首页/骨科小技巧/踝关节撞击综合征!/
踝关节撞击综合征!
2023-07-07 15:09:021440浏览
踝关节撞击综合征!

你可能知道髋关节撞击、肩关节撞击,有了解过踝关节也会出现撞击吗?

踝关节撞击综合征是踝关节慢性疼痛的最常见原因,在一般人群中的发病率高达30%,而在运动员中的发病率更高。


什么是踝关节撞击综合征

踝关节撞击综合征是指由踝关节周围骨性或软组织之间的撞击引起踝关节疼痛和(或)关节活动受限的一组临床综合征。

根据撞击组织的性质不同可分为骨性撞击软组织撞击两类。

  • 骨性撞击一般是指距骨和胫骨骨赘之间的撞击。
  • 软组织撞击为关节囊、滑膜、韧带增生、肥厚或瘢痕组织增生等所致,二者可同时发生。

根据发生部位与胫骨的关系,踝关节撞击综合征又可分为以下三类:

  • 前方撞击:包括前内侧撞击、前外侧撞击与单纯前方撞击。
  • 后方撞击:包括后内侧撞击与单纯后侧撞击。
  • 关节外撞击

标志性症状

当脚踝关节进行极度的背伸(向上勾脚)或者跖屈(脚尖向下踩)时出现脚踝前方或者后方疼痛,需要考虑存在踝关节撞击综合征。

踝关节撞击综合征好发于踝关节创伤后,严重情况下,影响踝关节屈伸活动,伴有踝关节周围软组织肿胀,无法剧烈运动。


相关检查


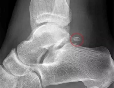
1

---X线片检查


主要判断关节位置以及有无明显骨赘增生。


(X线片检查可见后踝部位出现骨赘增生,在踝关节跖屈位会出现后踝的撞击)

2

---CT检查


CT检查尤其是三维CT检查,可以很好地弥补X线片检查的角度限制的问题,可以全面评估踝关节周围骨的改变。

3

---MRI检查

MRI检查:可以清楚显示踝关节周围软组织、韧带、软骨、骨结构的改变,对踝关节损伤严重程度和滑膜病变做出良好判断,为踝关节撞击征的诊断提供重要参考依据。

(MRI检查可见关节前方距骨水肿,后方出现软组织撞击、局部积液肿胀)


踝关节撞击综合征的治疗


由于踝关节产生的撞击会导致患者踝关节生物力学和组织解剖结构改变,若不能及时有效地矫正,随着时间推移,会导致踝关节损伤进一步加重。


1

---保守治疗


症状较轻、初始治疗首选保守治疗。保守治疗包括制动休息、使用非甾体类消炎止痛药、皮质类固醇激素局部封闭治疗、理疗及康复锻炼等,但保守治疗无法解除引起撞击的原因,治疗效果较为有限。对于经正规保守治疗3个月以上仍无缓解的患者可考虑手术治疗。

2

---手术治疗


临床医师起初选择开放手术治疗,但因其创伤大、恢复慢、并发症多等特点,且随着关节镜技术的进步和发展,目前踝关节镜下手术成为了外科手术治疗的首选。


友情链接: