首页/口腔小技巧/11、21之间存在4.5mm间隙该如何修复?来看看国外大咖的修复病例!/
11、21之间存在4.5mm间隙该如何修复?来看看国外大咖的修复病例!
2023-07-10 14:47:061253浏览
11、21之间存在4.5mm间隙该如何修复?来看看国外大咖的修复病例!

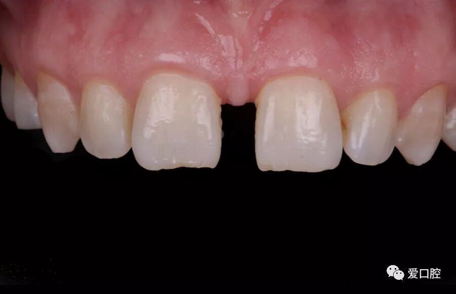
先来几张修复前修复后的效果对比照片,一位35岁女性患者,主要是想解决门牙4.5mm间隙的问题...

▲修复前


▲修复后


▲修复前后


这是一例很具有挑战性的修复治疗,我们在修复前进行一些正畸治疗。


许多治疗选择可用于关闭牙齿间隙,包括口腔正畸或修复治疗。在本文中,我们将介绍一种使用口腔正畸和微创直接修复治疗的组合方法来修复患者门牙4.5mm间隙,一起来看看吧!


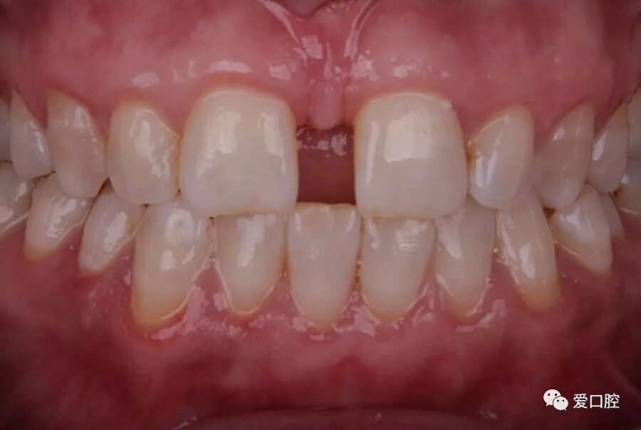
▲一位35岁女性患者来就诊,主诉门牙牙缝太大,因为她在微笑和说话的时候常常感到很尴尬


▲口内正面照,11、21之间存在约4.5mm的间隙


▲那么问题来了,如果单纯靠树脂修复11、21,那么修复后的牙齿与牙齿的比例会有所不同


▲治疗计划包括两个主要步骤。首先,进行小的正畸治疗以在上门牙之间分配间隙以产生良好的牙齿与牙齿比例


▲然后,我们使用复合树脂修复直接关闭间隙


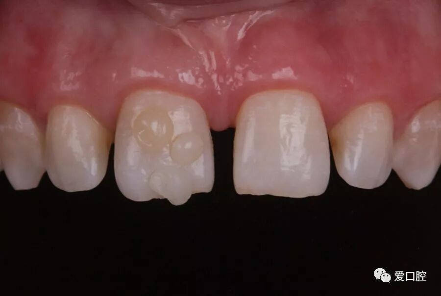
▲我们使用简单弯制的弹簧可以帮助分配中线的间距,并安放在患者口内的腭侧,之所以这样做,是因为这种方式患者比较容易接受,可以从图片中发现一个细节的处理,就是弯制的起始端和末端有一树脂球,目的是为了防止刮伤软树脂,其二是为了固定和防止两端移位,好了,7-10天后复诊


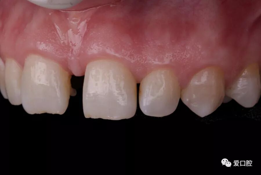
▲两周复诊后,门牙中间的缝隙开始减少


▲两周后,牙齿11和12之间也出现了间隙


▲在21和22之间也发生了同样的事情


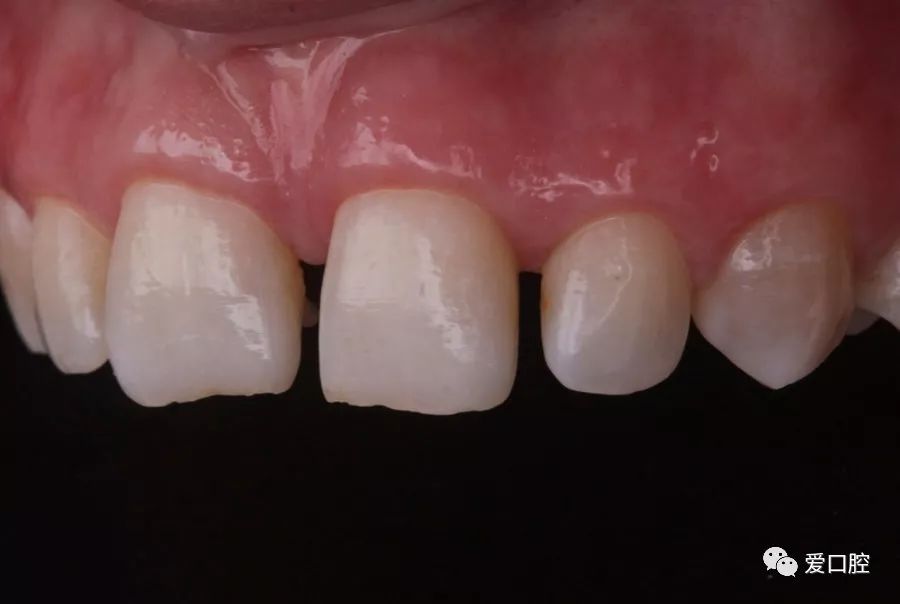
▲两个月后间隙的变化更加的明显了


▲两个月后,在11和12之间实现1.2mm的间隙


▲两个月后,在21至22之间的间隙为1.1mm


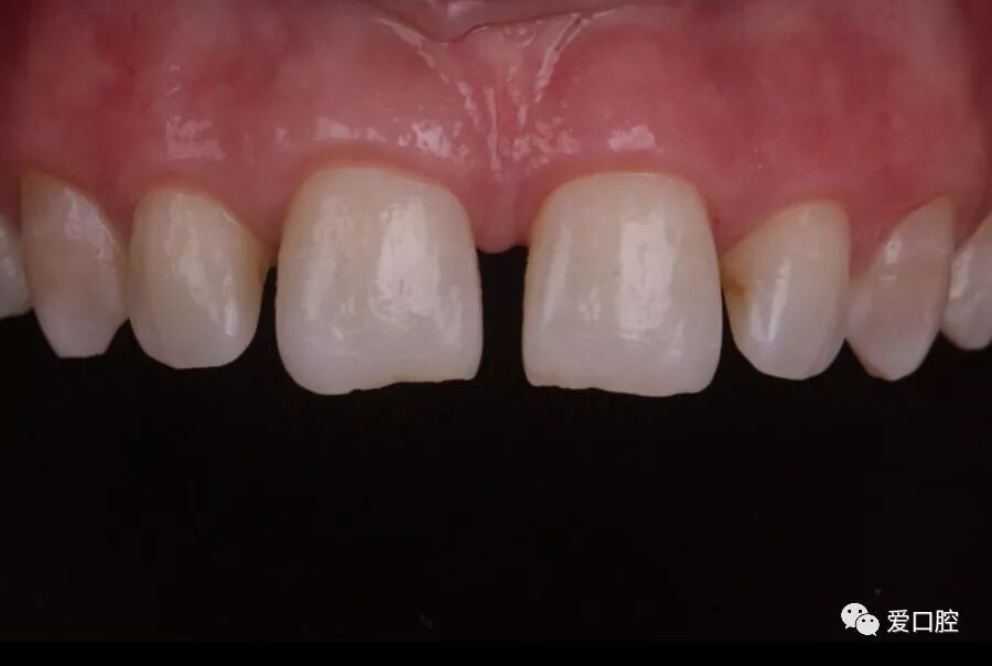
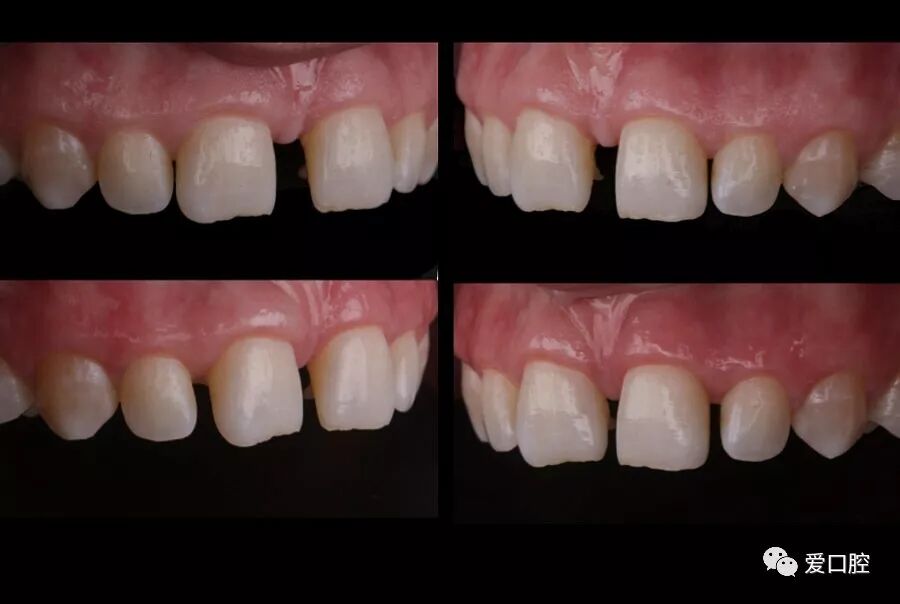
▲正畸治疗前后的正面对比,是不是很神奇


▲正畸治疗前后的侧面对比,是不是很神奇


▲好了,可以开始修复阶段了,DSD模拟牙齿之间宽度和高度的合适比例。可以在不准备牙齿的情况下关闭间隙


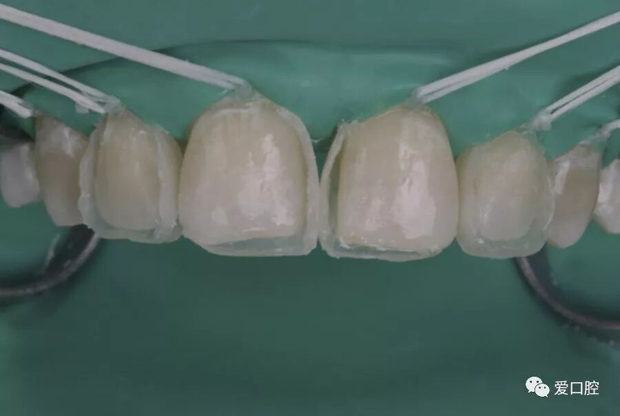
▲去除腭侧正畸弯制的弹簧后,用复合树脂修复直接进行修复阶段。在橡皮樟隔离之前,必须进行颜色匹配和分析; 否则,通过选择比适合的更白的颜色,修复完成后,那就尴尬了,所以,修复前一定比好色,比好色,比好色,重要的事说三遍


▲橡皮樟隔离牙齿,并放置牙线


▲酸蚀和充分冲洗牙齿后。使用三用枪头对多层粘合剂进行吹气,使溶剂蒸发并固化60秒


▲腭壁是在有硅橡胶导板的帮助下制作的,已在蜡上制做


▲开始修复


▲A2牙本质


▲A1牙本质


▲在切端和唇面上牙釉质层


▲打磨抛光


▲去除橡皮樟,预约患者下次复诊,进行二次打磨和抛光


▲进行最终抛光。使用天然山羊毛刷,1000转/分,无水;10000转/分,含水量充足


▲光泽是通过用软毡盘抛光来获得的,在1000转/分时不用水,然后在10000转/分时用大量的水,以及一种1μm的氧化铝膏


▲一周后,完成和抛光后


▲精修和抛光后的表面光泽,侧面照


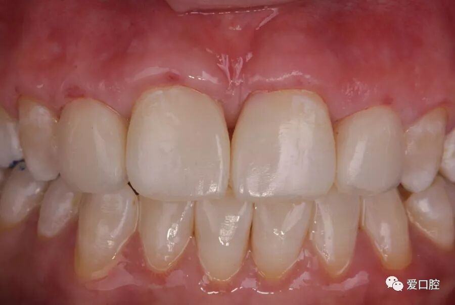
▲两周后。与黑色背景板的对比


▲两周后侧面照


▲术前术后照


▲患者微笑照,患者对最终结果非常满意



内容来源于爱口腔

友情链接: