螺旋充填器进行输送,保证根尖下端的填充。

3. 主牙胶尖的插入

主牙胶尖应提拉插入,以避免超填。主牙胶尖常选择 02 锥度主牙胶尖,有下面几个优点:( 1 )能够很好地到达根尖狭窄部( 2 )侧方加压时有较大空间,封闭型好

4. 辅牙胶尖的插入

主牙胶尖插后选择侧方加压器进行侧方加压根管充填。

( 1 )侧方加压器的选择术前应选择好,直径为到达距根尖狭窄部2 -3mm 位置,避免将主牙胶尖挤压出根尖狭窄部。

( 2 )操作加压时冲牙胶位置挤压,拿出侧方加压器后立即插入辅牙胶尖。

金属器械取出时牙胶尖有回弹,如果辅牙胶尖放置时间过长,不能到达侧方加压位置,可能造成中间空隙。可在牙胶尖上蘸一些糊剂送入。关键是迅速插入辅牙胶尖。

5. 致密加压

插入辅牙胶尖后,去除多余牙胶,使用垂直加压器垂直致密加压。操作:进行完根管充填、牙胶放好后,使用垂直加压器,从根管口向根管方向垂直加压,压入 1-2mm 。优点 :封闭冠,预防牙冠方的的细菌感染。

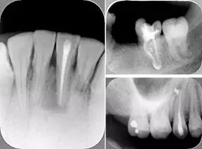
6. 术后 X 线片

术后 X 线片用来评定根管充填 长度、致密度(管壁清晰、侧枝)等指标。

左图为根管充填术后 X 线片。图中可见,根管充填较好。右下图有白色小点,为侧方加压导致糊剂挤出所致,表明根管充填比较致密。致密、恰到好处的充填可去除干净根管里感染灶,机体逐渐恢复。

多根牙时候需进行偏移投照,正位投照无法说明具体哪根牙根管充填效果。      

2根管填充注意事项

1. 尽量不破坏根尖狭窄部

保持根尖狭窄部 0.20mm 最小直径,有利于术后的的愈合。如果存在慢性根尖炎,需要破坏根尖狭窄部清楚细菌,然后进行根部狭窄部再造。

2. EDTA

无机物溶解剂 EDTA 会造成根管壁的软化,因此不能用于根管不通的疏通。EDTA 可用于根管可通不畅时, EDTA 软化根管壁,利于切削成形。

3. 根管预备工具

扩孔钻价格低廉,使用比较普遍。扩孔钻比较坚硬,使用时易造成原始根管偏移,形成的根管不够平滑。镊钛锉价格相对较为昂贵。镊钛锉常见问题有丢失工作长度、偏离正常的解剖形态和不适当的根管预备。本节主要介绍丢失工作长度。

友情链接: