主要症状为腕部尺侧疼痛,抓握力下降,腕关节活动范围受限,它是腕部尺侧疼痛的主要原因之一。
尺骨撞击综合征(UIS)是由于尺骨头长期反复撞击三角纤维软骨复合体(TFCC)和月骨、三角骨,导致TFCC 退变、穿孔,月骨、三角骨及尺骨头软骨软化、骨髓水肿、囊变,甚至坏死的一种退行性疾病。

其主要症状为腕部尺侧疼痛,抓握力下降,腕关节活动范围受限,它是腕部尺侧疼痛的主要原因之一。
一、解剖结构及发病机制
1.三角纤维软骨复合体(TFCC)
UIS 常合并 TFCC 损伤。
TFCC 组成包括三角纤维软骨(TFC)、半月板同系物、尺侧副韧带、桡尺远端掌背侧韧带、尺三角韧带、尺月韧带、尺侧腕屈肌腱鞘、桡尺三角韧带等,其中 TFC 是其主要结构。
TFCC 具有稳定下尺桡关节、传递轴向负荷、缓冲尺骨头对腕骨的撞击等作用。

研究表明,TFCC 厚度与其缓冲能力呈正相关;
UIS 患者TFCC 负荷增大,尺骨头长期反复撞击,使得 TFCC 变薄、穿孔,缓冲能力降低,尺骨头对月骨、三角骨压力增大,MRI 或腕关节镜检查多可见 TFCC 损伤。

2.下尺桡关节
尺骨阳性变异是 UIS 最主要的病因。
腕关节处的力量主要由桡骨和尺骨共同承担,正常情况下以桡骨为主,一旦出现尺骨阳性变异,尺骨承受压力会显著上升。
有研究表明,在尺骨缩短 2 mm 后,
- 屈曲位尺骨远端负荷从 14% 下降到 5%
- 尺偏位尺骨远端负荷从 14% 下降到 9%
- 旋前位尺骨远端负荷从10%下降到0%
在缩短3 mm时下降更加明显。
二、病因
- 各种因素导致的尺骨阳性变异,如桡骨远端骨折畸形愈合、桡骨先天性发育不全等
- 从事腕部活动较多的工作,如体操、棒球运动等
- 部分患者存在尺骨中性变异,甚至负变异
- TFCC发育薄弱、慢性劳损等

三、临床表现
UIS 主要症状为尺腕关节疼痛,握拳、旋前及尺偏时可加重,这是由于旋前可增加尺骨阳性变异,而尺偏时尺侧腕关节间隙变窄,尺骨头更易与月骨、三角骨发生撞击而产生疼痛症状。
其他症状包括抓握力下降、活动范围减小等。

四、检查
1.尺骨撞击试验
检查时,检查者嘱患者患侧上肢屈肘到90度,然后最大限度地握紧拳头。
检查者施加越来越重的压力到患者手腕尺侧。
如果出现尺骨撞击综合征,可以听到连续或者间或的咔嗒声,提示腕部的尺骨承重结构损伤。

2.影像学检查
以 X 线和 MRI 检查最具价值。
X 线检查可以判断尺骨变异类型并测量变异值,发现月骨、三角骨骨质硬化和囊变,并排除骨折、腕关节炎等其他疾病。
MRI 检查可以发现月骨软骨软化及骨髓水肿等早期改变,也可以诊断 TFCC 损伤,具有较高的灵敏度和特异度。

左图MRI:显示月骨尺侧近端存在骨水肿区域;右图X线:显示尺骨正变异。
3.腕关节镜检查
这是诊断UIS 的金标准。
腕关节镜下可以直接观察到腕关节软骨微小损伤、滑膜增生、TFCC 撕裂等病变,同时镜下可以进行关节腔清理、TFCC 清除或损伤修复,还可以行Wafer 术。

左图:关节镜下探查发现TFCC中央撕裂;右图:关节镜下行尺骨头切除的Wafer手术
五、治疗
UIS的治疗分为保守治疗和手术治疗。
保守治疗包括佩戴支具、限制腕部活动、口服非甾体类抗炎药及局部封闭等。但通常效果有限,无法根治,多需进行手术。
目前常用手术方式有尺骨短缩截骨术 (USO)、Wafer 术、腕关节镜下清理术、桡骨截骨矫形术等。
目的是消除尺骨阳性变异,稳定下尺桡关节,减少尺骨头对月骨、三角骨的撞击频率及减轻其撞击力量。
1.尺骨短缩截骨术 (USO)
这是治疗 UIS 的经典术式,适用于各种尺骨阳性变异的 UIS 患者。
USO 是一种关节外手术,不会损伤关节内组织,但同时也无法直接修复关节内损伤,但 USO 降低尺骨长度后,能下拉收紧三角纤维软骨复合体(TFCC),增加其张力,降低尺腕关节负荷,治疗合并TFCC撕裂的UIS可取得良好的临床效果。

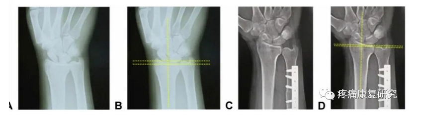
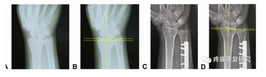
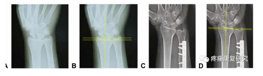
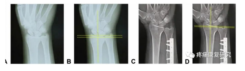
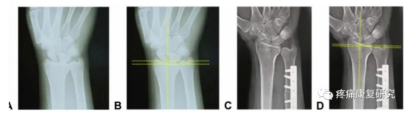
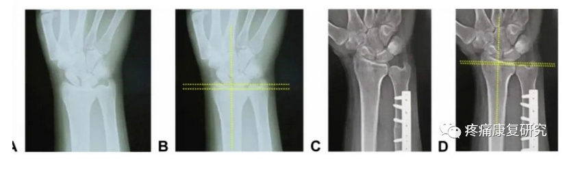
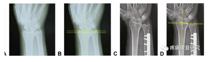
尺骨撞击综合征患者行尺骨短缩截骨术术前术后X线片
目前 USO 截骨部位有尺骨干截骨和干骺端截骨,钢板安置部位有掌侧和背侧,截骨方式有徒手截骨和专用工具引导下截骨,截骨形状有横形、斜形、梯形等,其中徒手截骨和横行截骨因操作简便而应用较广。
USO 的主要缺点是存在骨不连、延迟愈合、下尺桡关节骨关节炎等风险,且内固定物需二次手术取出。
2. Wafer术
Wafer 术目前多在腕关节镜下进行操作。
适用于合并 TFCC 损伤及尺骨阳性变异小于 2mm 的UIS 患者,可作为合并 TFCC 急性损伤的UIS患者首选术式。
Wafer术主要缺点是截骨长度受限、不适用于尺骨阳性变异较大的患者、手术难度较大、术后恢复时间长等。
研究发现,与 USO 相比,Wafer术同样疗效明显,两种术式术后患者疼痛及腕关节功能评分均无明显差异;
Wafer 术还可避免骨不连、内固定物激惹反应及二次手术取出等问题,且术后早期抓握力恢复快于 USO,DASH 评分优于 USO。
3.腕关节镜下清理术
多用于尺骨阳性变异较小的此类患者。
腕关节镜下清理术可以清除增生滑膜组织,清理磨损 TFCC 及关节内游离的软骨碎片等,减轻局部无菌性炎症反应,也可以增大尺骨头与月骨、三角骨间隙,减少碰撞,从而改善症状。
4.桡骨矫形截骨术
对于桡骨缩短合并桡骨掌倾角改变的患者,桡骨矫形截骨术更加合适,该术式不但可以恢复桡骨长度,还能同时改善桡骨掌倾角,恢复桡骨远端原本解剖结构。
目前 UIS 手术治疗以USO 和 Wafer术为主,两种手术方式均能取得良好效果。随着腕关节镜技术的发展和对 TFCC 认识的深入,出现了一些新的治疗方法,但长期预后仍需进一步观察。
文章来源于疼痛康复研究!