首页/口腔修复/根管治疗后,牙齿依然酸痛?原来是漏了“它”!/
根管治疗后,牙齿依然酸痛?原来是漏了“它”!
2023-05-11 10:38:201856浏览
根管治疗后,牙齿依然酸痛?原来是漏了“它”!

小洞不补,大洞很苦。牙痛很多人都经历过,食不下咽、辗转无眠、原地爆炸……痛起来简直是怀疑人生!

引起牙痛主要“元凶”是蛀牙,当牙齿遭到深度破坏时,细菌入侵并感染牙髓,导致牙髓炎;假如炎症没有控制,又向根尖处发展的时候,容易出现根尖周炎。根管治疗是治疗牙髓疾病及根尖周疾病的直接方法。

(图源:太帅图库)

但传统的根管,医生只能凭借肉眼、手感及经验,容易有遗漏,留下隐患。家住番禺区的张女士就是个典型的例子,在口腔机构做了3次根管治疗后,牙齿依然很酸痛,甚至痛到脸肿胀,原本被宣判“死刑”的牙齿,幸好广东祈福医院口腔科主治医师江惠玲通过显微镜“助阵”,发现了一条细细的远中舌侧根管,并通过显微根管直击患处,拯救“烂牙”避免被拔除的命运!

被漏掉细如丝的根管,通过“显微镜”找出来了?

张女士(化名)由于右后磨牙蛀了个大大的黑洞,经常以发炎、疼痛来刷“存在感”,遂到家附近的口腔机构,医生检查后为其进行补牙,但是补完之后吃东西塞牙,建议磨掉牙齿戴上牙冠,不久后牙齿又开始以酸痛出来“作妖”。

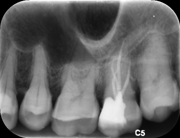
牙片(资料图)

忍无可忍,张女士到口腔机构复诊,医生拆掉牙冠后做了3次根管治疗,但还是酸痛,“吃不好,连续好几天都睡不着,太难受了。”张女士急匆匆来医院看,医师接诊:本来是三条根管,拍牙片看已经充得很完善了,但为什么还会痛?难道是根管治疗也救不了?“我已经种了两颗牙,难道这颗也保不住了?”张女士非常伤心,医生检查之后,决定通过显微镜一探究竟。

果不其然,在显微镜下,还发现了一条被“漏掉”细细的远中舌侧根管,打通了之后,一泡脓流出来了。“为了安全起见,另外三条根管的根充物也要取出来,清理干净,脓流出来之后我就确定问题出在哪了。”医生介绍。找到病根之后,在显微镜辅助下,医生为张女士进行2次根管治疗,将髓腔内的感染组织彻底清除干净,并做根管填充,这颗命途多舛的“病牙”重获新生,也没再发炎,张女士感激不已!

摆脱传统根管“盲人摸象”显微根管无“微”不至

做过根管的朋友都知道(没做过的现在了解),根管治疗是一项复杂的工程,医生要先为患者清除坏牙内部的坏死组织和病菌,并将根管扩大,进行冲洗-封药-用特殊的牙胶将根管紧密填充(不同于补牙,根管需要进行多次就诊治疗)……这样才能防止牙齿“反复闹情绪”。

而传统的根管治疗,医生只能凭借肉眼、手感以及经验,通过工具将感染的牙髓组织清理出去,适用于一些比较简单的病例,如果根管情况复杂,比如钙化根管或一些微小的弯曲根管,光靠肉眼非常容易遗漏,也很难疏通,很有可能留下隐患,需二次治疗。

无“微”不至,直达病“根”,是显微根管治疗技术的优势,在放大2-30倍的显微镜下,光源充足、视野清晰,所有根管一览无余,医生能够清晰地看到根管内部的细微结构、形态、病变等情况,治疗过程中体验感更好。

“显微根管是显微镜技术和医学技术的完美结合,能够帮助医生观察到肉眼无法分辨的根管口和微小病损,提高整个操作过程的控制性。”在后期做根管充填时,也比肉眼下充填得更加严密

显微镜下的“大视界”根管治疗看得清 做得精

显微根管治疗在这个过程中优势明显:

第一,可视化治疗,显微镜可放大至三十倍,牙齿内部的细节一目了然,再小的根管也无处遁形,可保留更多健康牙体组织,减少根管遗漏概率。

第二,发现肉眼不容易发现的微小病变,比如隐裂,以及可以对隐裂及劈裂做出鉴别诊断,从而提供一个正确的治疗方案;

第三,帮助口腔医生更好地找到隐匿或变异的根管

第四,安全性高,发现并彻底清理根管不规则区域残留的物质,绝不含糊;

第五,对根管进行严密的三维充填,提高龋齿治愈率

牙体治疗“新武器”---根管显微镜

虽然显微根管治疗技术能大大提高患牙保存率,但无论哪种牙齿的治疗,尽量使牙齿不患病少患病,保持完整且健康的自然牙才是最好的。提醒广大市民朋友:注重口腔卫生,定期检查,形成保护牙齿的良好习惯,预防或提早发现口腔问题,越早治越省钱!

最后,送你一份实用的护牙小知识,赶快get起来:

每天至少刷2次,每次3分钟。使用软毛牙刷及有防龋作用的含氟牙膏,有助于去除食物残渣和牙菌斑。注意:刷牙时刷毛需与牙齿、牙龈形成45度,进行旋转按摩。

牙齿清洁要到位。可使用手动/电动牙刷清洁牙齿内表面、外表面和咀嚼面,同时用软毛牙刷从舌头中间向前轻轻刷洗,防止细菌滋生。

每三个月更换一次牙刷。使用磨损的旧牙刷会影响清洁牙齿和口腔,建议定期更换。

定期清洁口腔。刷牙可清除约2/3的牙菌斑,其他在死角的容易导致邻面龋、牙龈炎等症状。在正确刷牙的基础上,还需漱口水、牙线、冲牙器以及每半年至一年洗一次牙来辅助清洁口腔。

内容来源于口腔学术在线!

友情链接: