首页/牙体牙髓/根管糊剂进入下颌管?到底怎么回事!/
根管糊剂进入下颌管?到底怎么回事!
2023-02-15 15:36:27824浏览
根管糊剂进入下颌管?到底怎么回事!

患者男,60岁,以“左下后牙咬物后劈裂1周”为主诉就诊。

患者分别于10年前和5年前在外院行左下后牙治疗,1周前发现5年前治疗的牙齿咬物后劈裂。

患者既往身体健康,否认药物过敏史。

临床检查:36大面积缺损,牙体缺损至龈下2~3mm,根管口可见牙胶样材料,黏膜未见红肿及窦道;37冠修复,叩诊无不适,根尖部无牙龈红肿,扪诊无不适,左侧下唇无麻木不适;12缺失;11、14-16、21-27、31-35、41-47冠修复。

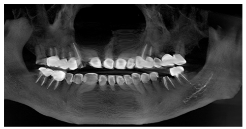
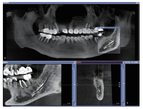
影像学检查:CBCT矢状面、冠状面示37根充糊剂进入下颌管患者。

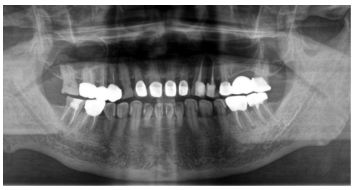
初诊时带来的5年前曲面体层片,如下图。

可见37冠部修复,根管内有高密度充填物影像,远中根管充填物沿伸至根尖周并进入左下颌管内,下颌管内有条状高密度影(近中至36远中根下颌管处,远中至下颌升支1/3处);初诊锥形束CT(CBCT)显示37根管内见高密度充填物影像,根尖周未见密度减低影,疑似大量充填糊剂沿37远中根进入下颌管内,并包绕于管壁。较5年前曲面体层片无明显变化。

CBCT示37根充糊剂进入下颌管

CBCT矢状面、冠状面示37根充糊剂进入下颌管

诊断:36残根;牙列缺损;37根管治疗后根管充填物超填;下颌管异物。追问病史,患者10年前于外院行37根管治疗,治疗后曾出现短暂左侧面颊部疼痛不适,未出现下唇麻木,后再无不适。经查询病历记录,37治疗时以氢氧化钙诊间封药,AHPlus糊剂和牙胶尖冷侧压充填根管。治疗计划:36拔除后修复治疗;37暂观察,不做处置,建议定期复查。

讨论

由于下颌磨牙根尖与下颌管解剖位置邻近,根管充填过程中充填材料溢出引起下牙槽神经损伤最为常见。与相对可控制根管充填长度的冷侧压技术比较而言,热牙胶垂直加压技术更容易出现根管充填材料溢出和神经损伤

本病例虽然采用的是冷侧压技术,但仍有大量根管充填材料外溢。其原因主要考虑是在根管预备过程中,工作长度掌握不准确,导致根尖孔严重破坏,再加上充填时过分加压使得大量根管充填材料进入下颌管。因此,在根管充填过程中既要防止超充,又要严密封闭根尖孔。CBCT研究表明,在下颌磨牙中,除第三磨牙外,下颌第二磨牙最为接近下颌管,甚至约20.8%的下颌第二磨牙根尖与下颌管是直接接触的。

本病例中大量根管充填材料也是经左下颌第二磨牙根尖被挤压进入到下颌管内。如果使用CBCT扫描、重建多平面图像进行术前评估,就可以三维清晰地展示解剖结构之间的关系,降低根管治疗过程中损伤下牙槽神经的风险。

有报道糊剂溢出挤压下牙槽神经常会导致唇部、牙齿等部位出现麻木、感觉异常或感觉过敏等症状。但本例患者神经损伤症状并不严重,CBCT影像也显示溢出材料主要沿神经管壁分布,当损伤仅限于神经外膜时,症状就可能不明显。根管充填材料都具有细胞毒性,溢出后会造成神经损伤;但相比于其他种类的糊剂,本病例中使用的AHPlus根充糊剂细胞毒性较弱,存在于神经外膜外的糊剂尚未损伤下牙槽神经纤维。此外,本例患者治疗过的患牙数目较多且时间较长,治疗后曾出现短暂左侧面颊部疼痛不适,只是未造成明显的持续性下牙槽神经损伤,但仍建议患者定期观察。

友情链接: