首页/口腔小技巧/牙齿粘结修复易出现的问题!/
牙齿粘结修复易出现的问题!
2023-02-12 16:47:12856浏览
牙齿粘结修复易出现的问题!

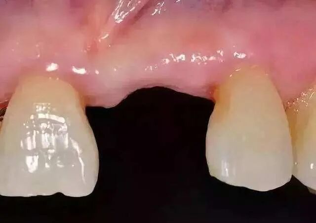
(一)桥体与基牙粘结面折裂

首先应查明折裂原因和折裂界面。凡折裂松动者原则上应拆除重做。但有些前牙直接粘结桥,基牙稳固又不承受牙合力,偶然咬硬物致一侧粘结面折裂,可进行局部修理。

(二)基牙冷热过敏

这种情况多发生在牙龈退缩、牙根颈暴露的患者,由于牙体在酸蚀处理时酸液流浸根颈部所致。因此在酸蚀处理时应避免酸液流向根颈部。

一旦发生过敏,可在根颈部涂一薄层釉质或牙本质粘结剂,或给予脱敏漱口液。若不处理,轻者1~2周,重者1~2个月症状可自行消失。

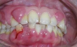
(三)龈炎

引起龈炎的原因可能是粘结剂覆盖于牙龈上或进入龈沟内,或者因设计不当致桥体龈底部压迫牙龈或不密合。

对于前者应认真检查,去除覆盖于龈上的多余复合树脂,并局部用药,对于不密合的要重做。

(四)基牙继发性龋

引起基牙继发性龋的原因多系粘结桥局部折裂但未脱落,尤其是复合树脂置于基牙倒凹区牙颈部或采用基牙邻面制洞用钢丝加强者。凡发现继发龋者,应拆除粘结桥进行治疗。

(五)桥体唇面磨损或缺损桥体唇面磨损多因采用硬毛牙刷刷牙所致,预防办法是采用软毛牙刷和正确的刷牙方法。一旦发生磨损,可按贴面修复方法处理。

至于桥体局部缺损,往往由于金属翼板粘结桥的桥体的金属舌面背较短,牙合力直接作用于切端的复合树脂或塑料所致。

(六)金属翼板脱粘

金属翼板脱粘的主要原因为金属翼板无固位形,粘结材料粘结力不足,被粘结物粘结面处理未达到要求。

因粘结材料粘结力不足以支持粘结桥,所以要设计一定的固位形。其次要选择刚性好的金属材料。一旦发生脱粘,多数应予重做。

友情链接: