首页/骨科小技巧/儿童骨骺损伤!/
儿童骨骺损伤!
2023-07-12 11:19:492566浏览
儿童骨骺损伤!


  • Ⅰ型 骨骺分离,占骨骺损伤的15.9%;唯一的x线征象是骨化中心移位,该型复位容易,预后良好;而股骨头骨骺分离由于骨骺动脉多被破坏,预后不佳。
  • Ⅱ型  骨骺分离伴干骺端骨折。该型损伤最多见,占骨骺损伤的48.2%,好发部位在桡骨远端、肱骨近端及胫骨远端。多发生在10一16岁的儿童,骨折线通过肥大并累及干骺端的一部分,骨折片呈三角形,在骨折端成角之凸侧有骨膜撕裂,而凹侧骨膜完整、复位容易,预后良好。
  • Ⅲ型 骨骺骨折。属于关节内骨折,骨折线从关节面开始穿过骨骺,再平行横越部分骺板的肥大层。该型占骨骺损伤的4%。多发生在胫骨远端内侧或外侧和肱骨远端外侧。无移位关节面平整者预后良好,有移位者需切开复位内固定,—般移位超过2mm者既是切开复位内固定的适应证。
  • Ⅳ型 骨骺和干骺端骨折。该型也较多见,仅次于第二型,占30.2%;骨折线呈斜形贯穿骨骺、骺板及干骺端,由于骨折线同过生长板全层,所以容易引起生长发育障碍和关节畸形,多见者为鱼尾状畸形。此型多见于10岁以下小儿的肱骨外髁及年龄较大儿童的胫骨远端,此型必须切开复位及内固定。
  • V型 骺板挤压性损伤,少见,占骨骺损伤的1%。由于严重暴力损伤造成,相当于骺板软骨的压缩骨折,有学者指出此型损伤只发生在一个方向活动的关节,如膝关节和踝关节。由于软骨细胞严重损伤破坏或来自骨骺营养血管广泛损伤,导致骺板早闭和生长停止。逐渐出现骨骼变形和关节畸形 ,但早期X线表现常常为阴性结果,多在晚期发生生长障碍时才能作出诊断。
  • Ⅵ型  骺板边缘切削伤导致的软骨环(Ranvier)缺失;也可发生于股骨远端侧副韧带撕脱伤,由Rang补充的一种类型,多合并皮肤软组织损伤。


病例:男性,14岁。

胫骨近端骨骺似乎见撕裂骨折?

CT扫描证实胫骨平台后缘明确骨折。

胫骨近端骨骺无分离移位,内部呈斑片状压脂高信号影并后缘撕裂性骨折,属于儿童骨骺损伤第3型。

我们再看看该患儿还存在什么问题:

上图:后交叉韧带附着点受撕裂向后方移位,同时后交叉韧带弓背向后,韧带松弛。胫骨平台后移。

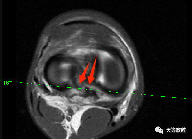
看了又看,觉得半月板应该还有问题:


上图:双后交叉韧带征。提示外侧半月板桶柄状撕裂。


上图:横断位如箭头所指示。


内容来源于天等放射课件!


友情链接: