搜索
学习中心
登录
首页
/
关节
/
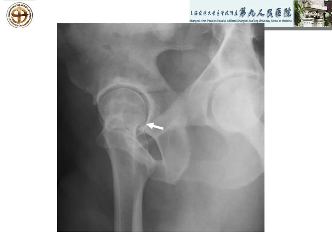
成人髋关节影像学,骨科医生基础必备!
/
成人髋关节影像学,骨科医生基础必备!
2023-04-09 17:36:13
1289浏览
成人髋关节影像学,骨科医生基础必备!
友情链接: