首页/口腔修复/病例分析——骨性II类高角露龈笑病例的正畸治疗!/
病例分析——骨性II类高角露龈笑病例的正畸治疗!
2023-04-27 10:20:582335浏览
病例分析

2020年病例报告大赛(爱牙库杯)正畸组银奖 

 

作者:岑玉锋

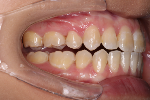
患者信息初诊2016.10.31)

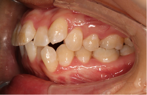
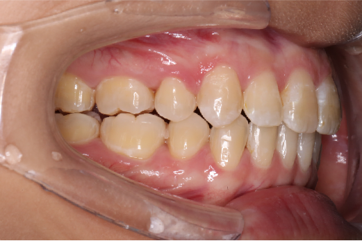
姓名:伍xy    性别:女        年龄:20岁主诉:龅牙,影响美观现病史:患者自换牙后觉得牙列前突,下颌短小,影响美观,现希望通过正畸治疗改善面型

ExtraoralExamination(2016-08.31,Wu)

正面观:

    ▲面部基本对称

    ▲面下1/3长度偏长

    ▲颏部紧张

    ▲开唇露齿

ExtraoralExamination(2016-08.31,Wu)

侧面观:

    ▲凸面型

    ▲下颌发育不足

    ▲颏部发育不足

    ▲颏唇沟浅,颏部肌肉紧张

    ▲鼻唇角正常

ExtraoralExamination(2016-08.31,Wu)

功能分析:

上前牙暴露量过大

笑弧笑线不协调,露龈笑

颞下颌关节检查未见明显异常

下颌运动功能检查未见异常

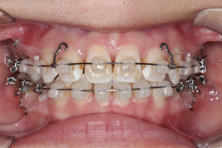
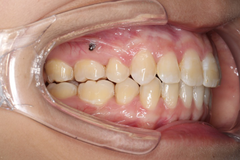
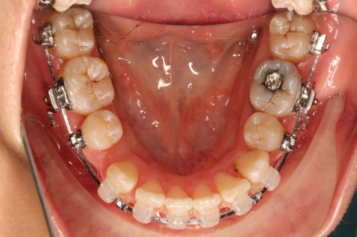
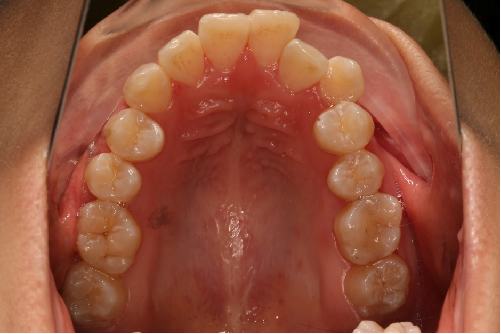
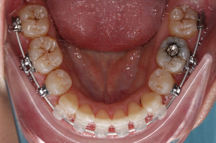
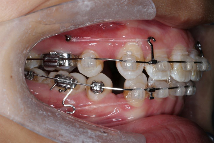
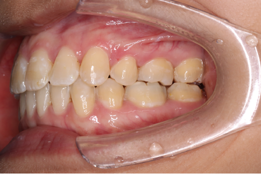
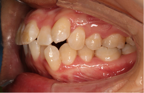
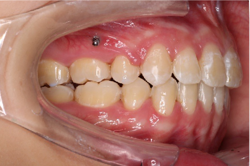
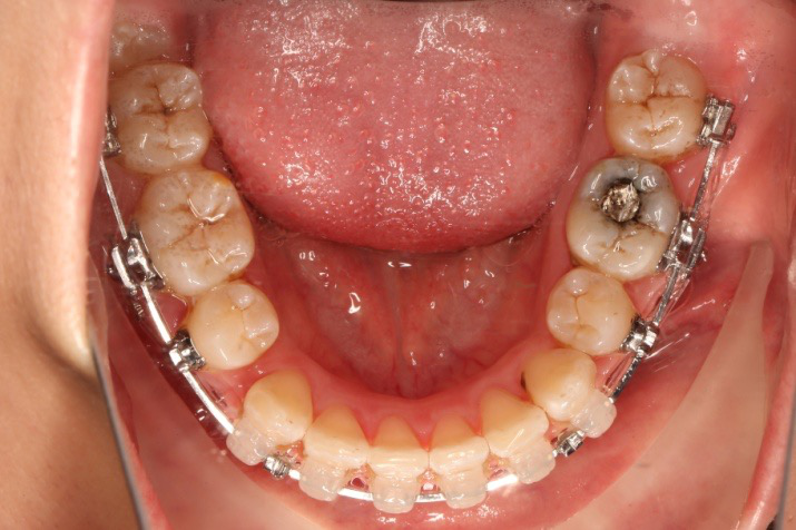
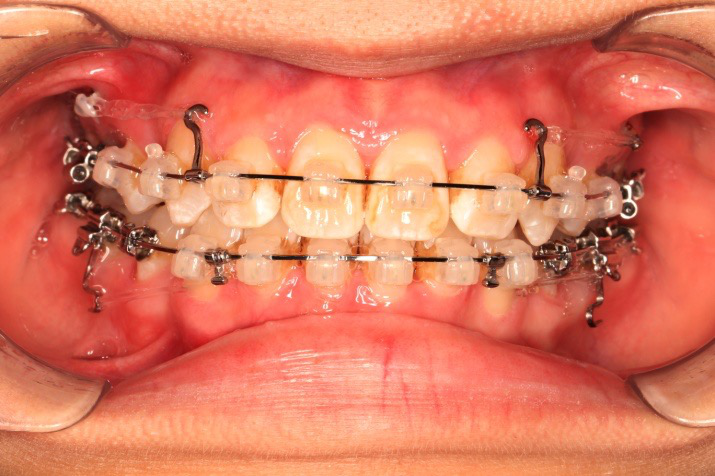
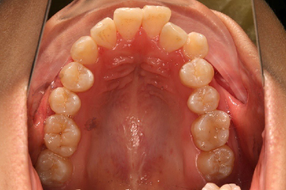
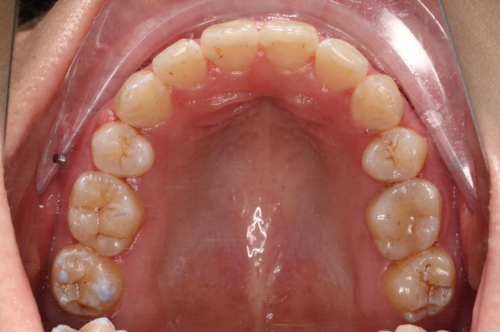
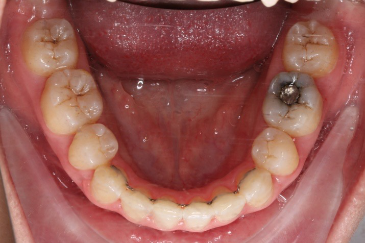
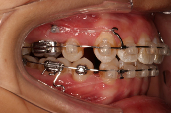
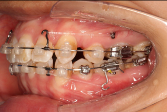
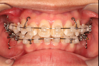
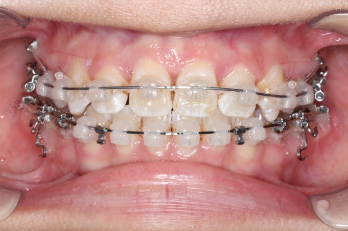
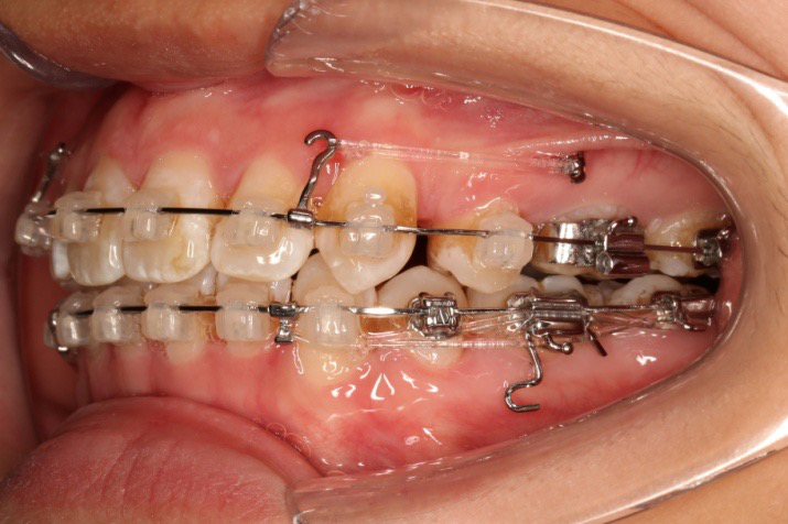
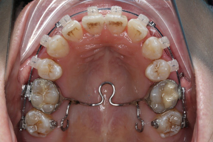
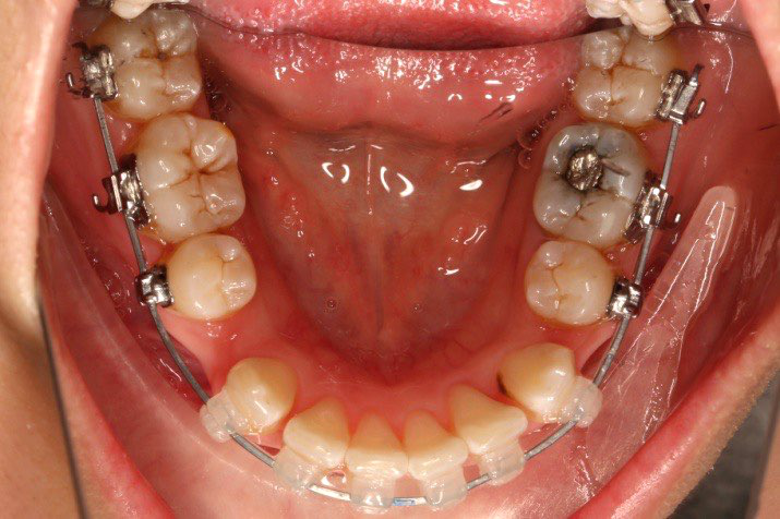
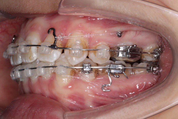
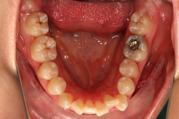
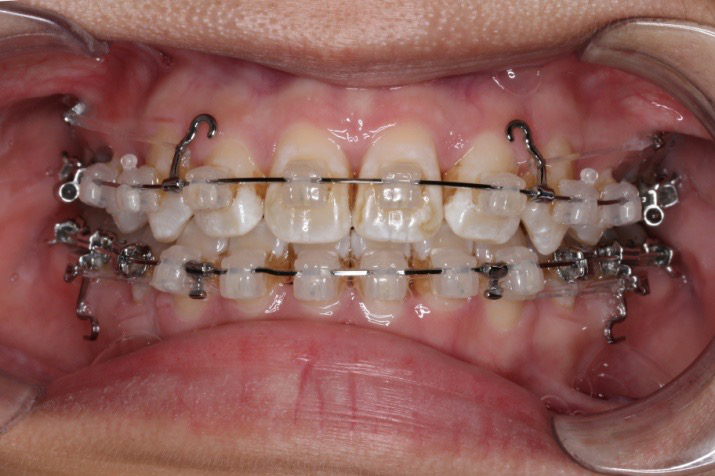
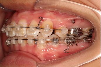
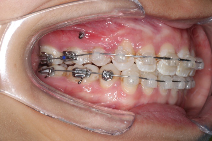
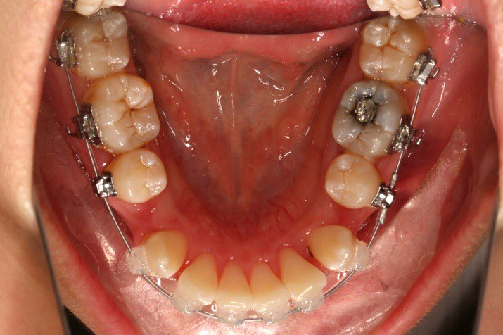
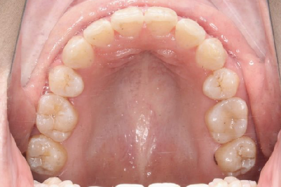
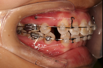
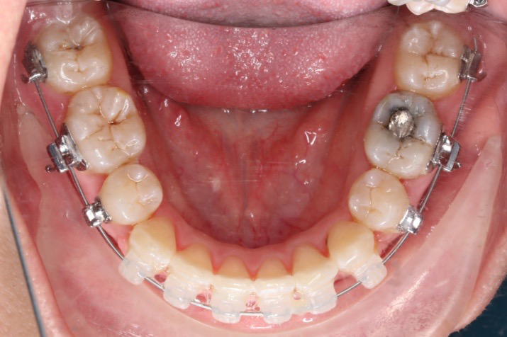
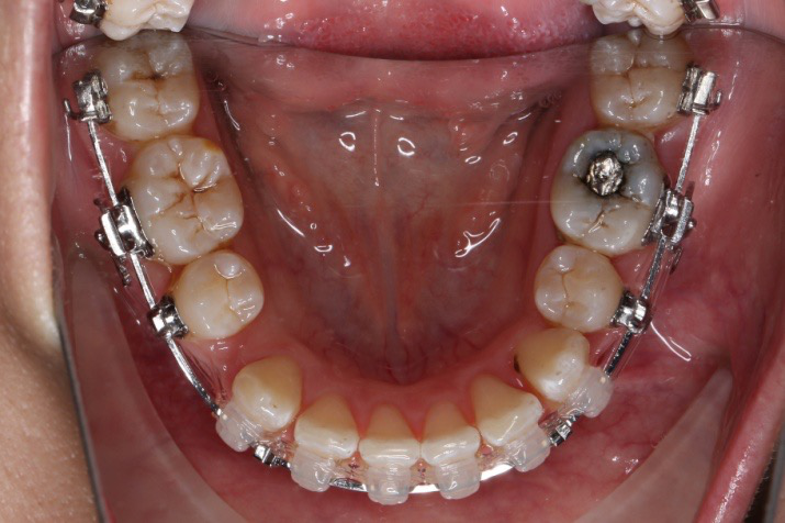
  • 磨牙,尖牙I类关系,中线齐
  • 上下牙列中度拥挤
  • 上下前牙唇倾


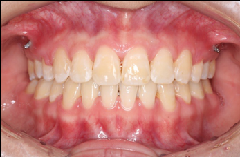
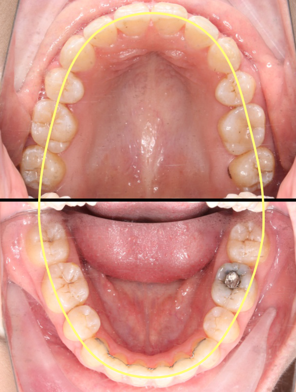
IntraoralExamination(2016-08.31,Wu)

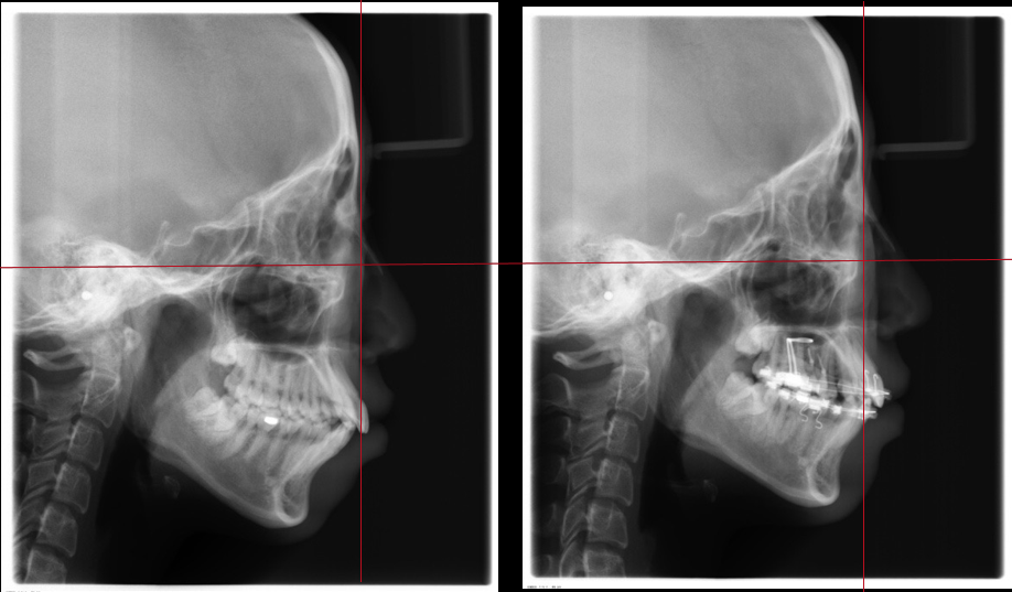
_PRE-TXNorm FMIA°47°55.0SNA°77.7°83.0SNB°70.2°80.0ANB°7.5°3.0FMA° 29.826PFH/AFH70.5°70Z Angle°50.3°77U1-FH113.0110.0IMPA°103.297.0U Lip to s’ line6.3 mm5.0L Lip to s’ line3.9 mm3.0OP-FH1215

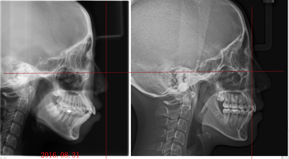
头侧位片:

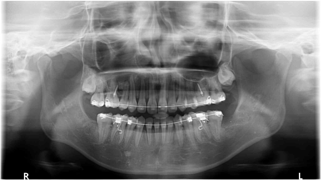
    ▲下颌后缩,骨性Ⅱ类

    ▲高角,颏部发育不足

    ▲上下前牙唇倾

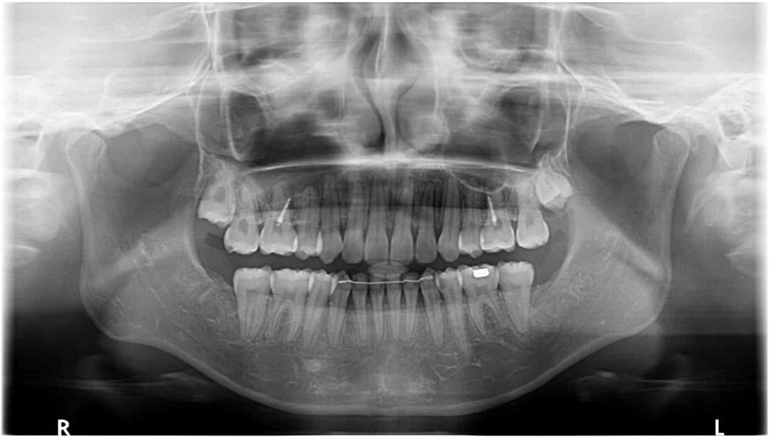
全景片

问题列表

1.外观(正面观)面下1/3稍长,开唇露齿,颏部肌肉紧张,露龈笑2外观(侧面观)骨性类高角,凸面型,下颌后缩3上牙列前突,下前牙唇倾度过大4上下牙列中度拥挤

诊  断

▶凸面型▶开唇露齿,露龈笑▶骨性Ⅱ类,下颌后缩,高角▶Angle I类错𬌗▶上下牙列中度拥挤

对  策

1成人骨性错合,首选手术治疗2或采取拔牙掩饰性治疗,利用拔牙间隙来改善矢状向上下颌的关系及前突和垂直方向发育过度的问题3通过合平面控制性治疗,达到下颌逆时针旋转的目的,改善颏部软组织形态

矫治计划:拔牙掩饰性治疗

1拔牙矫治,拔除14、24、34、44,上颌TPA+上颌高位支抗钉内收前牙及压低前牙,改善侧貌突度及露龈笑

2通过合平面控制,实现下颌逆时针旋转,协调侧貌3前牙托槽定位以恢复患者微笑弧线为参考,改善笑弧笑线

治疗方案

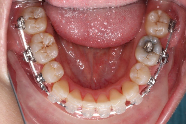
拔除14、24、34、44,上颌TPA+上颌高位支抗钉

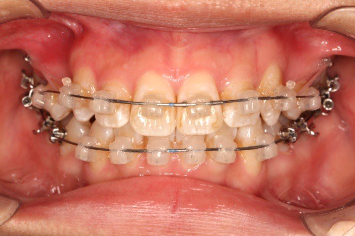
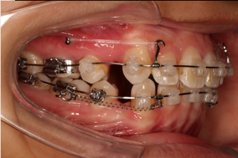
治疗过程

正畸共复诊12次

1.第0个月:2016.10.31 ◆ 初戴,0.013cu-niti

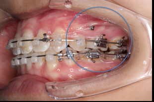
2.第2.5个月:2017.1.13 ◆ 上颌加TPA,植入1312-08种植钉,上下0.16cu-niti

3.第3.5个月:2017.02.16 ◆ 上下0.014*25 cu-niti,50g 尖牙远中

4.第6个月:2017.04.28 ◆ 上0.016*25ss 13/23v形曲,下0.017*25ss

5.第7个月:2017.05.26 ◆ 下颌36/46加power arm

6.第9个月:2017.07.25 ◆ 上前牙加颈部弹力线

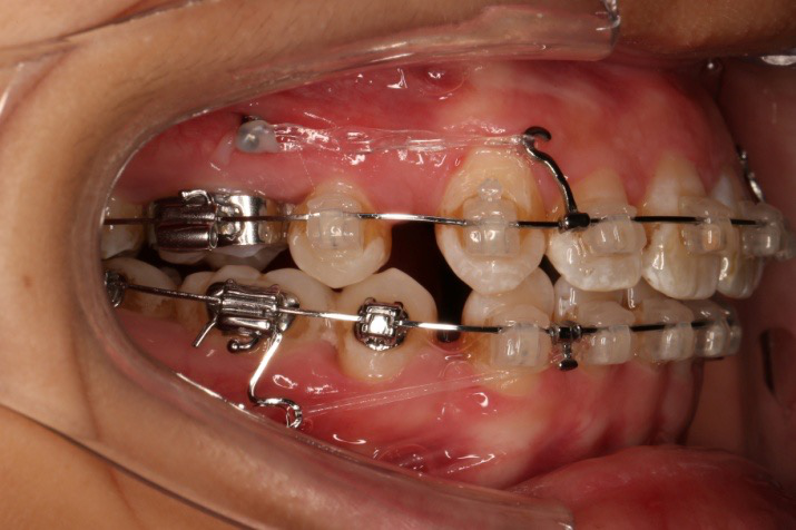
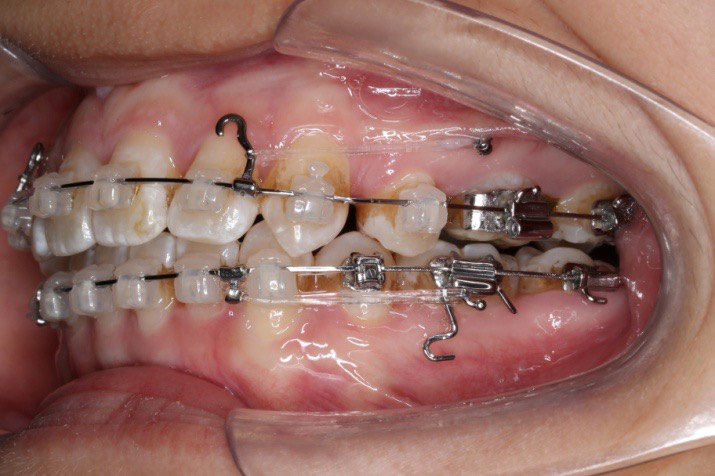
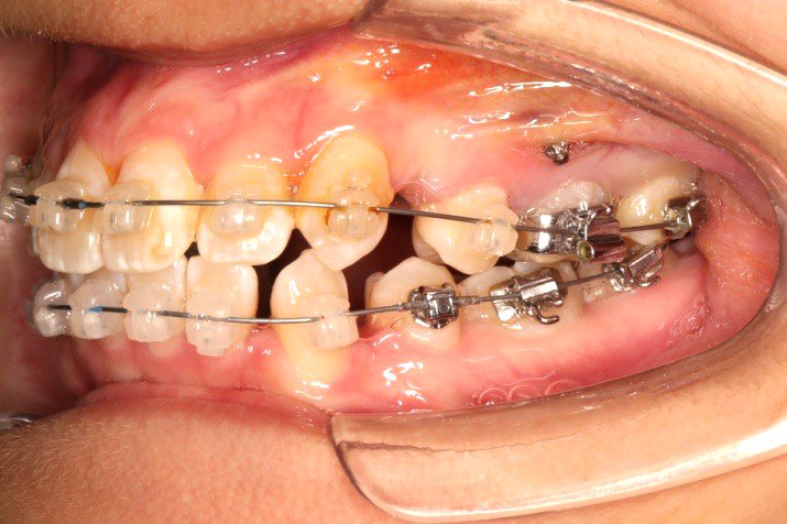
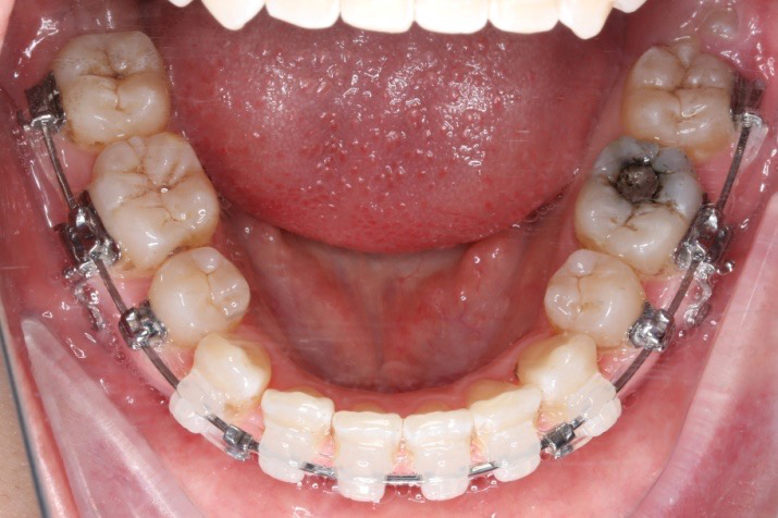
7.第13.5个月:2017.12.15 ◆ 36/46远中倾斜,改变下颌牵引位置

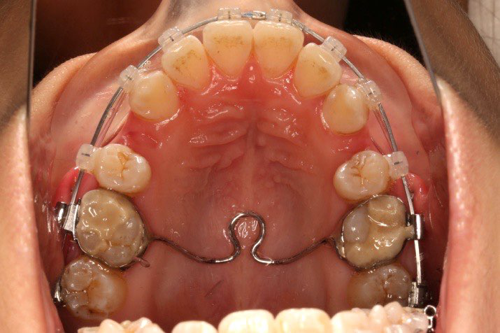
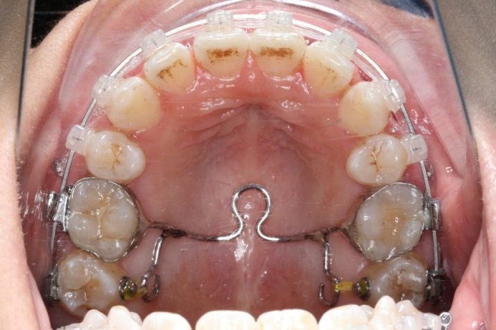
8.第17个月:2018.03.01 ◆ 上tpa加17/27牵引钩,压低;下颌43/32重粘,下颌0.016*25niti

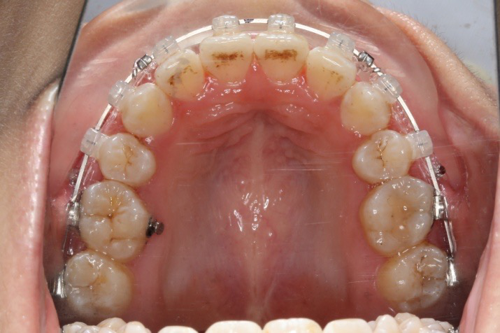
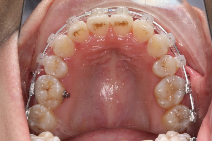
9.第20个月:2018.5.25 ◆ 拆tpa,16/26粘tube上和0.14*25cu-niti 下颌0.018*25niti

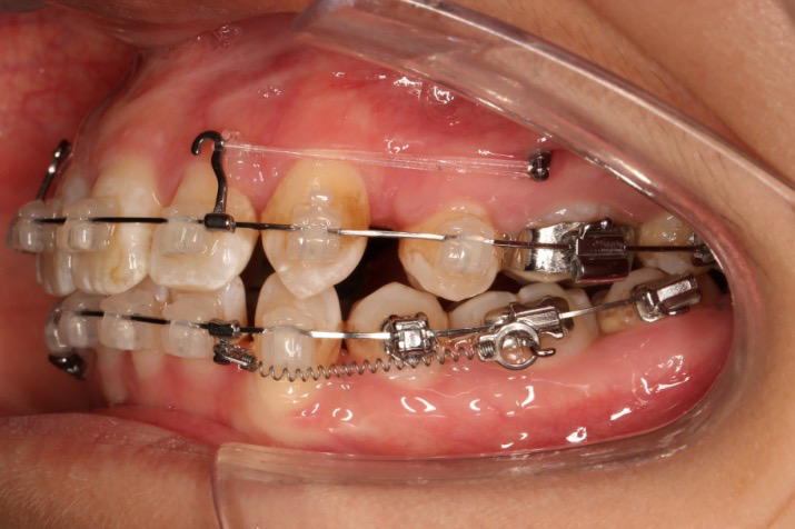
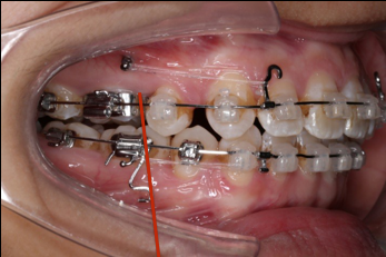
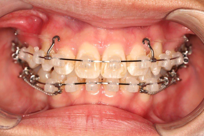
10.第22个月:2018.7.23 ◆ 上颌 0.010*25TMA,下颌0.017*25ss43压低曲,双侧后牙垂直牵引

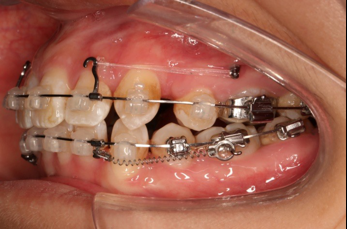
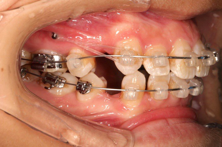
11.第23个月:2018.09.29 ◆ 15/43/16/7/11/21重粘,上0.016*25cu-niti 下0.018niti 上连扎

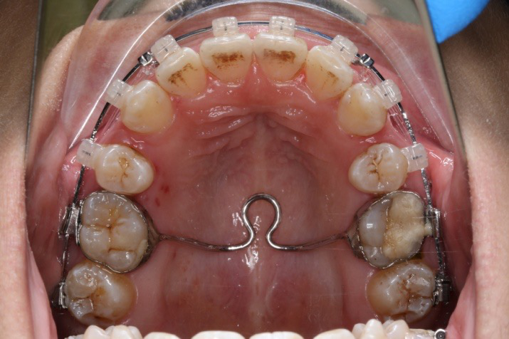
12.第24.5个月:拆除矫治器,粘接上下舌侧保持器

2016.10.31  初戴,0.013cu-niti2017.1.13  上颌加TPA,U56间斜形植入韩国庆北1312-08种植钉,上下0.16cu-niti

2017.02.16  上下0.014*25 cu-niti,50g 拉尖牙远中

2017.04.28

2017.04.28  上0.016*25ss 13、23近远中约5度 v形曲,下0.017*25ss

2017.05.26  磨牙近中倾斜,下颌36、46加power arm

2017.07.25

2017.07.25  上前牙加颈部弹力线

2017.10.07

2017.10.07  继续关间隙,下颌使用水平关间隙

2017.10.07

下颌磨牙通过powerarm直立效果明显,下颌整平效果明显

2017.04.28

2017.05.26

2017.10.07

2017.12.15

2017.12.15  继续关间隙

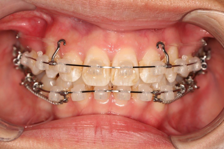
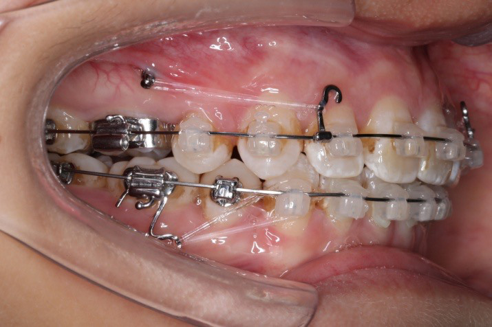
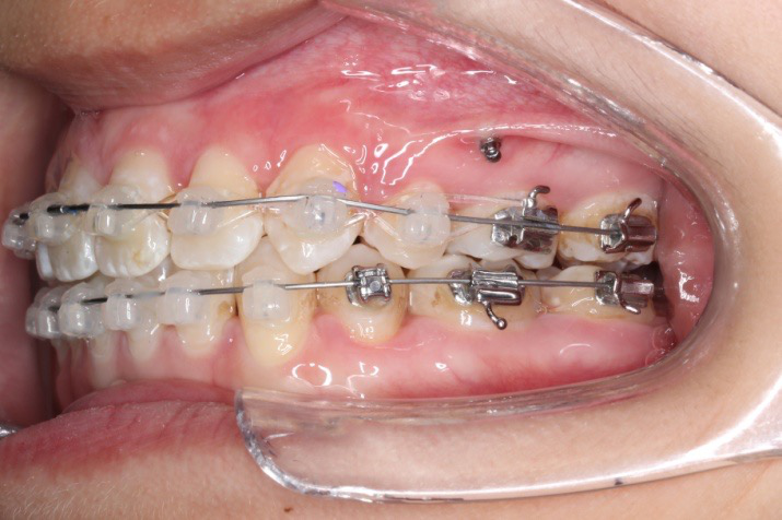
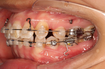
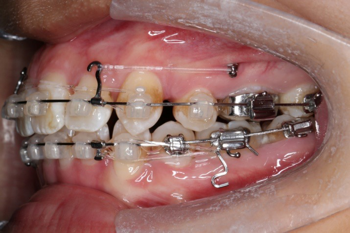
2018.03.01上TPA加17、27颚侧牵引钩,压低17、27颚尖下颌43、32重粘,下颌0.016*25niti

2018.04.20  间隙基本关闭,上颌重新整平,精调

2018.5.25  (19个月)拆TPA,16、26粘tube 上颌0.14*25cu-niti  下颌0.018*25niti2018.7.23  上颌 0.017*25TMA,下颌0.017*25ss43压低曲,双侧后牙垂直牵引

2018.09.29  15、43、16、17、11、21重粘,上0.016*25cu-niti 下0.018niti 上连扎

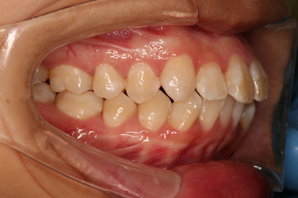
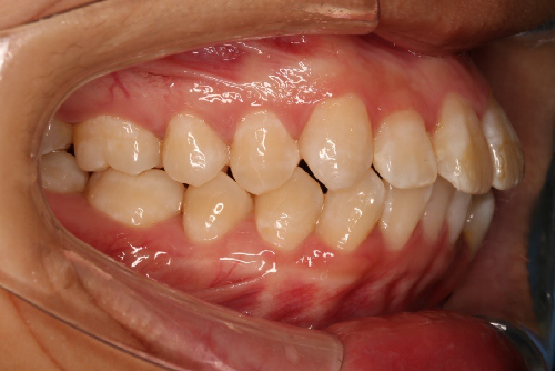
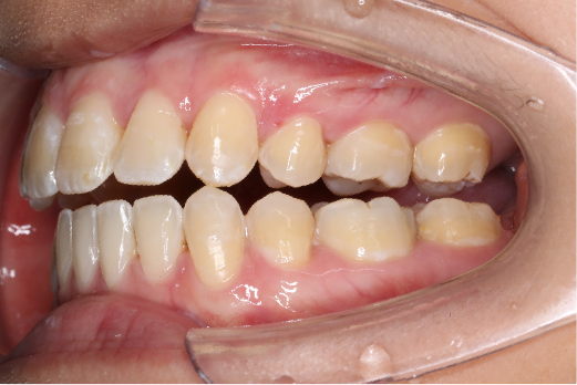
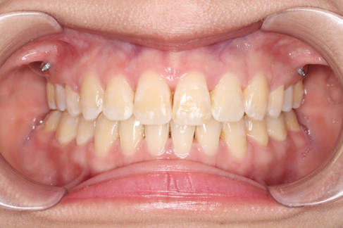
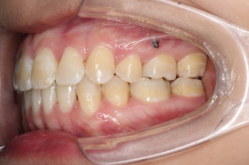
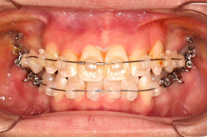
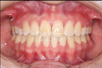
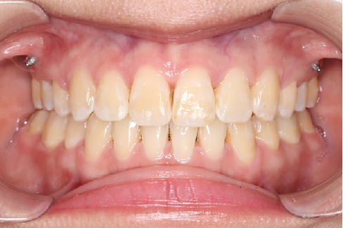
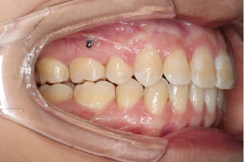
2018.11.14  术后侧面改善明显,露龈笑改善明显,笑弧笑线协调,颏部肌肉紧张度明显改善

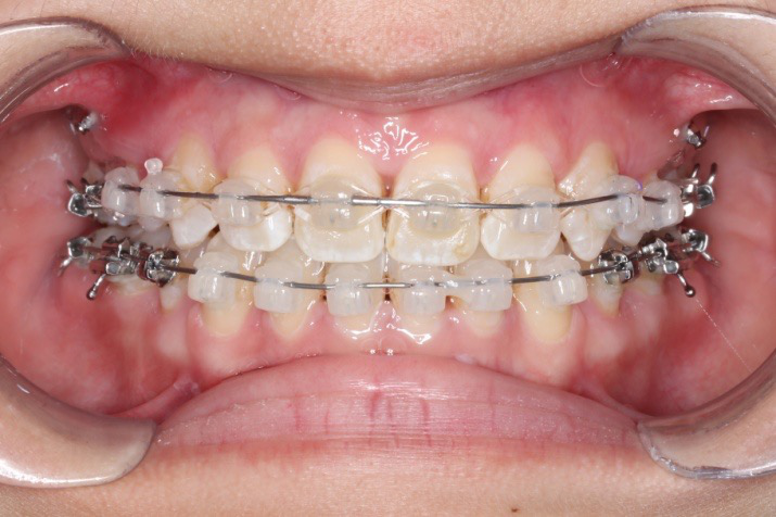
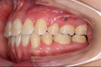
2018.11.14  术后磨牙尖牙I类关系,中线齐,覆合,覆盖正常

Post-TXPRE-TXPost-TXNormFMIA°47°57.555.0SNA°77.7°76.883.0SNB°70.2°73.780.0ANB°7.5°3.13.0FMA° 29.828.026PFH/AFH70.5°65.970Z Angle°50.3°64.477U1-FH113.0103.7110.0 IMPA°103.291.197.0U Lip tos’ line6.3 mm3.25.0L Lip to s’ line3.9 mm1.03.0OP-FH1212.615

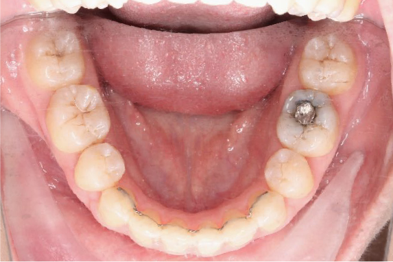
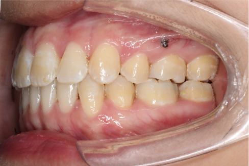
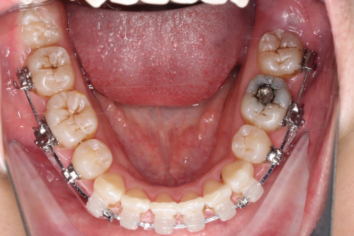
牙根基本平行,未见牙根吸收

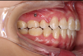
10 M after Post-Tx

10 M after Post-Tr

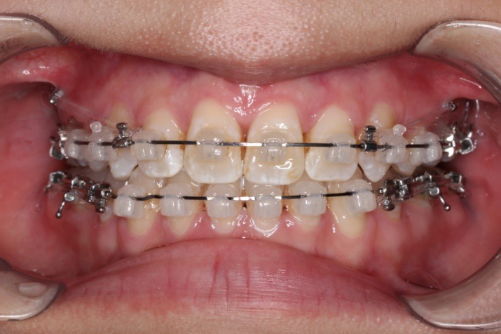
2019.08.06  术后  10个月复查

治疗后评价

宏观评价:面部对称,面下三分一比例协调,上下唇凸度正常,上颌牙列内收转矩控制良好,下颌后缩改善,颏唇沟变得更加柔和,术后达到基本直面型。


迷你观评价:上下牙齿中线与面中线对齐,笑弧协调,微笑时牙龈暴露量正常,微笑时横向正常,左右唇基本对称。


微观评价:牙齿整齐,咬合关系良好,上下前牙转矩及突度控制良好,磨牙关系I类,尖窝咬合关系良好,OB,OJ正常。

经验分享和总结

 ● 静态的形态美学

 ● 动态的功能学

 ● 动态的美学

静态的形态美学

动态的功能学

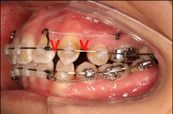
动态的美学:笑弧笑线协调

上颌矫治的生物力学

上颌使用高位种植钉及长牵引钩,配合尖牙近远中的v-bend,上颌前牙的牙齿移动方式是整体往上,往后内收。

下颌整平内收的生物力学

下前牙的压低+控制性倾斜移动内收,改善唇倾度,磨牙通过powerarm 直立,控根整体近中移动,使咬合高点的前移,整平下颌同时进行内收。

牙齿移动轨迹及生物力学

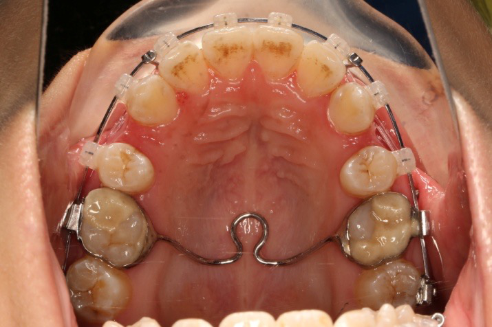
上后牙:高度保持不变/压入性移动,尽量避免伸长;▲垂直向控制中,应防止上后牙颊侧倾斜(TPA);▲腭尖高度控制也重要。

下后牙: 向前,整体移动利于咬合支点前移(Power arm);▲向前,倾斜移动易导致咬合平面后下旋转;▲后牙压低/全牙弓压低利于咬合平面逆时针旋转。

上前牙:向后,向上整体移动;

下前牙:向下,向后控制性倾斜移动。

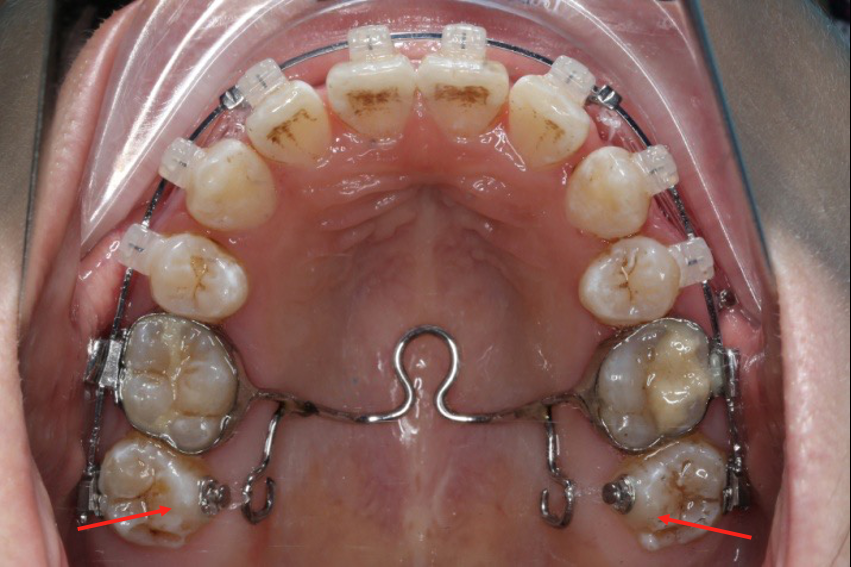
长时间使用TPA或者使用颌内支抗关间隙,容易造成第一磨牙和第二磨牙颚侧尖出现台阶,容易造成术后早接触及咬合关系不良

(引用其他病例图片)

总  结

高角II类错颌如何获得侧貌的改变:●上前牙的整体内收,但是不是大量的过度内收●上前牙严重病例需要增加压低力●下前牙做控制性倾斜移动●下前牙在重度病人需要增加压低力●上下后牙需要压低●合平面的控制●协调的牙齿移动

做垂直向控制时:

1.上下前牙在前后向和垂直向均需要有一定的间隙,为了下颌的逆旋提供必要的间隙


2.任何前牙区的早接触都会影响到垂直向的控制,必须消除早接触点对下颌逆旋的干扰


3.上前牙的内收和后牙的垂直向控制上就会产生一定的矛盾,上前牙的过多的内收,会给下颌逆旋造成一定的困难,因为下颌需要逆旋的空间变小


4.上下前牙转矩的对垂直向控制起重要作用,过度直立的上前牙会干扰下颌的逆旋,同时过大的切导会造成咬合功能的紊乱,下前牙一般提倡直立,高角甚至可以舌倾一些,促使下颌更多的逆旋


5.鼻唇角正常的患者往往上前牙不需要大量内收,治疗时应尽量选择整体压低内收

经验分享

微笑审美:

上唇线垂直向位置:上唇下缘位于上切牙牙龈处,充分显露前牙牙冠高度,刚显露牙龈、或显露牙龈不超过2mm。

微笑弧度:下唇上缘弧度与上牙弓弧度相一致。

牙齿倾斜角度(torque)- 尖牙、前磨牙、磨牙直立- 在迷你观的美观表现上也占了很重要的地位。目前的观点认为,后牙的唇(颊)舌向倾斜度较颊间隙大小对微笑美观的影响更大。

不足之处

1.因患者异地上学,早期复诊间隔太长,下颌支抗保护不足,造成下颌磨牙的近中倾斜;

2.右侧咬合精细尚欠缺;

3.侧面内收,或许可以再设计多内收一些,改善突度。

作者简介

内容来源于智贝云!

友情链接: