首页/骨科小技巧/【骨科小技巧】踝关节三角韧带解剖与损伤/
【骨科小技巧】踝关节三角韧带解剖与损伤
2023-04-21 10:27:383755浏览
踝关节内侧副韧带的复合体统称为三角韧带。它将内踝附着在多个跗骨上。

解剖技巧

踝关节内侧副韧带的复合体统称为三角韧带。它将内踝附着在多个跗骨上。

大体解剖

韧带由两层组成。浅层具有可变附件并穿过两个关节,而深层具有距骨附件并穿过一个关节:

它是一条牢固的三角带,附着于内踝的顶点和前后缘。足底跟舟韧带可以被认为是内侧韧带复合体的一部分。

  • 表层:从前到后
    通过后外侧到距骨的内侧及其内侧结节,向前传至舟骨结节,
  • 在舟骨结节后与足底跟舟韧带的内侧边缘融合
  • 浅层是由多个分束组成的宽阔三角形结构。它是三角肌复合体中最薄弱的一层。该层公认的组成部分是胫舟韧带 (TNL)、胫弹簧韧带 (TSL) 和胫跟韧带 (TCL)。所有这三个束都与弹簧韧带复合体 (SL) 的上内侧部分融合。
    • 胫舟韧带 (前)
    • 胫弹簧韧带
    • 胫跟韧带 (中间)
    • 浅表后胫距韧带 (后)

  • 深层: 这一层在关节内,被滑膜覆盖
    从内踝到距骨的大而强韧的韧带被浅表后胫距韧带 和胫跟韧带覆盖韧带短而细,起自内踝尖,止于距骨内侧面的非关节部,由胫骨后肌腱和趾长屈肌腱穿过。

前胫距韧带 (ATTL) 

深后胫距韧带 (DPTTL)

    • 三角韧带复合体深层的成分。三角韧带的深层由小且可变的前胫距韧带 (ATTL) 和非常强壮的后胫距韧带 (PTTL) 形成。

损伤机制

它的发生是由于外翻和/或旋前损伤,或者可能与外踝骨折有关。

三角韧带通常从其胫骨附着处撕脱,导致距骨外侧移位,内侧间隙增加(> 4 mm)。

类型

三角韧带复合体的损伤分为浅表或深部。韧带的破坏水平分为近端(I 型)、中间(II 型)或远端(III 型)。 I 型伤害是最常见的伤害,而 II 型伤害是最罕见的。韧带损伤也根据扭伤/撕裂的严重程度进行分类;I 级扭伤代表韧带周围水肿的拉伸损伤,II 级代表部分撕裂,III 级代表完全破坏。

三角韧带前部的损伤类型:

  • 类型 1:近端韧带撕裂或撕脱
  • 类型 2:韧带中间撕裂
  • 类型 3:三角韧带和弹簧韧带远端撕裂或撕脱

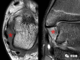
15 岁女性,急性内翻外踝扭伤。轴向 T1 加权(左)和冠状脂肪抑制(右)图像显示 PTTL 的正常条纹丢失,信号增加表明水肿和挫伤(星号)。

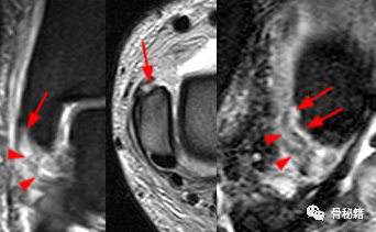
46 岁男性,一周前发生旋前外旋损伤。冠状脂肪抑制(左)、轴向 T2 加权 FSE(中)和矢状 T2 加权脂肪抑制(右)。在这种模式中,前浅表韧带最初会失效。胫舟韧带的近端(I 型)撕脱在前丘(箭头)的前缘处显示,远端韧带纤维(箭头)的边界不清、松弛和水肿明显。

三角韧带主要负责前后稳定踝关节内侧、限制距骨外展和限制后足外翻。少数脚踝受伤是内侧扭伤,这些通常与复杂的伤害有关。解剖差异继续存在,这有助于潜在的漏诊和误诊。大多数情况下,三角韧带将被保守治疗或允许其自行愈合,前提是可以获得骨骼稳定。

内容来源于景秘籍!

友情链接: