搜索
学习中心
登录
首页
/
口腔小技巧
/
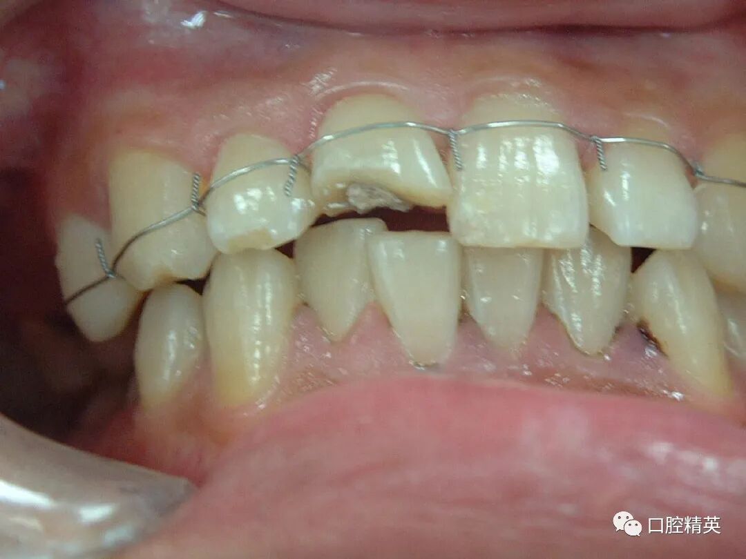
松牙固定术的临床操作技巧!
/
松牙固定术的临床操作技巧!
2023-07-21 14:14:43
915浏览
松牙固定术的临床操作技巧!
内容来源于
口腔精英
!
友情链接: