首页/骨科精读/小心!这些“花式”肘关节损伤都能导致冠状突骨折!/
小心!这些“花式”肘关节损伤都能导致冠状突骨折!
2023-05-11 10:14:381348浏览
小心!这些“花式”肘关节损伤都能导致冠状突骨折!

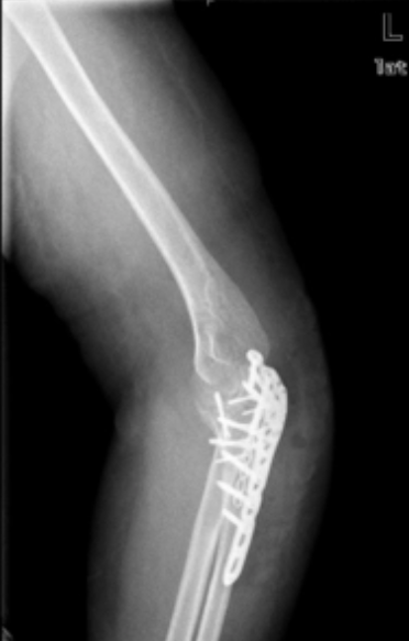
肘关节中尺骨冠状突是维系肘关节稳定性的重要结构,一旦发生冠状突骨折,其周围的软组织稳定结构会遭到破坏,使得肘关节丧失稳定性。医学上将冠状突骨折、肘关节脱位以及桡骨头骨折引发的复杂损伤合称为肘部损伤的“三联征”。临床实践发现,即使冠状突骨折的骨折块很小也会引发肘关节的不稳定,只有掌握肘关节损伤的类型并对症治疗冠状突骨折,才能更好地恢复肘关节的稳定性。

肘关节中至关重要的稳定结构就是冠状突,能起到前内侧稳定性的作用。通常情况下,冠状突骨折会合并肘关节脱位、尺骨近端骨折、桡骨头骨折及内外侧副韧带损伤等复杂性肘关节骨折发生,而单独发生损伤的概率很小。当患者发生冠状突骨折时其周围的软组织稳定结构会遭到破坏,使得其肘关节丧失了稳定性,如果不及时治疗还会造成较为严重的关节功能损伤。

一.关于冠状突骨折

冠状突是尺骨近端由干骺端向前延伸出的骨性突起,在冠状突上有两个骨性突起,在内侧位置较低的突起是高耸结节,在外侧位置较高的突起是冠状突尖,这两个骨性突起对肘关节的稳定性具有极为重要的作用。冠状突的高度是影响肘关节前方稳定性的重要因素,若患者冠状突骨折的长度大于原来的二分之一,就容易引发半脱位或者后脱位,明显降低了肘关节的稳定性。同时,冠状突的前内侧面在对抗肘关节内反应力是也具有极其重要的作用。

临床诊断冠状突骨折时常采用CT、X线片以及三维重建这三种影像学检查。

CT检查冠状突骨折时能够清晰地辨别出骨折的位置、骨折粉碎的程度以及骨折线的走向等,但是在直观性与整体性方面有所欠缺。

X线片检查冠状突骨折时相较于CT检查,其整体性与方便性较高,检查人员能够直观的看到患者冠状突骨折以及周围组织损伤的情况,方便医生作进一步的诊断。但是X线检查仍存在一些不足,当冠状突的体积较小时,如果有重叠遮挡的情况,通过X线很容易发生漏诊的情况;如果患者冠状突骨折伴有其他肘关节组织损伤,X线不容易辨别骨折块的来源;X线无法实现全方位观察关节面,使得检查人员能够观察的角度受限。

与CT检查和X线检查相比,三维重建在检查冠状突骨折时具有较好的优势,它不仅能够直观的看到骨折特征,还能从不同的角度来观察骨折的形态,提高了医生对冠状突骨折的分型、诊断与评估的准确性。

二.造成冠状突骨折的不同类型肘关节损伤

1.后外侧旋转不稳定型损伤

该类型常见于上肢伸直摔倒,典型的表现之一是肘关节三联征,当患者摔倒后,手掌撑地,手臂过度旋后,肘关节在伸直的时候受到了轴向、外翻等暴力所致。随着骨科临床医学的不断深入研究,在后外侧旋转不稳定损伤的治疗及预后已取得了较好的进展,当患者发生后外侧不稳定肘关节损伤时,肘关节的稳定结构从外到内均会发生损伤,外侧尺骨副韧带会造成撕裂,关节囊也会被撕裂,这种损伤极容易引发单纯性关节囊韧带损伤或者肘关节脱位以及冠状突骨折。由于这种冠状突骨折的体积非常小,很容易与关节囊牵拉所引发的撕脱骨折相混淆。

该种损伤类型的特点为:多发于成年人群,多伴有肘关节脱位、外侧副韧带损伤、桡骨头骨折等,很少存在开放性损伤以及合并其他脏器损伤。冠状突骨折块的体积较小,骨折粉碎程度不高,多为单一骨块。

2.内翻后内侧旋转不稳定型损伤

这种损伤类型通常为患者摔倒时手掌撑地,前臂过度旋前,肘关节在伸直的情况下受到了轴向、内翻以及旋前的暴力所致,该类型的损伤,患者前臂过度旋前使其向后内侧旋转脱离了肱骨,容易引起肘关节骨折脱位,当肱骨滑车撞击了冠状突前内侧就会使尺侧副韧带造成撕裂,肱骨外上踝撕脱或者桡侧副韧带的复合体发生撕脱进而引发肘关节脱位。该种类型的肘关节损伤容易发生漏诊,很容易造成患者形成复发性不稳定、陈旧性脱位以及创伤性肘关节炎等症状,所以,在诊断时应加强检查人员以及医生对该种损伤类型的认知以及诊断。

该种损伤类型的特点为:于成年人群,经常伴半脱位、外侧副韧带损伤,不存在桡骨头骨折,很少存在开放性损伤以及合并其他脏器损伤。冠状突骨折块的体积中等,骨折粉碎程度较低,多为单一骨块且骨折块的数量很少。

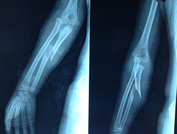
3.向后孟氏损伤

这种类型的损伤是在患者尺骨上三分之一处骨折同时合并桡骨头前脱位。该类型的损伤常发生于成年人群中,多为患者摔倒时手掌撑地,前臂受到了外翻、外侧旋转暴力所致,软组织结构与骨性结构均受到了损伤。老年人常发生骨质疏松症也与该类型肘损伤而引发骨性结构不稳定有密切的关系。由于这种类型的损伤会造成粉碎性桡骨头骨折,很大程度上增加了治疗的难度,预后效果也不佳。

该种损伤类型的特点为:多发于成年患者,老年患者比例较大,伴有肘关节脱位、桡骨头骨折以及外侧副韧带损伤,很少存在开放性损伤以及合并其他脏器损伤。冠状突骨折块的体积较大,骨块粉碎程度严重。

4.经鹰嘴向前骨折脱位型损伤

这种肘关节损伤类型指的是患者尺桡骨的近端伴尺骨鹰嘴撞击肱骨滑车骨折。该损伤脱位多为患者在中度屈曲位时前臂背侧受到了高强度的直接暴力所致前臂发生向前移位。临床对经鹰嘴向前骨折脱位损伤缺乏认知,常出现误诊或者漏诊的现象,也常与向前孟氏损伤相混淆。

该种损伤类型的特点为:多发于成年人群,青壮年最为多见,伴有半脱位,外侧副韧带损伤较轻,不存在桡骨头骨折,但是常合并其他脏器损伤且多为开放性损伤,冠状突骨折块的体积较大,可通过这些特点区分于向前孟氏损伤。

三.总结

综上所述,现阶段,临床对于冠状突骨折的研究已经取得了较大的进展,通过研究可发现不同类型的肘关节损伤其损伤的机制、损伤的特点、冠状突骨折的骨折块体积、粉碎程度均有着较大的差异。肘关节损伤通常发生在一瞬间,且不同类型的肘关节损伤其损伤的部位、损伤程度以及特点均有所不同,只有了解累及冠状突骨折肘关节损伤不同类型的特点,从损伤的机制、特点等判断属于何种损伤才能提高对冠状突骨折的诊断准确性,可为后续对症治疗提供可靠的参考依据。

参考文献

1.不同类型肘关节损伤冠状突骨折特点研究进展,中国城乡企业卫生2022年4月第4期(总第246期)

2.冠状突骨折后肘关节失稳的重建方法与临床疗效,中国药物与临床,2019(14)

友情链接: