锁骨段骨折伴肩锁关节脱位(ACJ)是一种罕见的合并损伤,目前,对于这种罕见的损伤没有最佳的手术方法。我们报告一位60岁男性外伤性锁骨中段合并线性骨折和ACJ损伤同时用Knowles针固定治疗。
锁骨骨折很常见,占所有骨折的2.6%-5%。Allman分类系统根据解剖区域将锁骨骨折分为三分之一。第一组骨折发生在锁骨中三分之一,第二组骨折发生于锁骨外侧三分之一和第三组骨折发生于锁骨内侧三分之一。
锁骨中段骨折约占所有锁骨骨折的75%-80%。锁骨中段骨折是由肩带直接撞击引起的常见创伤。损伤机制有两种模式:肩部侧面的跌倒(85%)和锁骨的直接撞击(15%)。移位锁骨中段骨折非手术治疗的骨不连发生率更高,长期后遗症的风险更大。由于固定牢固,大多数外科医生更喜欢钢板内固定的切开复位,但髓内固定的闭合复位使用较小的切口,也可以充分恢复解剖结构。
肩锁关节(ACJ)是肩带损伤最常见的部位之一,占所有此类损伤的4-12%。这种中断可归因于两种机制。在第一种机制中,垂直方向的直接撞击损伤ACJ并破坏肩锁韧带(AC)和喙锁韧带(CC)。另一方面,伸展和伸展的手臂摔倒可能导致肱骨头被压入肩峰下方。为了更好的预后,我们提出了ACJ损伤的Rockwood分类。在I型损伤中,AC和CC韧带是完整的。
在II型损伤中,AC韧带完全撕裂,x线片可显示ACJ在横平面上变宽,锁骨外侧端轻微升高。III型损伤包括AC和CC韧带的完全断裂。锁骨在水平和垂直面上都不稳定,应力片异常,CC间隔扩大至100%。
在IV型损伤中,锁骨远端向后移位进入斜方肌,并可能覆盖后部皮肤。V型是更严重的III型损伤,伴斜筋膜和三角筋膜破裂,表现为CC距离增加100-300%。VI型是完全脱位,锁骨远端下移位至肩峰下或喙下位置。对于I型和II型脱位,强烈建议采用保守治疗。对于III型脱位,对于其最佳管理一直存在争议。对于IV-VI型脱位,手术干预是一种有利的选择。在所有已发表的手术技术中,44%的外科医生选择钩钢板固定治疗ACJ脱位。孤立性锁骨中轴骨折和前关节脱位是非常常见的损伤,而锁骨中轴骨折合并同侧前关节脱位在肩带损伤中较为少见。

根据以往的病例报道,这种罕见的损伤几乎总是发生在高能创伤中,如道路交通事故或从马背上摔下来。文献中提出了多种治疗方法,包括保守治疗或预塑形钢板固定治疗不稳定的ACJ脱位。然而,对于这种罕见的损伤,目前还没有最佳的手术方法。
我们报告一例60岁男性外伤性合并线性锁骨中轴骨折和ACJ损伤,同时采用Knowles针固定治疗。
病例报告:一名60岁男性患者在急诊室因道路交通事故出现线性锁骨中轴骨折。3天后在门诊骨科随访时,线性骨折进展为移位性骨折。锁骨移位骨折切开复位Knowles钉固定后,术后随访x线片显示出乎意料的同侧V型ACJ脱位,根据Rockwood分类。第二天,行ACJ脱位闭合复位经皮Knowles钉固定。在1年的随访中,影像学和临床结果显示锁骨骨折完全愈合,ACJ解剖复位,无痛,活动范围全。

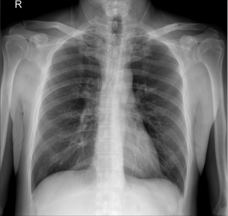
肩部正位平片显示锁骨中轴线状骨折,肩锁关节间隙无明显增宽,锁骨外侧端无明显增高

急诊就诊3天后门诊随访x线片显示锁骨中轴骨折倒v型移位

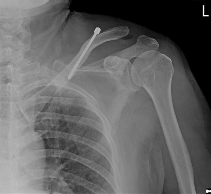
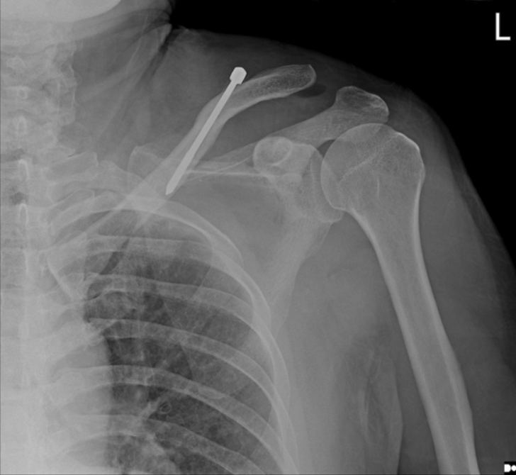
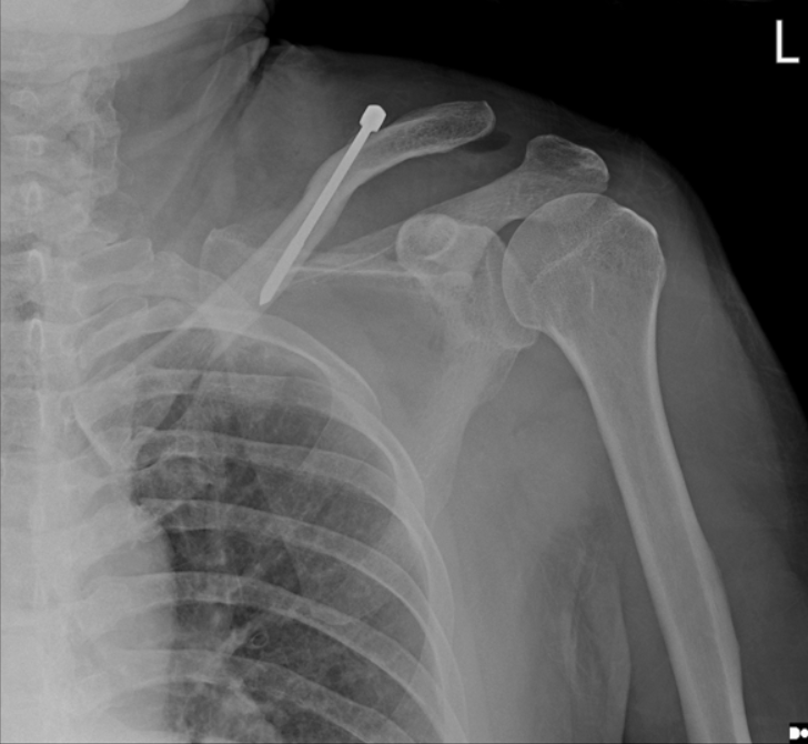
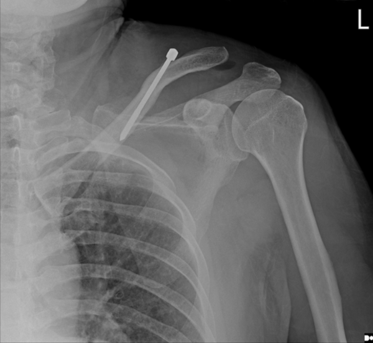
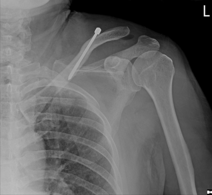
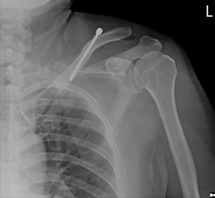
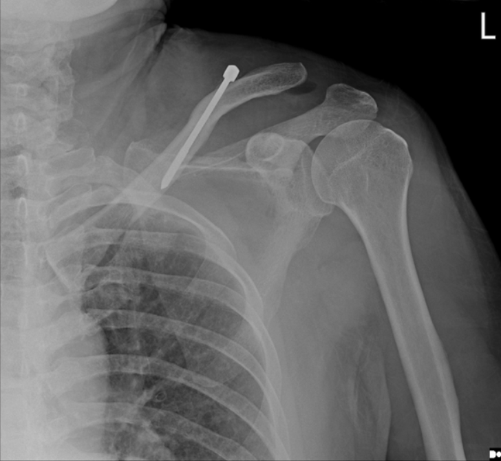
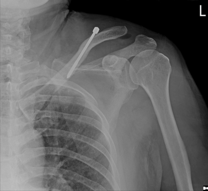
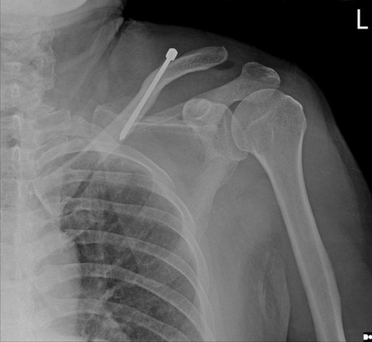
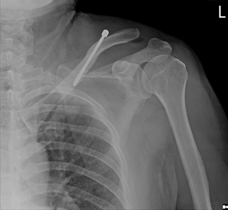
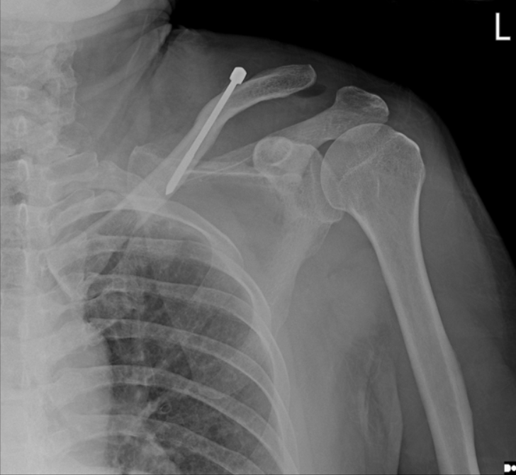
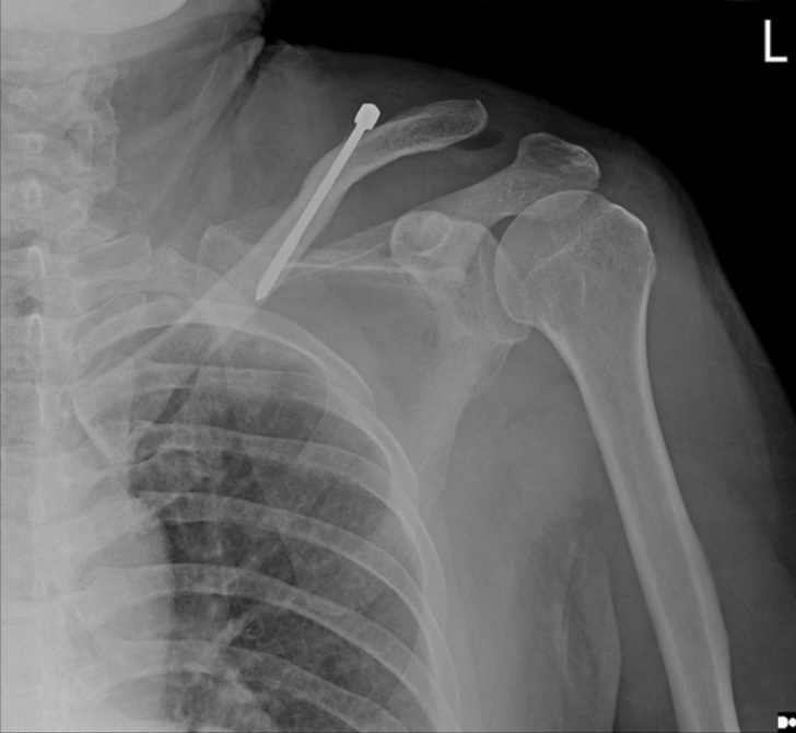
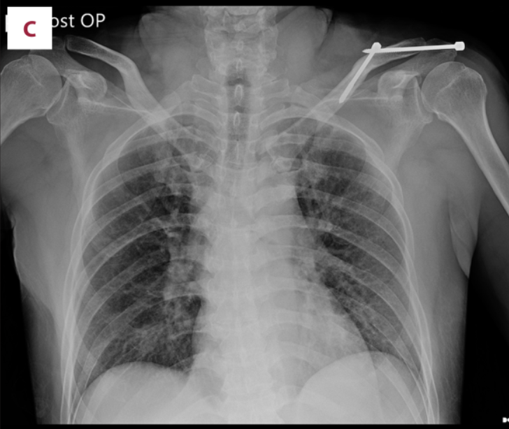
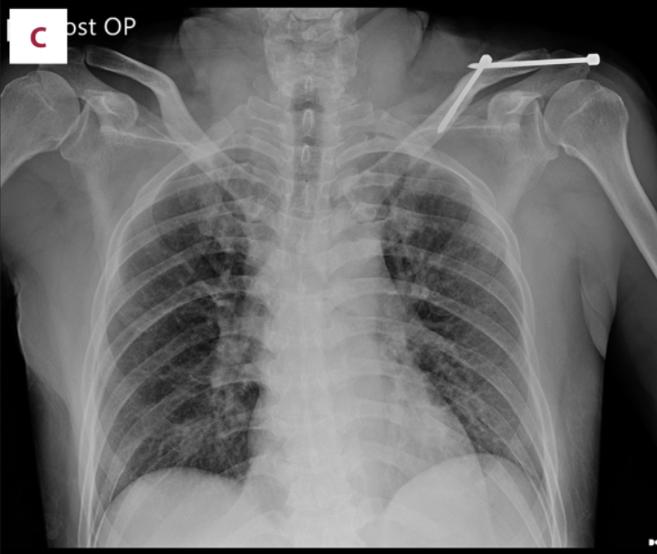
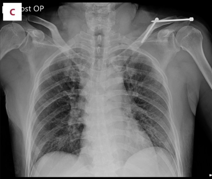
术后立即肩部x线片显示,锁骨骨折切开复位和Knowles针内固定后,肩锁关节(ACJ)明显移位。根据Rockwood分型诊断为V型ACJ脱位



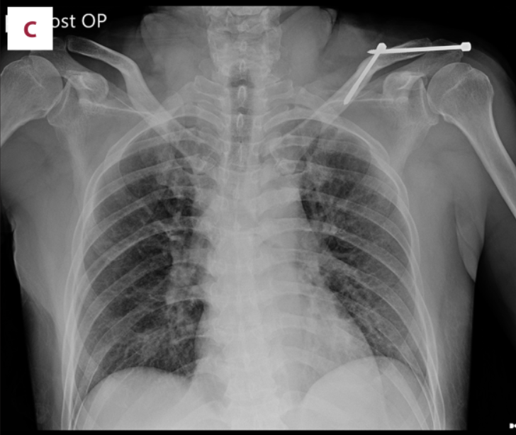
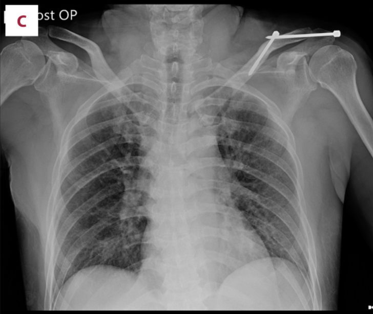
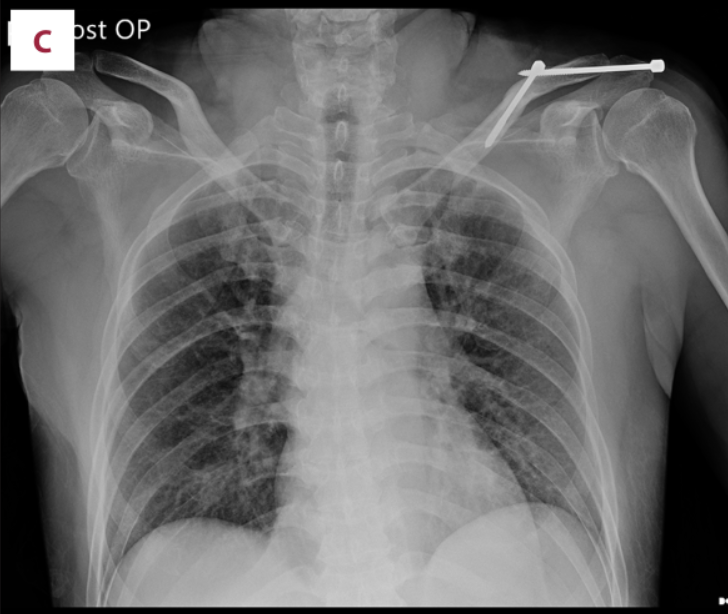
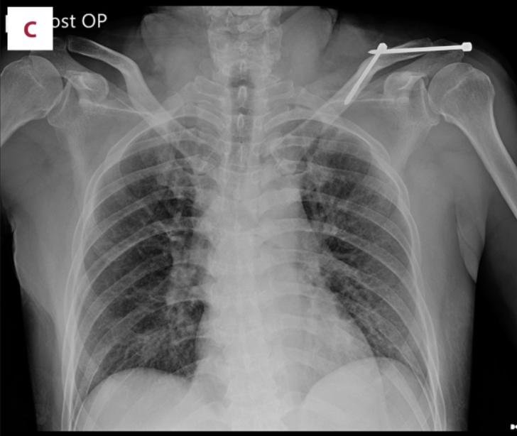
(A)在c臂图像增强器的帮助下,用克氏针将锁骨推入解剖位置进行闭合复位。(B)从肩峰尖端穿过肩锁关节(ACJ)至锁骨远端,用Knowles钉在锁骨远端后侧实现皮质锚定。采用Knowles销固定时,采用拉力螺钉技术保持ACJ空间。(C)术后x线片显示经皮Knowles针闭合复位治疗ACJ脱位复位良好。

门诊手术局麻下取出2枚Knowles针。当使用诺尔斯针时,手术伤口很小

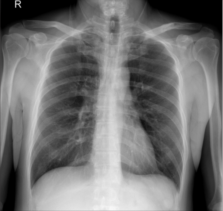
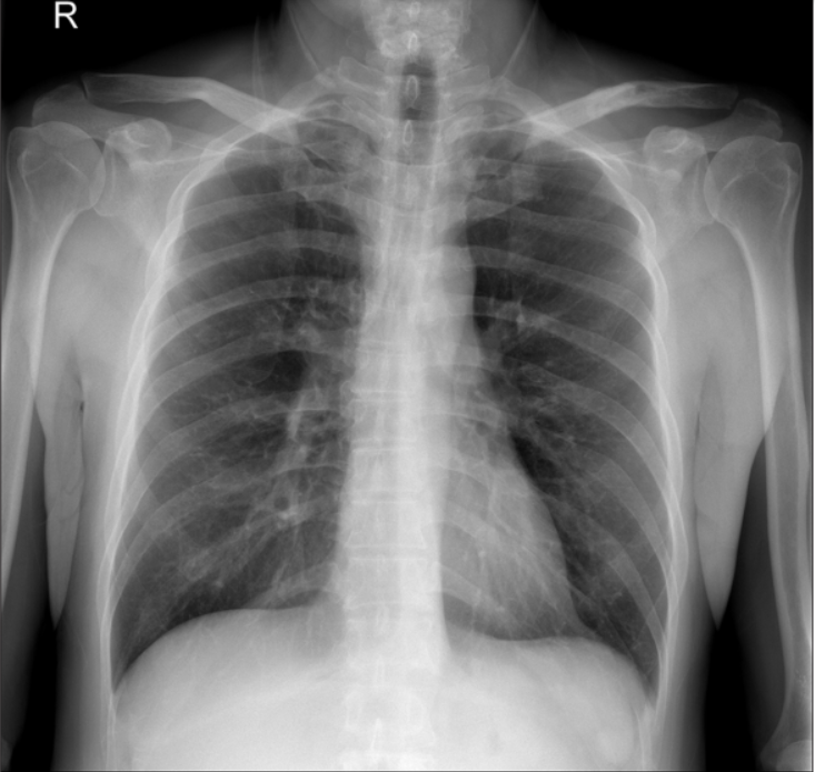
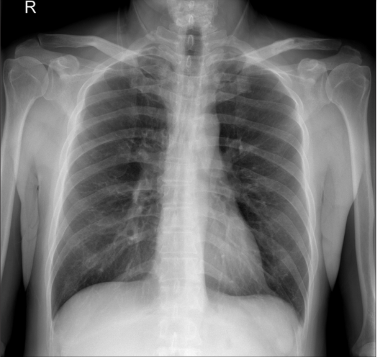
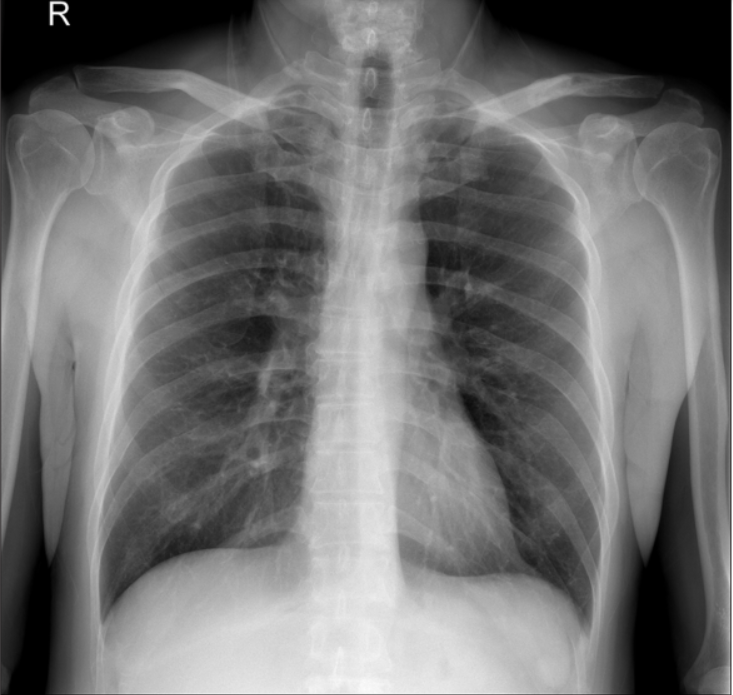
植入物取出后,胸片显示锁骨骨折完全愈合,随访1年,肩锁关节脱位保持良好复位
结论:本报告强调,如果创伤性损伤是由高能道路交通事故引起的,即使是线性锁骨中轴骨折也可能合并同侧ACJ脱位。因此,建议术中对受伤肩关节进行应力观察,在锁骨骨折固定后复查ACJ的稳定性,以防止遗漏ACJ损伤。在我们的病例中,同时使用Knowles针固定治疗双肩损伤取得了良好的结果。
文献来源:
Shih YJ, Chang HC, Wu CL,Optimizing Treatment for Combined Midshaft Clavicle Fracture and Acromioclavicular Joint Injury: A Case Study Highlighting the Efficacy of Knowles Pin Fixation.Am J Case Rep 2023 Jun 06;