首页/牙体牙髓/图文结合:根尖周炎的分类和特点!/
图文结合:根尖周炎的分类和特点!
2023-03-23 14:35:525443浏览
图文结合:根尖周炎的分类和特点!

牙根尖周组织的急性或慢性炎症称为根尖周炎。

  • 牙髓炎发展到晚期,牙髓组织大部或全部坏死时,可引起细菌感染,进而根尖周组织发炎;
  • 牙齿受到急剧的外力撞击时,根尖周组织也受到猛烈的创伤而造成根尖周炎;
  • 治疗过程中医源性感染也可引起根尖周炎。

正常的根尖周组织(NPT normal periapical tissues)根尖周组织正常的牙齿对叩诊或触诊不敏感,牙髓电活力测试反应正常。放射学检查牙根周围的硬骨板正常,根周膜间隙均匀。

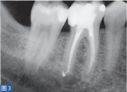
症状性根尖周炎(SAP symptomatic apical periodontitis)从牙髓炎过渡到根尖周炎(图2和3)的发生速度非常快,牙齿表现可能从正常到对冷、热和电刺激的反应越来越强。当牙髓已经完全坏死时,通常会显示对牙髓电活力测试无反应。牙齿可能会有伸长感,用手指或口镜柄施加压力或者振动牙齿会触发非常严重的疼痛。放射学检查可能存在透射区及根周膜间隙增宽,通常硬骨板和牙周韧带没有病理学特征。

图2:46 牙齿SAP。术前X 线片,该牙齿在其他医生处已行龋齿治疗。患者诉牙齿有明显的咬合痛以及强烈的冷热刺激敏感症状。放射学检查,近中根根周膜间隙略增宽。

图3:46 牙齿SAP。根管治疗6个月后。

无症状性根尖周炎( AAP asymptomatic apical periodontitis)牙齿无症状的根尖周炎(图4 和5)是由牙髓坏死引起的,并且通常是在症状性根尖周炎之后发生。因此,对冷、热刺激和牙髓电活力测试无反应。叩诊无或者引起轻微的疼痛。如果骨皮质已经发生改变并且涉及到口腔软组织,则触诊可引起轻微不适。放射学检查,可能出现硬骨板不连续(破坏)以及根尖周和牙间组织的广泛性破坏。

图4:31 牙齿AAP。术前X线片。患者诉叩诊和触诊时有轻微疼痛。

图5:31 牙齿AAP。根管再治疗12 个月后。

致密性骨炎(CO condensing osteitis)致密性骨炎(图6 和7)是AAP 的一个变种。造成致密性骨炎的原因是,根尖周组织受到长期的持续性刺激。临床检查时,对敏感测试、叩诊和触诊可能有反应,也可能无反应。放射学检查,牙齿的根尖周围存在弥漫性的致密阻射影像。

图6:36 牙齿CO。术前X 线片。患者因牙齿36 充填物脱落而前来就诊。X 线片显示远中根的根尖区有白色阻射影像。近中根的根尖区显示在白色阻射区内有透射影像。

图7:36 牙齿CO。根管再治疗12 个月后。

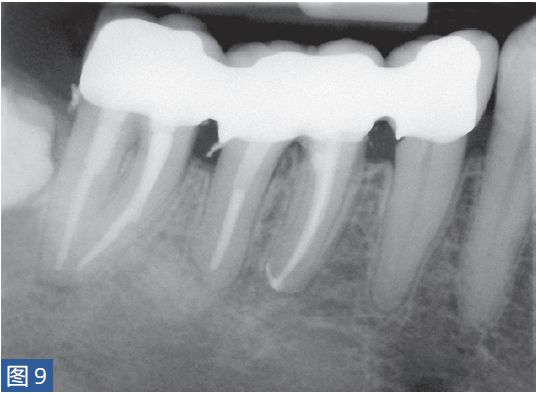
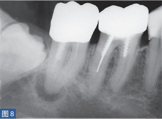
急性根尖周脓肿(AAA acute apical abscess)急性根尖脓肿(图8 和9)是一种局部的或者弥漫性的液性病变。由坏死牙髓产生的微生物和非微生物刺激所引起的严重炎症反应造成了根尖周组织的破坏。患者通常表现出中度至重度疼痛,根据严重程度还可能出现发热和白细胞增多的全身症状。临床诊断显示牙髓电活力测试结果阴性。叩诊和触诊通常会引起疼痛。如果脓肿仅限于骨内,则不出现肿胀症状。放射学检查,根尖周组织表现从无变化到发生明显变化。

图8:47 牙齿AAA。术前X 线片。患者就诊时有发烧症状,且叩诊和触诊疼痛明显。

图9:47 牙齿AAA。根管治疗后。患者在其家庭牙医处做临时义齿修复12 个月后的检查。

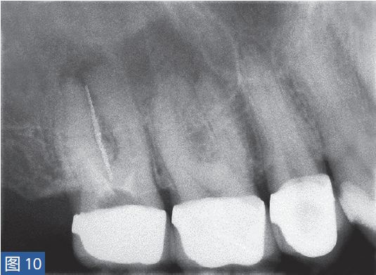
慢性根尖周脓肿(CAA chronic apical abscess)慢性根尖周脓肿(图10和11)是由长期持续的炎症引起的。脓液穿通骨和口腔黏膜,并通过口腔黏膜或上皮的瘘管流出。这些通到表皮的瘘管通常可能作为皮肤损伤而被错误处置。此外,瘘管也可能存在于牙周并通过龈沟引流。瘘管可以部分或完全地被上皮所包绕,这些上皮又被炎性结缔组织包围。临床诊断显示牙髓电活力测试结果为阴性。除非瘘管闭合,否则叩诊和触诊通常都不会引起疼痛。放射学检查,根尖周组织表现从无变化到发生明显变化。

图10:17 牙齿CAA。术前放射学检查,利用牙胶尖显示瘘管。患者因17 牙齿局部瘘管而前来就诊,诉无特殊临床症状。

图11:17 牙齿CAA。根管治疗12 个月后。

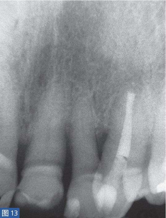
根尖周囊肿伴无症状性根尖周炎(AAP)根尖周囊肿(图12 和13)总是与无症状的根尖周炎相关。目前普遍认为,通过上皮残留细胞的炎性增殖形成了根尖周囊肿。在组织学上,它们分为袋囊肿和根尖周真性囊肿。通常认为,袋囊肿可以通过单纯的根管治疗而非手术方式,即通过细胞凋亡和程序性细胞死亡达到愈合。这种方式在真性囊肿似乎不太可能实现。

图12:23 牙齿根尖周囊肿 。非手术治疗,采取单纯的根管治疗后的X 线片检查。因未愈合而决定采取手术治疗。

图13:手术性根管治疗一年后的对照X 线片显示根尖病灶已愈合。对搔刮出的组织进行组织病理学检查显示为真性根尖周囊肿。

友情链接: