首页/骨科精读/大转子疼痛综合征:MRI影像学表现!/
大转子疼痛综合征:MRI影像学表现!
2023-05-22 10:28:094177浏览
大转子疼痛综合征:MRI影像学表现!

大转子慢性疼痛和压痛是大转子疼痛综合征的特征。长期以来,粗隆滑囊炎被认为是唯一的基础病理;然而,调查表明,外展肌腱病是主要原因,其次是髂胫束增厚,其次是外展肌腱撕裂。粗隆滑囊炎可与之相关。在磁共振成像上,大粗隆疼痛综合征患者的转子周围T2异常明显。然而,这种情况在无症状的患者中也很常见。在术后环境中,全髋关节置换术和经外侧或后路手术的患者容易发生肌腱损伤。有症状的患者通常表现为肌腱撕裂,而无症状的术后髋关节常出现转子周围积液、外展肌增厚和信号改变以及臀小肌脂肪萎缩。

1

解剖

大转子是外展肌和外旋肌肌腱的主要附着部位。大转子的四个侧面在解剖学上可以被区分:上后、后、外侧和前侧面。除后关节面外,其余关节面均有肌腱附着。大转子被臀肌腱附着物所覆盖及其在外侧和前部的滑囊。短外旋肌插入大转子内侧。外展肌和外旋肌在行走过程中保持骨盆稳定。

(A)前部、侧部、后部和上后部。(B)臀小肌腱和臀中肌腱附着处及无肌腱插入处的秃发点。(C)外旋转肌腱的附着点。请注意,为了更好地显示,股骨头和颈部已被移除。

2

髋外展肌

臀中肌位于臀大肌的深层,起于髂嵴外侧,止于股骨大转子。臀小肌插止于大转子的前缘,阔筋膜张肌附着在髂胫束上。这些结构一起,在步态中稳定髋关节,促进髋关节内旋、外旋和外展。髋关节外展肌的功能比简单的稳定骨盆步态更为复杂。臀中肌的功能可能会根据其在步态周期(骨盆稳定)或外展和外旋或内收和内旋的同心圆或偏心控制中所需要的任务而变化。

(A)56岁男性的轴位T1加权图像显示前(白色短箭头)、侧(黑色箭头)和后面(黑色短箭头)。臀小肌腱(白色箭头)插入大转子的前小关节。注意臀小肌(星号)和臀中肌(圆)之间的密切关系。粗隆间囊(白色箭头)通常不膨胀,覆盖外侧和后侧小关节。(B)冠状面T1加权图像显示臀小肌腱长头(箭头)和臀小肌(星号)在前小关节的广泛附着点。

一位29岁女性的MR关节造影。(A)矢状位T1加权像显示臀小肌腱(白色虚线箭头)附着于臀小肌腱的前小关节,臀中肌腱的后束(白色箭头)附着于大转子的上后小关节。(B)冠状面T1加权图像显示肌腱从下表面伸出的外侧束(白色箭头)。这块肌肉与肌腱一起插入大转子的远端(c,不同的患者)。注意:无任何肌腱插入臀中肌腱后的秃点(b,黑色箭头)。

3

短外旋肌

短外旋肌包括股方肌、梨状肌、闭孔内肌、闭孔外肌以及上、下孖肌。闭孔内肌与上下孖肌形成连体肌腱。所有短的外旋转肌腱都插入大转子的内侧缘,除了在转子间后脊的方形结节后内侧插入的股四头肌。梨状肌插入大转子顶端,闭孔外肌插入粗隆窝,闭孔内肌插入这两个肌腱之间。

(a)一位56岁男性的矢状位T1加权像显示短的外旋转肌腱插入大转子内侧面处。梨状肌腱(黑色箭头)附着在大转子顶端。闭孔外肌肌腱(白色虚线箭头)插入转子窝和闭孔内侧肌腱(白色箭头)之间。注意臀中肌腱后束的近距离(b,星号)。

4

滑囊

粗隆滑囊,位于臀大肌和髂胫束下方的大转子后外侧,覆盖部分臀中肌腱止点和股外侧肌止点,它是髋关节外侧最大的滑囊。在无症状的髋部可以看到粗隆囊或外展肌腱内及其周围的少量液体,在40岁以上的女性中发病率较高。然而,在患有大转子疼痛综合征的患者中,髋关节外侧软组织中的液体与患者的症状相关。

在这位27岁患有凸轮撞击的女性患者中,在脂肪饱和质子密度加权冠状关节造影术中,轻微的转子周围高信号(箭头)是一种常见的表现,没有大转子疼痛综合征。

一位86岁女性的T2加权脂肪饱和轴位图像显示,大转子附近有三个发炎的滑囊:臀小肌下滑囊(箭头)、臀中肌下滑囊(箭头,△)和粗隆滑囊(虚箭头)。

5

肌腱病和钙化性肌腱炎

肌腱病的典型特征是肌腱在T1加权图像上信号强度增加,而在T2或质子密度加权图像上没有任何信号异常。慢性肌腱病可能与皮质异常、硬化、末端隆起和肌腱附着处的大转子小囊肿有关。

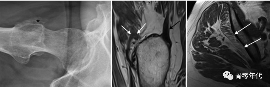
(a)一位74岁女性的右侧髋关节侧位X线片显示臀小肌腱附着处有一个大的突起(星号)。(b)重度臀小肌腱病(白色箭头),在矢状面T1加权像上插入末端(星号):仅有轻微的臀中肌腱病(黑色箭头),伴有微小的末端隆起。(c)轴位T1加权图像显示臀小肌严重脂肪变性,最明显的是后部和中部(白色箭头)。

对877例大粗隆疼痛综合征患者的回顾性超声研究显示,最常见的发现是外展肌腱病,其次是髂胫束增厚。少数患者出现肌腱撕裂甚至滑囊炎。

由于炎症反应,羟基磷灰石晶体的沉积可能会引起剧烈的疼痛。在急性期,肌腱及其周围可见严重的水肿症。X线片有助于诊断钙化性肌腱炎或滑囊炎,因为钙化沉积在mr图像上很容易被忽略。

6

肌腱撕裂

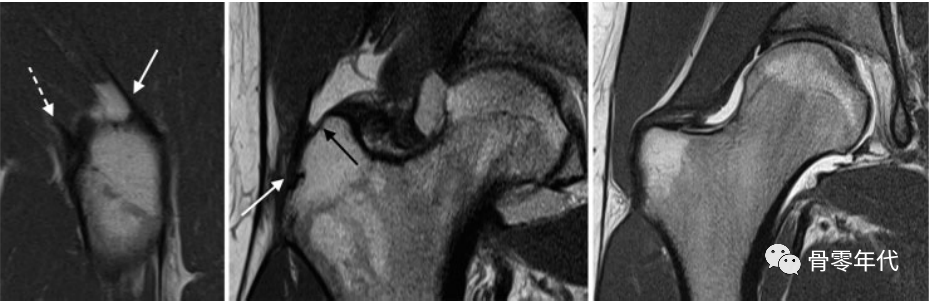
部分厚度肌腱撕裂的特征是T2高信号或纤维性缺损,残留的纤维附着在骨部。肌腱全层撕裂的特征是肌腱脱落,肌腱撕裂区域出现光秃的粗隆。肌腱延长是臀中肌外侧束撕裂的可靠征象,在冠状位MR图像上显示最佳。肌腱撕裂主要发生在潜在的严重肌腱病变,并经常与滑囊炎共存。最常见的情况是外展肌撕裂发生在臀中肌腱的外侧部分,并可能延续到臀小肌腱。在无症状的髋关节中,臀中肌和小肌腱的部分撕裂分别占25%和11%。

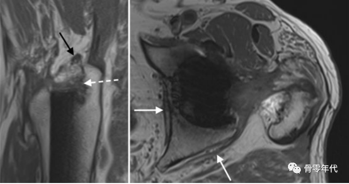
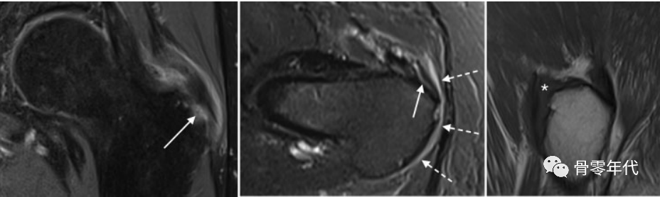
(a)冠状面T2加权像上的外侧臀中肌部分厚度撕裂(箭头),以及(b,c)外展肌腱的全层撕裂(b和c中的箭头指向臀中肌外侧),臀中肌明显回缩,如冠状面T2加权像(b)和轴向质子密度加权脂肪饱和图像(c)所示。

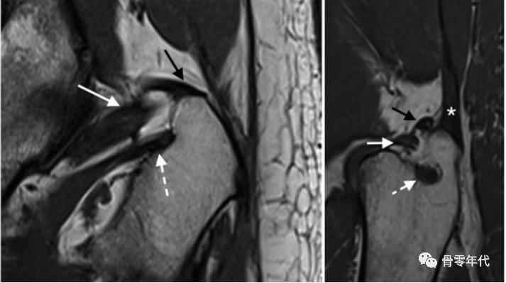
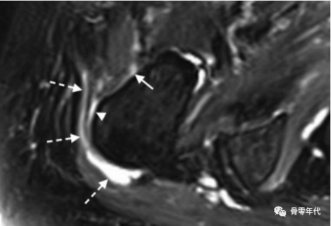
71岁女性臀小肌腱部分厚度撕裂(a和b中的箭头):(a)脂肪饱和冠状质子密度加权图像和(b)轴位T2加权脂肪饱和图像,伴有明显增厚和相关的小粗隆滑囊炎(b,虚线箭头)。(c)臀小肌腱在矢状位T1加权像上信号强度增加(星号)反映潜在的肌腱病变。

7

手术后病理

高达20%的THA术后患者可能会出现外展肌腱功能不全,这主要取决于所选择的手术入路。四种经典的手术入路是直接前入路、前外侧入路、外侧入路(也称为经臀肌入路)和后路入路。前侧和前外侧入路为肌间入路,试图减少软组织损伤。在外侧入路中,臀中肌腱必须被切开并分离;在后路手术中,短外旋肌必须分离,然后再固定。

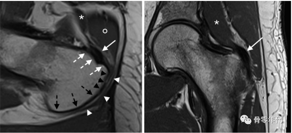
在T1加权像上,一位79岁的男性,在全髋关节置换术的后路手术后,有明显的短外旋肌腱病变。(a)梨状肌腱变薄(黑色箭头),闭孔外肌腱变粗和磨损(虚线箭头)。(b)闭孔内肌腱撕裂和回缩,肌肉严重萎缩(箭头)。

8

总结

大转子疼痛综合征包括臀肌腱和短外旋肌腱、髂胫束和粗隆囊的病理改变。大多数情况下,肌腱病合并或不合并撕裂或滑囊炎都可以在影像上发现。对于患有大转子疼痛综合征的患者,MRI和超声是被证实的可靠的影像检查方法。了解典型的影像表现,有助于对患者的评估。

参考文献:

1.Hirschmann Anna,Falkowski Anna L,Kovacs Balazs,Greater Trochanteric Pain Syndrome: Abductors, External Rotators.[J] .Semin Musculoskelet Radiol, 2017, 21: 539-546.2. Sutter R, Kalberer F, Binkert CA, Graf N, Pfirrmann CW, Gutzeit A.Abductor tendon tears are associated with hypertrophy of the tensor fasciae latae muscle. Skeletal Radiol 2013;42(05):627–633 3.McMahon SE, Smith TO, Hing CB. A systematic review of imaging modalities in the diagnosis of greater trochanteric pain syndrome. Musculoskelet Care 2012;10(04):232–239 4.Kingzett-Taylor A, Tirman PF, Feller J, et al Tendinosis and tears of gluteus medius and minimus muscles as a cause of hip pain: MR imaging findings. AJR Am J Roentgenol 1999;173(04):1123–1126

内容来源于骨零年代!

友情链接: