首页/运动医学/半月板损伤MR诊断的陷阱,一定要引起注意!/
半月板损伤MR诊断的陷阱,一定要引起注意!
2023-04-03 17:25:304566浏览
半月板损伤MR诊断的陷阱,一定要引起注意!

半月板损伤是临床上的常见疾病,MR是诊断半月板损伤最为常用的辅助检查手段,但MR对半月板损伤的诊断敏感性、特异性和准确性也仅为85%-90%,其中阅片中的有些陷阱容易造成我们误诊影响准确率,通过MR阅片-关节镜手术中的探查-MR再阅片会明显提高我们的诊断准确率,也能够避免跳进陷阱,毕竟关节镜是诊断半月板损伤的金标准。

一、半月板损伤MR诊断的思路1、单纯就半月板改变诊断半月板损伤半月板信号(3级信号)及形态的异常是诊断半月板损伤最为直接的征象,当我们在阅片当中发现这些征象,一般情况下都能够确诊半月板损伤,下面这张MR,我们发现外侧半月板后角出现3级信号,所以能够确定其半月板损伤。

2、从发病机制诊断半月板损伤并不是每个病人都能够这么清晰的显示半月板的信号改变,同样这张MR,我们发现患者出现明显的对吻征,対吻征是诊断ACL损伤的重要体征,说明病人受伤的同时膝关节扭转严重,甚至出现轴移,这种情况下(损伤/发病机制)外侧半月板后根极其容易受伤,我们再认真的阅看其他截面,就很容易找到半月板损伤的佐证。

3、从邻近病变诊断半月板损伤城门失火、殃及鱼池,孤立性的损伤/疾病都是不多见的,我们可以通过半月板邻近的改变来反推是否有半月板损伤,下面这张MR我们看见外侧半月板前角有一个较大的囊肿,而半月板囊肿的起因一般都是半月板损伤,所以也很容易做出诊断。

二、半月板损伤MR诊断的陷阱1:裙边样半月板(1)正常半月板的裙边正常半月板体部的游离缘有时候可以“变形”呈“裙边样或荷叶边样”,MR以及关节镜手术中都能够见到,特别是内侧,可能与内侧半月板游离缘更菲薄,而滑膜缘又被半月板胫骨韧带牢靠固定有关,这种改变可以通过改变膝关节的屈伸状态而消失。

有时候我们在MR上看见内侧半月板信号正常,半月板体部呈单裙边改变,周围软骨正常。

有时候半月板体部呈双裙边改变,周围软骨正常,以上这样的情况半月板都是正常的,不是损伤。

(2)退变撕裂半月板的裙边并不是所有的裙边都是正常的,下面这张冠状位MR,膝关节内侧间室软骨磨损严重,半月板与股骨髁以及胫骨平台的对合都不正常,半月板信号异常,形态裙边状,这种情况下的半月板一般都有损伤。

(3)半月板缝合后的裙边如果病人有半月板缝合的手术史,特别是较长的纵裂以及桶炳状撕裂的缝合,由于半月板对合不够整齐、或者缝合的松紧度不一致等等原因,术后也常常可以见到裙边。

2、半月板退变(1)Ⅱ级信号半月板信号分0级、Ⅰ级、Ⅱ级、Ⅲ级,0级信号是正常的,Ⅰ级和Ⅱ级信号代表半月板的退变,只有Ⅲ级才是半月板损伤(撕裂),Ⅰ级信号一般范围较少,极少情况下会被误诊为撕裂,Ⅱ级信号范围较大,容易误诊。

在MR上不论 看到的Ⅱ级信号范围多大,只要其没有与关节相通(必须是所有的截面)就不是半月板撕裂。下面的这张MR,内侧半月板后角退变较重,软骨尚好,如果我们把其他的截面阅看完,就知道只是半月板退变。

而下面的这张MR,内侧半月板后角退变较重,形态发生改变,软骨磨损重,相互之间对合差,如果我们把其他的截面阅看完,就知道这个病人的半月板发生撕裂。

如果我们把其他的截面也阅看完,在某一截面可能也发现了半月板的损伤,如同下面的MR,即使半月板已经损伤了,但半月板的改变与膝关节的整体病变表现不相称,膝关节周围水肿很严重,这种时候不要满足于半月板损伤与否的诊断,还应该要除外其他病变。

(2)半月板纤毛化半月板退变可因为半月板游离缘的纤毛化或毛刷样改变在MR上表现为类似III级信号改变,这种情况半月板的形态是正常的,周围软骨一般也是正常的;如果半月板形态发生截断或变短等改变,则多为半月板撕裂或者手术后的半月板改变。

3、半月板外周影响(1)内侧半月板Ⅱ级粘液样信号内侧半月板Ⅱ级粘液样信号常见半月板体部偏后处,其紧密附着于内侧关节囊,有时候在MR上容易误诊为半月板损伤。

(2)内侧半月板的滑囊或脂肪层矢状位上在内侧半月板后角和低信号的关节囊之间有一片状中低信号影,并非是半月板关节囊撕裂,而是滑囊,因滑囊内有脂肪成分而呈中低信号。

内侧半月板的滑囊或脂肪层有时候也可以表现为一线状中高信号影,不要误认为半月板损伤。这种表现与这个部位常见的Ramp损伤是有明显区别的。

(3)容积效应矢状位上内侧半月板体部滑膜缘靠近关节囊层面可见横行的略高信号线状影,该影既不是半月板变性,更不是半月板撕裂,而是半月板的滑膜缘正常凹陷,在容积效应的作用下出现稍高信号线状影。

由于每个人的内侧半月板滑膜缘凹陷有别、MR扫描时的条件也不可能完全一致,所以MR上的横行稍高信号线状影的粗小不一定恒定。

下面这张冠状位MR上可以见到内侧半月板体部滑膜缘凹陷,外侧半月板体部滑膜缘则微突,但这种改变可不是所有人都一样。

下面的这张矢状位MR上我们也可以见到外侧半月板体部出现容积效应改变,MR上有横行稍高信号线状影。

矢状位上容积效应不要与半月板退变混淆,半月板退变的信号更高,范围更广,多看几个截面就能区别开来。

矢状位上容积效应也不要与半月板周缘血管混淆,血管有动静脉伴行,细小,与容积效应明显不同。

冠状位上容积效应不要与半月板囊肿混淆,较大的半月板囊肿当然容易鉴别,如果囊肿不大,容易混淆,其实囊肿的信号较高,细小的囊肿不会是长条形。

冠状位上容积效应也不要与半月板关节囊分离混淆,不管如何,内侧半月板与关节囊紧密相连,完全分隔开的肯定不是容积效应。

4、外侧半月板前角附着处外侧半月板周径较小,前角附着于前交叉韧带附着点后外侧,通过特殊的纤维结构将半月板前角固定在胫骨髁间棘上,两者纤维有部分交织。

(1)不均信号外侧半月板前角中央部在胫骨平台附着处呈菱形,接近膝横韧带起始部,邻近髁间窝的矢状位图像上表现为不均匀的混杂高信号,容易误诊为半月板撕裂。

(2)筛状前角前交叉韧带的纤维穿入外侧半月板前角的时候,两者纤维有部分交织,MR上显示此处有斑点状高信号影,呈筛状。

5、内侧半月板前角附着处内侧半月板周径较大,前角附着于前交叉韧带止点前方的斜坡上,与膝横韧带融合。

(1)小前角正常的内侧半月板后角宽厚,前角扁平,前角附着于前交叉韧带止点前方的斜坡上,所以MR矢状位上表现为小前角,这其实是正常的。

(2)韧带半月板间隙内侧半月板前角与膝横韧带还没有在组织学上完全融合之前两者之间是有间隙的,MR矢状位上常常见到线状高信号影,不要误认为半月板撕裂。

6、半月板后角附着处内侧半月板后角附着于后交叉韧带止点前方,借一悬韧带与后交叉韧带相连;外侧半月板后角紧附于外侧髁间隆起之后、内侧半月板附着处之前。半月板后角附着处与关节囊边缘之间有血管组织、多少不等的脂肪和滑膜组织,内侧半月板更明显。

(1)脂肪影半月板后角附着处与关节囊边缘之间有血管组织、多少不等的脂肪和滑膜组织在MR上常常出现脂肪或近似脂肪信号(中等偏低信号)。

(2)血管影如果这些组织内的血管较大,MR矢状位上则可见到小类圆形高信号,其不紧贴半月板组织,不会很大,与半月板损伤后囊肿形成是有明显区别的。

(3)高信号影内侧半月板后角有后交叉韧带纤维穿入, 两者纤维有部分交织,结构不够紧密,MR上显示此处有斑点状高信号影。

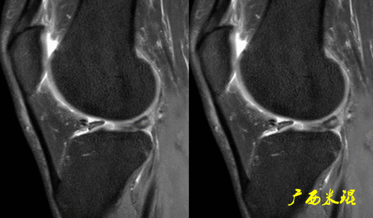
7、半月板后角内侧半月板周径较大,形似“C”形,后角宽,前角窄,后角宽度几乎是前角的2倍;外侧半月板周径小而面积大,形似“O”形,中部宽阔,前后角匀称,而且内外侧半月板后角为了适应内外侧胫骨髁和股骨髁而有着不完全相同的形态。

(1)假桶柄MR冠状位上偏后的层面,“C”形或“O”形的内外侧半月板偏后侧层面有可能同时扫描到半月板体部和后角,容易误诊为桶柄状撕裂,而矢状位或横断位上半月板形态是正常的。

下面这张MR冠状位显示为内侧半月板后角的假桶柄,其母体(图片中内侧的那一部分半月板)并没有变小、形态及信号均正常。

下面这张MR冠状位显示为外侧半月板后角的假桶柄,尽管在髁间窝发现半月板信号,但其母体(图片中外侧的那一部分半月板)并没有变小、形态及信号均正常。

下面这张MR矢状位显示为类似双后交叉征,后交叉韧带前下方的低信号其实是正常的外侧半月板后角,半月板桶柄状撕裂多发生于内侧,绝大多数是前交叉韧带损伤的合并伤,此病人的前交叉韧带正常,通过其他截面的半月板阅片就能排除。

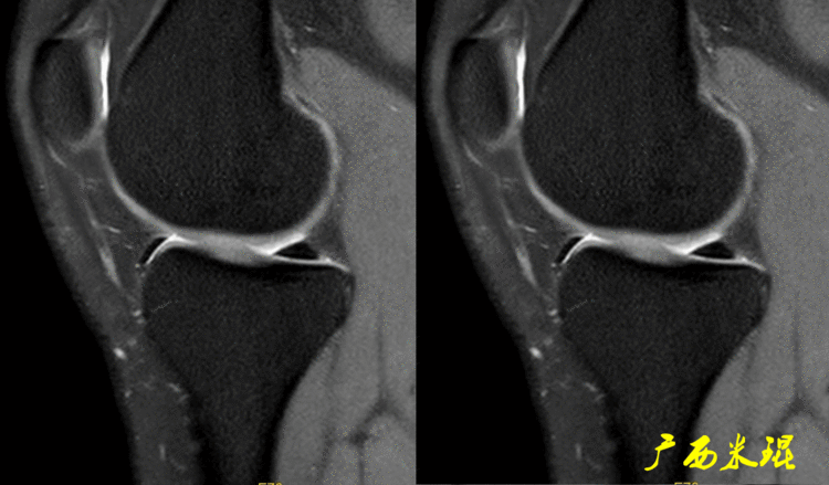
(2)隐窝隐窝是半月板后角与关节囊之间的正常凹陷,与体位等有关,可有可无,一般情况下积液越多隐窝越大,有上下之分,下面这张MR矢状位片见到的是上隐窝,紧贴半月板、光滑、不连通是其特点,也是鉴别要点。

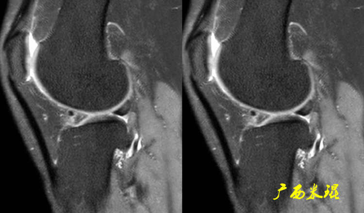
下面这张MR矢状位片见到的是下隐窝,也紧贴半月板、光滑、不连通。

隐窝需要与半月板囊肿鉴别,下面这张MR矢状位片见到的是内侧半月板后角损伤并囊肿形成,与隐窝是有明显区别的。

隐窝还需要与半月板关节囊分离鉴别,下面这张MR矢状位片见到的内侧半月板后角与关节囊完全分离,周围水肿,胫骨内侧平台后方骨水肿;而隐窝是不会连通的。

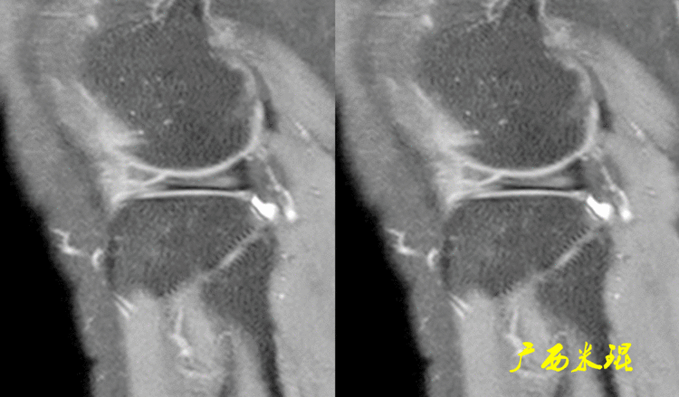
8、半月板横韧带起于内侧半月板的游离缘,起点呈偏圆状,横行向外,止于外侧半月板的滑膜缘,止点呈圆索状。

下面这张MR冠状位上显示横韧带为条状低信号,与半月板密不可分。

下面这张MR矢状位上外侧半月板前角与横韧带(圆索状)之间见高信号影,形似撕裂线。

下面这张MR矢状位上见到靠近半月板融合点的横韧带,两者的组合体更接近三角形,其间的高信号分隔影容易混淆误诊为半月板撕裂。

半月板横韧带的形状不恒定,大小差异较大,下面这张MR显示的为很小的半月板横韧带影。

MR上显示的小韧带可能与横韧带本身以及MR的切面等有关,并没有多大的临床意义。

下面这张MR矢状位显示的为粗韧带,过于粗大的横韧带应该与反复刺激、关节退变有关。

下面这张是同一个病人的MR轴位,显示的为粗韧带,也没有多少临床意义。

下面这张MR矢状位显示的双横韧带,横韧带本身可以由双束组成,当然也可以见于手术后病人。

下面这张MR矢状位显示的为是外侧半月板前角真的损伤了,只是必须明白MR片上前上方的低信号影是半月板横韧带。

9、半月板股骨韧带外侧半月板后角发出一条纤维带参与后交叉韧带,在接近后交叉韧带时分为两束,分别走形于后交叉韧带的前方和后方,向上伴随后交叉韧带止于股骨内侧髁,前者称为Humphry韧带,后者称为Wrisberg韧带。偶尔也有起自内侧半月板后角的半月板股骨韧带。

半月板股骨韧带起源于外侧半月板后缘中部,起点呈圆索状,在MR上Humphry韧带和Wrisberg韧带并不容易同时见到。

下面这张MR矢状位上见Humphry韧带和Wrisberg韧带分别位于后交叉韧带的前后方。

Humphry韧带和Wrisberg韧带起点几乎相同,起点处与外侧半月板后角分隔不明显,但较粗大,也有微小间隙,也常常被误认为是半月板撕裂。

下面这张MR矢状位上也同时见到Humphry韧带和Wrisberg韧带,与外侧半月板后角分隔的高信号影容易误认为是半月板撕裂。

在外侧半月板后根处,半月板股骨韧带由圆索状逐渐转变为扁平状,所以矢状位上半月板上方常常有一菲薄的低信号影,之间为高信号,也容易误认为是半月板撕裂。

下面这张MR冠状位见到的半月板后根与韧带之间为中等信号,也容易误认为是半月板撕裂。

10、斜行板间韧带连接内外侧半月板对角线的韧带,起自一侧半月板前角,穿过前交叉韧带、后交叉韧带之间,止于对侧半月板后角,也有人称为斜半月-半月韧带。

斜行板间韧带在后角的分支处容易被误诊为半月板撕裂,在髁间窝处容易误诊为半月板桶柄状撕裂。

一定要记住,半月板桶柄状撕裂的母体必须变小,髁间窝出现异常的半月板节段,掌握这个特点就能够帮助大家鉴别!

11、腘肌腱腘肌腱起于股骨外侧髁的外侧面上缘,在外侧半月板中后1/3处穿越腘肌腱裂孔向内下方走行,止于胫骨后方。

外侧半月板穿越腘肌腱裂孔处有滑囊相隔,因此MR上表现为高信号,容易误认为是半月板撕裂。

截面不同,腘肌腱与半月板之间的变化不同,在非腘肌腱裂孔区域,MR显示两者之间为中等信号。

在腘肌腱裂孔区域,不论矢状位或者冠状位,抑或是轴位,MR显示两者之间都为高信号,下面这张MR是矢状位。

下面这张MR是冠状位,显示半月板与关节囊之间为高信号,半月板外上方中低信号影为腘肌腱。

在特定区域,半月板和腘肌腱的关系容易与半月板和半月板股骨韧带的关系混淆,腘肌腱与半月板股骨韧带均为低信号,只是两者部位以及走向不同。

12、半月板外周血管半月板的血供来自于膝下内侧动脉、膝下外侧动脉、膝中动脉、膝上内侧动脉(膝上外侧动脉不参与半月板血供!)、膝降动脉、膝后内侧动脉和膝后外侧动脉,以上这些动脉形成紧绕半月板的周围动脉环。

膝下内侧动脉自后向前经胫骨内侧缘与腘肌上缘的筋膜内走向前侧,至胫骨内侧缘前下方沿内侧半月板外周走行,MR造影下显示血管其实是非常清楚的,大部分的医院不愿意花费太多的时间而已。

膝下外侧动脉在距腓骨小头顶点上方,经腓侧副韧带深面,紧贴外侧半月板外周向前走行,MR上容易将其误认为半月板边缘分离。

膝下内侧动脉、膝下外侧动脉等共同组成血管环,MR轴位上也常常被误诊为半月板关节囊分离,其实两者完全不同。

半月板的血管走向并不是恒定不变的,可能会变异,加之扫描体位参数的不同等,部分截面的血管影容易误认为是半月板3级信号。

13、疾病影响很多情况下,半月板并没有损伤,而且由于疾病的影响,例如痛风性关节炎导致半月板的表面出现痛风结晶沉积,或者关节内的痛风石将半月板推离正常的位置等等,由此MR上出现半月板的信号甚至形态发生改变,半月板本身不一定真正出现损伤。

14、手术后半月板半月板手术后导致的半月板形态和信号的改变千变万化,有时候其改变可能在MR上比手术前还差,这种MR上的改变不代表手术存在问题,所以已故的冯华教授生前就经常说手术后的半月板MR很难评价。

下面矢状位MR是外侧半月板后角部分切除手术后,片上我们发现半月板后角部分缺失,半月板信号正常(因为手术前半月板没有退变)。

下面矢状位MR是内侧半月板后角水平撕裂部分切除手术后,半月板后角部分缺失,信号仍然不正常(因为手术前半月板已经有退变),真正的情况是关节镜下半月板外观是正常的,MR上看见的高信号影是半月板退变的Ⅱ级信号所致,由于手术切除面达退变的层面,MR上容易误诊为Ⅲ级信号。

下面矢状位MR是内侧半月板后角纵形撕裂缝合手术后,半月板外观完整,无分离,缝合处小片状稍高信号,这个高信号几乎不可能消失(半月板损伤痕迹永远存在)。

内侧半月板后角纵形撕裂缝合手术后,半月板外观完整,无分离,缝合处的线状稍高信号一般情况下也永久存在。

如同下面这张MR,左侧图像为手术前的,右侧图像为手术后的,术后病人疼痛等症状仍然存在,复查MR见外侧半月板前角分层,半月板前角的处理是有一定难度的,有经验的医生会考虑可能是手术者对前角的处理不够熟悉,没有通过另外的办法处理半月板前角的水平裂,不过也只能是猜测而已。所以,对于半月板术后的评估,症状的消失比MR重要!

总之,MR是诊断半月板损伤的重要辅助手段,充分了解半月板损伤MR诊断中的陷阱,提高诊断准确率,仍然是众多年轻医生每日的功课。

友情链接: