首页/口腔小技巧/根管充填中的欠填和超填的处理方法!/
根管充填中的欠填和超填的处理方法!
2023-07-10 14:37:593108浏览
根管充填中的欠填和超填的处理方法!

根管治疗在牙髓病和根尖周病中发挥了极为重要的作用,具有疗效稳定的特点,因而在临床中得到了广泛应用,治疗成功率高达91~97%。

根管充填是根管治疗最后也是最重要的步骤,对根管系统进行严密的三维封闭是根管治疗成功的关键,根管充填质量对根管治疗术远期疗效具有显著的影响,规范操作是提高根管治疗水平的关键。根管充填中的并发症有很多种,通常是由于不恰当的根管预备造成的。常见的有欠填、超填和牙根纵裂。遇到以上状况时,应该怎么办呢?

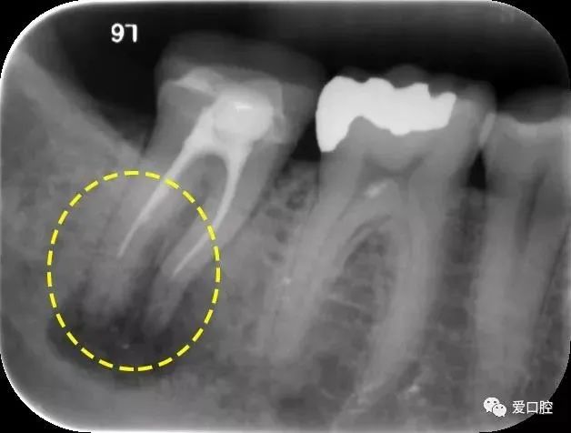
根据根管治疗填充程度的不同,可将其分为超填、欠填与恰填三种类型,超填RCT指充填物明显超出牙根尖,欠填RCT指充填物与牙根尖之间距离在1~3mm范围内,恰填RCT指充填物与牙根尖之间距离在0~1mm之间。

一.欠填

原因:

欠填的原因有根管内自身结构限制,根管预备中产生台阶,根管口未充分敞开,主牙胶尖不匹配,以及充填加压不充分。绕过(如果可能的话)天然存在的或者人为造成的障碍,形成平滑漏斗状的根管形态是防止欠填的关键。大锥度机用镍钛旋转器械的出现,极大的促进了形成漏斗状大锥度根管的可预见性。”

治疗和预后:

取出欠填的牙胶并进行再治疗。

用侧压器和垂直加压器对牙胶施加根尖方向的压力过大可导致根折。如果采用侧方加压充填根管,应标记主牙胶尖以明确工作长度。如果侧压时可能需要替换主牙胶尖,应在去除多余的牙胶前拍摄X线片。按照与充填时相反的顺序依次去除牙胶尖。取出侧压充填的根管内牙胶比取出其他技术充填的牙胶容易。然而,热牙胶充填技术对于不规则的根管充填效果更好。

二. 超填

充填材料超出根尖外会造成组织损伤和炎症反应。术后不适(咀嚼敏感)通常会持续一段时间。

原因:

超填通常是由于器械超预备破坏了根尖狭窄区或者预备的根管锥度不佳。由于牙齿自然的根尖吸收或根管清理成形过程中破坏了根尖狭窄而造成根尖孔敞开,加压充填时没有根充挡,压力没有良好控制导致充填材料的超充(如图)。其他原因包括炎症造成的牙根吸收和牙根未发育完善。

由于工作长度测量不准导致根管封闭剂超充(A)或者封闭剂和牙胶超充(B)

预防:

为了防止超填,应遵循防止根尖孔穿孔的原则。以根尖为基点形成有锥度的根管预备通常可以预防超填主尖锉与牙胶尖应在工作长度处有明确止点。可以通过在牙胶尖端使用溶剂自制个性化主牙胶尖。如果怀疑超充,应在去除多余的牙胶前拍摄X线片。同欠填相同,已充填的牙胶在封闭剂固化前可以取出。

治疗和预后:

当根管治疗失败的症状或体征出现,需要行根尖外科手术去除超充的材料并放置根管倒充填材料。远期预后取决于根尖的封闭情况、超充材料的量和生物相容性、宿主的反应和倒充填材料的毒性和封闭性能。

内容来源于高端口腔社群!

友情链接: