首页/骨科小技巧/石人综合症——进行性骨化性肌炎!/
石人综合症——进行性骨化性肌炎!
2023-07-07 15:51:175633浏览
石人综合症——进行性骨化性肌炎!

病因

目前公认该病为结缔组织某些成分遗传方面的缺陷所引起的继发性钙化和骨化,属常染色体显性遗传病。该病的遗传学表现出一定的复杂性和多相性。进来研究比较公认的是其发病与BMP-4关系密切,BMP-4的异常表达被认为是MOP发病的重要因素,BMP-4是导致活体进行性异位骨化这一连锁反应的独立触发因子。


患者肌肉本身无异常,主要累及肌肉的结缔组织。早期有明显间质内水肿和结缔组织内增殖,肌纤维发生继发性萎缩和变性,后期有中胚层组织钙化和骨化。


1. 疾病简介


进行性骨化性肌炎(MOP)又叫进行性骨化性纤维发育不良(FOP),是一种罕见的遗传性、进行性结缔组织疾患,以先天性拇指畸形和进行性横纹肌骨化为特征。国外统计其发病率约为1/200万,无性别、种族等差异,而据国内报道男性略多于女性。进行性骨化性肌炎 (FOP) 是一种罕见的常染色体显性遗传疾病,会使肌肉与结缔组织逐渐钙化。此症患者的肌肉、筋膜、肌腱、韧带或其他结缔组织会慢慢地骨化、变硬,这些异位增生的骨质将使患者的活动能力受到限制。患者骨质异位增生的过程通常始于童年早期,从肩颈部开始,慢慢影响至全身及四肢,因关节受影响,患者将逐渐丧失活动能力。

患者可能因为无法顺利地张嘴而影响说话与进食,长期下来将导致营养失调;增生于胸廓的骨质则可能限制肺部扩张而影响呼吸功能。

无论是跌倒、受伤或侵入性的医疗行为所导致的任何外伤,都可能引发患者的肌肉肿胀发炎,而促使受伤部位发生骨化;病毒感染 (如流行性感冒) 也可能导致病程加剧。 

进行性骨化性肌炎患者一般在出生时表现正常,仅可于足部发现大拇趾特别粗短且外翻,但此异常特徵可用来和其他骨骼或肌肉疾病做区别。患者也可能有较短的大拇指及其他骨骼方面异常。

2. 疾病发生率

进行性骨化性肌炎是极为罕见的疾病,全球盛行率约为两百万分之一,没有地域、人种或性别上的差异,目前曾被报导过的个案仅数百例。

3. 症状

其临床表现有两个特点:先天性拇指畸形、进行性软组织异位骨化。其中前者为该病最早的特征表现,几乎所有的患者都会发生。

异位骨化多发生于肌腱、韧带、筋膜和骨骼肌等处,其蔓延特点为从头向尾、从背侧向腹侧、从中线向四肢发展,骨化可由外伤、感染和手术等诱发加速。

早期表现为局部包块红肿热痛,继而包块逐渐骨化,局部组织挛缩,关节僵硬,最终肢体运动功能丧失。

一般30岁左右髋关节融合致行走功能丧失,下颌功能障碍致进食不能而全身衰竭。患者大多死于衰竭或感染。

4. 诊断

基因诊断

进行性骨化性肌炎是一种极罕见的常染色体显性遗传病,疾病的发展为进行性,不可逆转,可侵犯皮肤,筋膜,骨骼肌,肌腱,韧带,关节囊等,导致关节活动受限及关节畸形。FOP男女性别比接近于1∶1 , 出生时发病率约为1/200万。其致病候选基因已成功定位于2q23-24的ACVR1基因,该基因全长约138.6kb,含有11个外显子(外显子1和2仅含5’UTR,蛋白起始位点在外显子3)。

至今全世界仅发现600-700例,对其中约40例进行了基因诊断,均发现为ACVR1基因的4号外显子存在G617A(R206H)点突变,未发现遗传异质性。

一般诊断:

显著病例诊断不难。早期须注意肌肿胀、病症逐渐进行,拇指与脚趾细小和肌内结节。骨性肿物开始时只有豌豆大,无痛感,后渐增大,融合成不规则的团块。

实验室检查:一般常规实验室检查无特异发现。

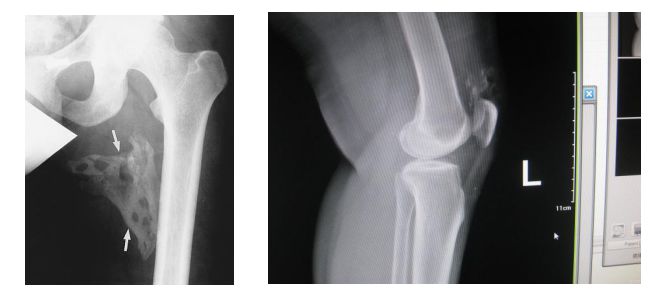
其他辅助检查:X 线照片显示肿物的软组织当中有分散钙化影。过一段时间,急性期的症状和体征消失后,肿物变小,钙化影也缩小,但密度增高。X 线片上可见柱状或不规则形态的团块状不同密度的骨化阴影,可与骨骼相连,也可完全游离。骨骼呈现失用性萎缩。

进行性骨化性肌炎的临床特徵为:(1) 出生时即可发现大拇趾畸形;(2) 可能自然发病或因身体的创伤而诱使患者发病,例如儿童疫苗接种、跌倒、病毒性感染等;(3) 许多个案可能被误诊为恶性肿瘤 (癌症);(4) 手术会加重病情。常见之疾病症状及其发生率列于下表。

由于进行性骨化性肌炎极为罕见,只有少数医师曾实际接触过此症病例,其症状又复杂难解,因此被误诊的机率可能高达八成,也很难在早期诊断。此症经常被误诊为恶性肿瘤、青少年侵袭性纤维瘤 (aggressive juvenile fibromatosis) 及骨纤维发育不良 (fibrous dysplasia),但事实上进行性骨化性肌炎仍和这些疾病有著关键的不同点。

举例来说,进行性骨化性肌炎的病灶会在软骨内骨化的过程逐渐成熟而形成软骨及骨头,因此如果在病灶组织切片观察到软骨或成骨细胞,应排除青少年侵袭性纤维瘤 (此症患者也不会有型态异常的大拇趾);骨纤维发育不良则是骨头基质被纤维化组织取代,会导致骨头慢慢肿大,好发于颅颜部位,但此情况在进行性骨化性肌炎则极为罕见。

进行性骨化性肌炎的诊断,有赖对此症有一定程度了解的专科医师,根据外观及X光诊断,观察患者是否有大拇趾型态异常,及针对此症病程进展的特征来判断,期能于软组织发生肿胀、异位性骨化发生之前早期诊断,以预防因不必要的肌肉伤害而诱发骨化,包括避免外伤及特定的医疗行为 (肌肉切片、手术、肌肉注射、肌电图检查、拔牙等)。

5.  治疗照护

进行性骨化性肌炎目前尚无有效的治疗方法,应避免受伤受寒,或可防止恶化。可试用肾上腺皮质激素,但疗效未定。病变比较局限者可考虑切除,但有时手术的创伤可加剧病变,导致更多的骨化形成。

病变活动期的治疗原则是受累部位完全制动休息,不必进行任何物理治疗。急性期过后再逐渐恢复活动。肘关节附近的骨化性肌炎多为积极活动所诱发。预防的办法是伤后除轻柔自主练习外,不做任何理疗。肌炎的病变成熟后,如功能不受限制则不必处理。若残留妨碍活动的小病变,超过急性期1 年,X 线照片上肯定为成熟骨组织者,方可手术切除。有的医生主张在急性期做放射治疗,不少医生持相反意见。

(FOP患者的X光片,异位骨化影响整个骨骼系统的形态,除局部的变形之外,脊柱也无法伸直)

复健之策略与介入多以代偿性的辅助为主,仰赖相关辅具来维持或增进患者的生活功能 (包括更衣、如厕、盥洗沐浴、饮食、行动、睡眠等方面),并维持患者在职业、教育、听力与沟通、交通等方面的社交能力,增进其生活品质。

此外,可藉水中运动治疗 (aquatic/ pool therapy) 来训练患者的关节活动 (range-of-motion) 及心肺功能,并在相对安全与低衝击性的环境下进行阻力运动 (resistive exercise);将双槓 (parallel bars) 浸入水中,可提供患者进行行走训练 (ambulation training);温水则可舒缓疼痛及放鬆。

上述复健之介入除了居家环境的改善及辅助设施的建置,均应综合考虑患者的生理、心理、认知、能力、肺功能、经济状况以及适当的科技辅具,并由复健科医师、物理治疗师、职能治疗师、语言治疗师、牙科医师、矫形师、心理师、辅具製造商与代理商、照护者共同协助。

友情链接: