首页/骨科精读/骨科精读 | 阻挡钉(Poller钉)的置入技巧及其改良应用!/
骨科精读 | 阻挡钉(Poller钉)的置入技巧及其改良应用!
2023-05-15 15:55:412151浏览
阻挡钉(Poller钉)的置入技巧及其改良应用!

干骺端长斜形骨折采用髓内钉固定的难点之一为骨折对线的恢复,长斜形骨折由于骨折本身暴力方向、骨折周围肌肉的牵拉或远端肢体的重力因素,骨折断端间通常存在侧方移位趋势,由于髓内钉直径通常小于远端髓腔,直接置入后髓内钉在远端髓腔内可能存在摆动,因此在髓内钉置入时如何保持骨折远近端的对位对线是临床较为棘手问题。

Poller螺钉可以改变髓内钉方向、纠正骨折侧方移位,在长斜形骨折的髓内钉固定中使用越来越广泛。如何有效置入Poller钉,将Poller钉置于何处,显得尤为重要。既往对Poller钉置入存在诸多迷惑之处,如将Poller钉置于不想让髓内钉去的地方或者依据两短原则等,无明确理论支撑。本文简要介绍Poller钉的置入技术、改良技术,及其在下肢畸形矫形中的应用。


一、Poller钉及髓内钉置入的“六步法”

1.沿移位骨块(远干骺端为远端骨块、近干骺端为近端骨块)作一中轴线;


股骨远端骨折示例。沿股骨远端骨块作一中轴线,骨折线与中轴线相交,形成2锐角(Acute angles)。


2.经骨折线作一线与上述轴线相交;


3.相交后形成夹角,辨认出锐角处;


胫骨近端骨折同理。

4.将Poller置于锐角处的干骺端或远端骨块;

将Poller钉置于锐角处。

胫骨近端骨折,同理将Poller钉置于锐角处。


5.置入导致,透视下确保通过Poller钉纠正移位;

6.置入主钉。

胫骨远端骨折的Poller钉置入方法。

股骨远端骨折的Poller钉置入方法。

二、改良Poller钉技术

阻挡钉技术常规使用时,通常先置入阻挡钉,然后插入髓内钉,以使髓内钉达到预期的方向。然而有学者对阻挡钉技术进行改良,通过先置入髓内钉,然后辅助方式将髓内钉位置调整满意,最后置入阻挡钉进行维持复位

病例示例1:

1a-1b:胫骨中段骨折采用髓内钉固定。可见置入主钉后骨折对线不良,存在侧方移位及成角畸形。

1c-1d:在骨折端成角平面,即冠状面上,拟置入阻挡螺钉部位近端钻孔,拧入松质骨螺钉,推动骨皮质与主钉移位,纠正侧方移位。

1e-1f:在松质骨螺钉置入后,可见端骨折端移位纠正,对线良好,复位后置入阻挡钉,维持复位。

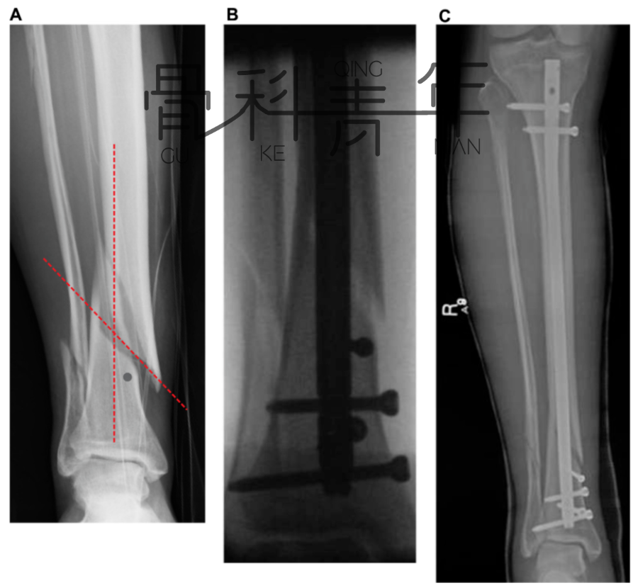
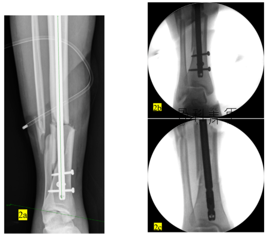
病例示例2:

2a-2c:胫腓骨远端骨折,髓内钉固定,主钉插入及远端锁钉锁定后,可见骨折对线不良,存在移位。

2d-2f:依同法在移位平面拧入螺钉纠正移位,恢复对线后置入阻挡钉维持复位。

三、Poller钉在下肢畸形矫形中的作用

除了在骨折治疗中调整骨折的对线外,在下肢畸形矫正中,通过阻挡钉矫正髓内钉的位置,以达到同期手术完成多平面对线,也可取得良好效果。如下图所示:

为了矫正股骨力线,在干骺端横行截骨(a横行虚线)后,截骨远端移位,此时髓内钉置入后应为偏心方可维持矫形,为了获得髓内钉位置,需要置入阻挡钉(b)。


下图实际病例很好显示了阻挡钉的重要性:

图a所示该患肢与健侧相比,存在6.2°外翻和28mm短缩。图b红色轮廓为纠正力线后截骨近端的形态,绿色为同时纠正外翻和短缩后股骨近端的位置,依照绿色轮廓置入髓内钉,此时髓内钉进入截骨远端为偏心,为了维持髓内钉位置,阻挡钉置入位置明确。图d可见髓内钉及阻挡钉置入后情况。

依上述理论及病例解析,不难发现,无论对于股骨或胫骨,无论畸形方向,均可以通过阻挡钉来位置髓内钉位置。各部位及各畸形状况下阻挡钉置入位置如下图:

内容来源于骨科青年!

友情链接: