首页/创伤/手术技术:Nice结弹性固定下胫腓联合损伤/
手术技术:Nice结弹性固定下胫腓联合损伤
2023-04-03 17:57:461556浏览
手术技术:Nice结弹性固定下胫腓联合损伤

约5%-10%的踝关节扭伤及23%的踝关节骨折合并下胫腓联合(distal tibiofibular synesmosis,DTS)损伤,目前,对下胫腓联合损伤的固定主要包括坚强固定与弹性固定两种方式,且以下胫腓螺钉固定为主流(如下图)

下胫腓螺钉固定存在螺钉断裂、下胫腓联合僵硬、需二期手术取出等弊端;同时,胫骨腓切迹的深度与宽度存在变异,有研究表明,30%-50%的下胫腓螺钉未将腓骨精确置于胫骨腓切迹内,严重影响踝关节功能锻炼。因此,越来越多的弹性固定方式被选择,如Endbutton。

Nice结是双股滑结,因其简便并具有持续张力不易松弛,广泛用于四肢骨折的辅助复位,如掌指骨、锁骨中段骨折等。

Nice结的打法。


Nice结用于固定锁骨中段骨折。

鉴于Nice结的优势及下胫腓弹性固定的需求,有学者将Nice结用于下胫腓损伤的弹性固定,并取得了良好效果。

模式图:


步骤一:在胫骨关节面上方3cm,经腓骨前缘,2.5mm克氏针胫骨转孔,角度与冠状面呈25-30°,与横断面呈5°。

步骤二:采用特指导线器讲双股不可吸收缝线,从外侧经所钻孔穿出胫骨内侧。

步骤三:采血管钳经胫骨后缘穿入内侧,将双股缝线引出至外侧。


步骤四:打结。Nice结打结后,继续系3个单线结。


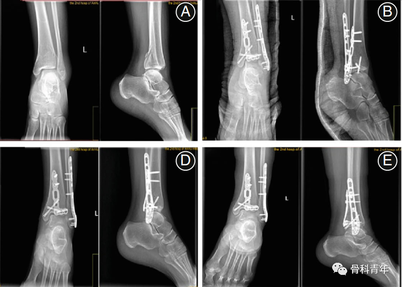
典型病例图:


友情链接: