首页/骨科小技巧/“踩棉花感”原来是这里骨化!惊呆了/
“踩棉花感”原来是这里骨化!惊呆了
2023-03-24 11:20:51953浏览
“踩棉花感”原来是这里骨化!惊呆了

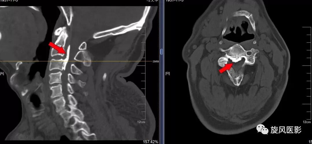
患者,男,71岁,颈肩部疼痛,手脚麻木,走路发飘,有踩棉花感。前段时间不慎摔倒,额头着地后感到颈部以下躯体麻木,不能活动;数分钟后四肢活动恢复但仍感双上肢麻木,力量不足。经过详细检查:该患者确诊为颈髓损伤、颈椎后纵韧带骨化、颈椎管狭窄。

正常的颈椎椎管前后径≥12mm,因骨化的后纵韧带压迫,该患者椎管前后径最窄的地方仅剩4mm,脊髓受到严重压迫。

该患者行颈椎椎弓根螺钉内固定和椎管扩大成形术,解除了脊髓的压迫,疏通了椎管的阻塞。


术后复查,椎管容积较术前明显增大,该患者手脚麻木的感觉也明显好转。

友情链接: