首页/骨科小技巧/胸椎椎弓根螺钉穿透主动脉!/
胸椎椎弓根螺钉穿透主动脉!
2023-03-14 16:06:30921浏览
胸椎椎弓根螺钉穿透主动脉!

一名25岁女性,患有Prader-Willi综合征、继发于高催乳素血症的骨质减少 ( 骨密度z值= –2.3)以及青少年特发性脊柱侧弯(AIS)病史。她在13岁时因AIS接受了T1至S1的后路椎弓根钉固定融合、T12-L5椎板切除、T12-S1椎间融合器植入术。

19岁时(6年前)因肠梗阻住院期间,腹部CT偶然发现右T12椎弓根螺钉穿过T12椎骨皮质前主动脉旁位置。随后的超声引导主动脉造影显示右侧T12螺钉位于主动脉管腔内。主动脉造影并发右髂股动脉闭塞和急性右肢缺血,为此她接受了血栓取除术和牛补片血管成形术,并获得了痊愈。曾在该次术前讨论了即刻螺钉取出和主动脉修复方案,然而患者及其家人要求采用常规影像学监测的方法保守观察。在门诊血管手术的年度随访中,CT血管造影显示右侧T12椎弓根螺钉定位稳定,没有不利的主动脉重构,患者仍然没有临床症状。

25岁时她回到诊所复查,当时她没有任何症状,否认存在背痛、腹痛、麻木、无力或步态障碍。检查时,她双侧上肢和下肢的力量和感觉完全正常。下肢血管检查显示双侧足背肌和胫后脉搏正常。站立的全脊柱X光片显示内固定无松动断裂或近端交界区后凸畸形。可观察到残余的胸腰段脊柱侧弯伴有凸起的右侧胸廓曲线和代偿性左下骨盆倾斜(图 1)。CT扫描可观察到右侧T12椎弓根螺钉尖端超出T12椎体皮质前缘5mm,进入右后外侧主动脉壁,没有血肿或假性动脉瘤的证据(图 2 )。尽管主动脉内的椎弓根螺钉尖端在临床上仍无症状,且在影像学上没有进展,但患者和她的家人选择继续进行手术干预以防止将来可能出现的并发症。

图1 修复手术前获得的前后位(左)和侧位(右)脊柱侧弯X光片。

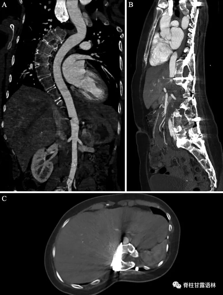
图2 通过T12椎体平面的冠状 ( A )、矢状 ( B ) 和轴向 ( C) 的CT血管造影显示右侧T12椎弓根螺钉向椎体前缘穿出。

手术以仰卧位进行,采用脐上中线入路以暴露腹腔上主动脉。术中血管内超声证实腔内椎弓根螺钉穿入腹主动脉右侧。将腹腔上主动脉和腹腔下主动脉短暂夹闭,将T12椎弓根螺钉尖端从主动脉后外侧壁分离。主动脉壁后外侧破口用4-0 Prolene(Ethicon/Johnson & Johnson)缝线间断缝合,在2分钟的夹闭时间后血流恢复。完成主动脉吻合后,用小角度刮匙去除右侧T12椎弓根螺钉尖端周围软组织充分暴露螺钉穿出椎体的部分,并在T12前表面涂上凝胶以防可能产生的金属碎片散落,使用硬质合金磨钻切削去除椎体前突出的螺钉尖端,直到螺钉前端与椎体平齐(图3)。

图3 术中椎弓根螺钉暴露和修复。手术顺序:暴露右侧T12椎弓根螺钉尖端 ( A ),磨钻磨除螺钉尖端直到与椎体前缘表面齐平 ( B ),牛心包补片环绕主动脉吻合 ( C )。

术后患者恢复良好,身体状况稳定,神经功能完好,没有发生轻微或严重的并发症,她在术后第2天出院回家。术后6个月,CT血管造影显示修复后的右侧T12椎弓根螺钉终止于主动脉壁近端5毫米处,无主动脉动脉瘤,无吻合部位造影剂外渗。术后2年随访时患者仍无症状,否认存在任何疼痛或神经系统症状。

友情链接: